
精确定位社区获得性肺炎(CAP)的感染源可能存在困难,往往导致失败。虽然肺炎链球菌是最常见的细菌病原体,但其不再是CAP的最常见病因。事实上,尽管进行了大量测试,但在60%的CAP患者中未发现病原体。即使分离出病原体,通常也是鼻病毒、流感病毒或人偏肺病毒。这种向病毒性肺炎转变的原因可能部分归因于儿童肺炎球菌结合疫苗的几种。
分子病毒呼吸道病原体检测和血清降钙素原检测已成为促进安全停用抗生素的工具,特别是在抗生素管理计划的监督下。然而,不必要的和潜在有害的抗微生物疗法仍常见。
以下病例说明了这种常见临床综合征的诊断和治疗困难。
病例1
患者,女,67岁,因呼吸窘迫就诊。其子称近期有几名家庭成员患有上呼吸道感染。 入院前一天,患者开始咳嗽和喘息。其家庭医生为其处方了阿奇霉素和泼尼松,但患者呼吸窘迫恶化,被送往医院。值得注意的是,患者在腹部手术后3周就住院了。
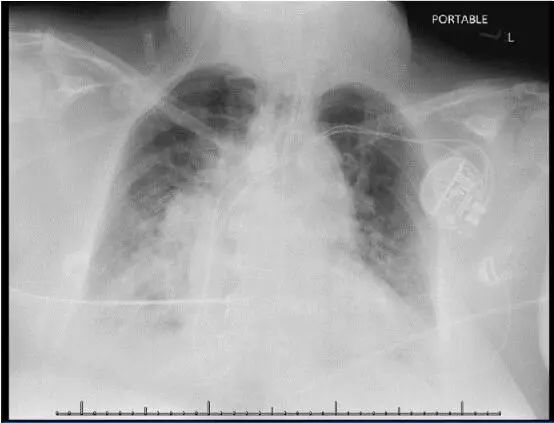
患者T 39.4℃,Bp 150/78 mm Hg。白细胞(WBC)计数14,200/μL,胸片示肺血管充血和右下叶浸润(图1)。

图1
痰革兰染色显示许多白细胞和少数成对的革兰氏阳性球菌。呼吸道合胞病毒(RSV)阳性,降钙素原为0.47 ng / mL。对患者经验开始使用头孢曲松、阿奇霉素、甲硝唑和甲基强的松龙,插管并转移至ICU。
48小时后,患者仍使用呼吸机,但临床上有所改善,尝试撤机。重复检测降钙素原0.41 ng/mL。 痰培养物培养正常的呼吸道菌群,血培养阴性。
停用抗生素,临床提示为RSV肺炎。
讨论
患者的整理临床表现,包括低PCT水平和痰培养结果,提示RSV肺炎,因此停用抗生素。如果可能是细菌性肺炎,5天的疗效与更长疗程相似。患者症状好转,并于1周后出院。
病例2
患者,女,64岁,因发热、寒战、全身酸痛和咳嗽4天就诊。流感病毒检测阴性,胸片提示“肺炎”。患者于入院前2天开始服用阿奇霉素,但症状无改善。患者无近期旅行或疾病接触史,报告对青霉素过敏。
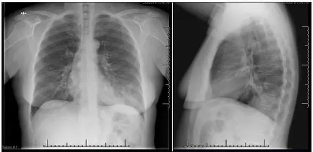
患者T 38.9℃,呼吸室内空气时SaO2为94%,WBC计数 4700 /µL。PCT 0.19 ng/mL。甲型和乙型流感的聚合酶链反应(PCR)检测结果为阴性。胸片示左肺下叶浸润(图2)。

图2
患者开始接受氨曲南和强力霉素治疗。第二天呼吸道病原体检测显示腺病毒,重复PCT检测为0.19 ng / mL。
诊断为腺病毒肺炎,停用抗生素。
讨论
患者停用抗生素,症状稳定,并在第二天出院。病毒是2019年美国CAP的重要病因,无需抗生素治疗。尽管经验性治疗在出现症状时使用是合理的,但如果可能的话,呼吸道病原体PCR检测和降钙素原检测可以在细菌感染可能性较低时帮助早期停止使用抗生素。为了应对细菌感染,降钙素原可在数小时内检测,而无需5-7天。最大限度地减少不必要的治疗可以降低艰难梭菌感染的风险,减少耐药菌的出现。无论哪种胸部影像学,都无法可靠地鉴别病毒和细菌病原体。
青霉素过敏是美国最常报道的药物过敏。然而,在经过过敏专家对过敏症患者(包括皮肤测试)进行完整评估后,90%被标记为“青霉素过敏”的患者能够耐受青霉素。有青霉素过敏史的高达90%的人实际上并没有真正的过敏症。
参考:We Often Get CAP Wrong: Case Challenges - Medscape - Jun 13, 2019.