我们老百姓有一句俗话叫 做“胳膊肘不要向外拐”,言下之意就是不要做帮理不帮亲的事,换个说法就是胳膊肘尽量还是要往里拐,但在骨科疾病中却有个讨厌的“胳膊肘往里拐”的毛病,我们称之为“肘内翻”。
·什么叫肘内翻?
来看看下面这组图,正常人的前臂相对于上臂有个向外偏的角度,医学称之为“提携角”,一般为0~15度,女孩子比男孩子稍微明显一点。如果这个角度过大我们称为“肘外翻”,相反如果这个角度丢失甚至变成负角度,就是临床上的“肘内翻”。

肘内翻怎么来的呢?
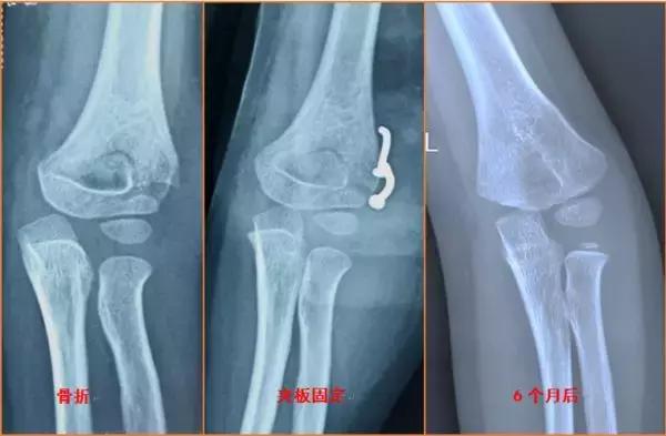
就目前流行病学研究,先天性肘内翻畸形非常罕见,80%的肘内翻都是儿童时期肱骨髁上骨折治疗不当导致,肱骨髁上骨折的远端向内侧倾斜,内侧骨质压缩嵌插,骨折外侧端张开及骨折扭转未得到有效纠正,骨折畸形愈合后导致肘内翻畸形。其他还有肱骨内髁骨折处理不当等因素导致。

讲到这里,我们大致对肘内翻有了一定的了解,也知道这种畸形多在儿童时期就发生,那它会带来哪些危害呢?什么时候治疗最为合适呢?绝大部分骨科医生都能诊断出这个疾病,但相当一部分医生知道这个疾病却告诉家长,孩子骨头还在长呢,等孩子骨头长定形了再治吧,有些家长听到这句话让我们的孩子痴痴等待到18岁那年夏天——高考结束,孩子成年,假期充足!

真要等到那个时候才治疗?
我们先来谈谈肘内翻的危害吧。首当其中是外观上的明显不对称,伸出胳膊自己都觉得不漂亮,大一点的孩子夏天都不好意思穿短袖,对孩子往往造成心理上的影响。其次感觉胳膊没劲,有正常“提携角”的上肢,胳膊肘活动时类似有起重机的吊臂。而肘内翻的手臂,这个“省力装置”消失,肘关节活动时就出现肌力减弱。另外肘内翻的孩子肱骨外髁发育相对较大,肘部再次摔伤时更容易发生肱骨外髁骨折。而且任由发展的肘内翻畸形可能会出现内髁发育迟缓,肘关节不稳定,内外侧发育不匹配出现角度增大,这些进展在成年后才治疗就更加复杂。

儿童骨科医师推荐肘内畸形矫正最好是在骨折发生畸形愈合后半年~1年就可以治疗,过早干预可能导致骨愈合生长紊乱,骨化性肌炎等可能。有些家长或者医生会问“这个角度会不会逐渐变大的可能”,目前的研究认为绝大部分肘内翻畸形的角度一般不会随着孩子的生长发育而加重,所以畸形一旦稳定就进行矫正,手术操作简单,也不会带来以上诸多的危害。

肘内翻畸形如何纠正呢?这个时候我们需要拍摄健侧上肢的提携角,患侧肘内翻角度加上对侧上肢提携角就是我们需要矫正的角度,通过去掉一个外侧的三角形骨块就可以达到我们需要的力线和外观啦。当然更大角度的肘内翻需要不同的截骨方式或者配合尺神经松解术。


通过有效的矫正治疗和合理的康复锻炼,这样我们就可以早早滴伸出我们美丽的双手啦!
来源:同济医学院附属协和医院 迮仁浩
本文为骨科大夫原创文章,未经授权不得擅自转载复制使用,违者必究!