一、概述
妇科急腹症:因妇科疾病引起的剧烈急性腹痛。可以是原有疼痛突然加剧,或新发疼痛。
分类
青春期、或无*生活性**史女性:多为卵巢肿瘤蒂扭转、黄体破裂、痛经
育龄期女性:
1、与妊娠有关(异位妊娠、流产、胎盘早剥、胎盘植入),
2、与妊娠无关(卵巢肿瘤蒂扭转、黄体或子宫内膜异位囊肿破裂、炎性疾病、子宫腺肌症等)
老年女性:考虑卵巢恶性肿瘤破裂、子宫肌瘤嵌顿的可能,卵巢肿瘤蒂扭转也常见
二、检查方法
1、US:考虑妇科原因时,首选。
经阴道高频超声,能清晰显示解剖结构、病变特征;
简便、无放射损伤;
但受肥胖、肠气干扰较大。
2、CT:时间分辨力及空间分辨力较高;
平扫+增强+重建,可多角度评估病变;
放射损伤。
3、MRI:适用于US、CT诊断不明确;碘对比剂过敏、孕妇。
检查时间较长、费用高。
妇科急腹症的影像检查与诊断,需密切结合临床病史(月经史)、实验室检查(HCG等)
三:妇科急腹症
1、宫外孕
发生在宫腔内膜以外的妊娠,称异位妊娠/宫外孕
发生于育龄期女性
最常见的部位:输卵管(约95%)
常见原因:输卵管炎及粘连,如慢性炎症、结核、子宫内膜异位等
宫外孕破裂或流产,是最常见的、也最容易危及患者生命的妇科急腹症。患者可能在就诊时表现为休克,延误病情很可能失血过多而死亡

临床表现
腹痛:主要症状。异位妊娠破裂时,突发一侧下腹撕裂样痛,可伴恶心、呕吐。出血量较多时可引起上腹、甚至全腹痛。
伴随症状:
a、肛门坠胀感:血液积聚于子宫直肠凹陷时;
b、晕厥、休克:急性腹痛和失血所致,与阴道出血不成比例;
c、阴道出血:可少量、也可突然大量;
d、停经:一般6-8周以上,也有20%-30%无停经史。
实验室检查:HCG增高
CT表现
(1)盆腔包块(直接征象):宫外包块,位置多毗邻子宫侧后方。
包块特征与孕卵发育时间、包块成分、及是否出血相关,可囊性、囊实性(胚囊型)、和不均匀软组织密度。
a、胚泡形成初期,多薄壁规整的囊性,多≤2cm;
b、囊实性(胚囊型)多为停经50天后,多2~4cm,囊泡一边可有新月形增厚或壁结节,代表胚盘组织;
c、不均匀软组织块出现更晚,常为停经3个月左右,囊性部分少或无。
d、破裂出血时,包块常较大。平扫包块内高密度出血是特征性表现,增强后囊壁或实性成分多有不均匀明显强化,而中间的高密度血块无强化。
(2)盆腔积液或积血(间接征象):液体多聚集在子宫直肠窝内。新鲜出血多呈高密度,CT值约70~80HU。随出血时间延长,盆腔积液可呈低、高或混杂密度。
由于孕激素作用的原因,子宫稍增大或正常,但较正常宫内妊娠时小。
病例
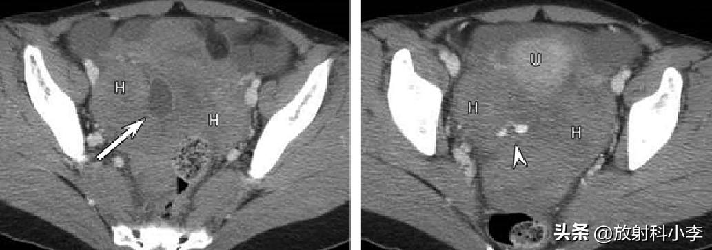
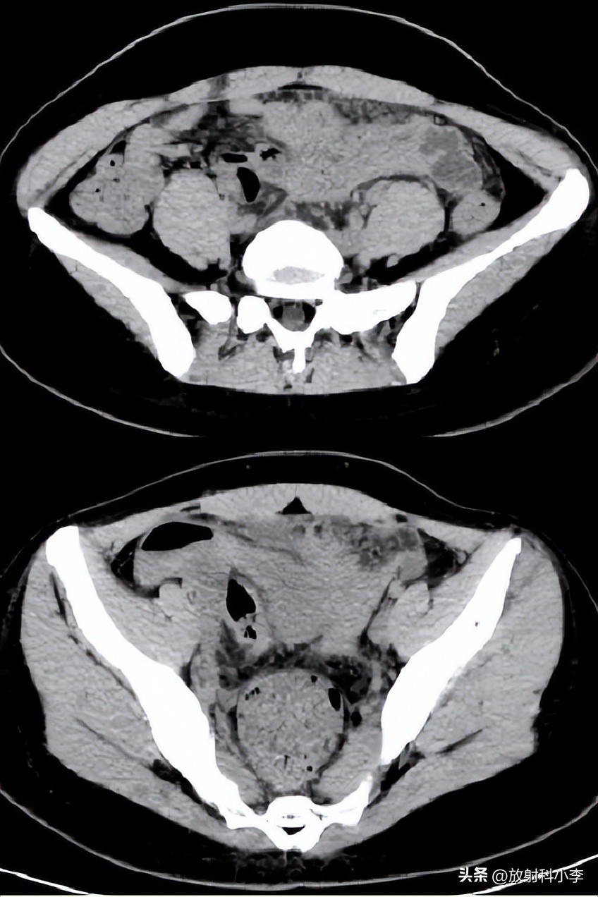
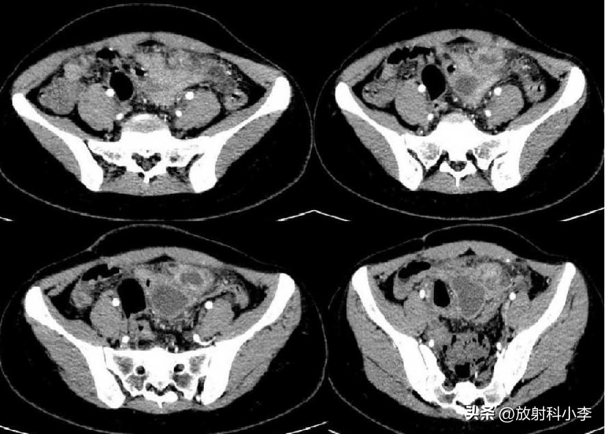
case 1. F,33Y,突发下腹痛1天

增强CT:左侧附件区囊性肿块(箭)与周围盆腔积血。H=盆腔积血,U=子宫。
术后诊断:左侧输卵管异位妊娠破裂
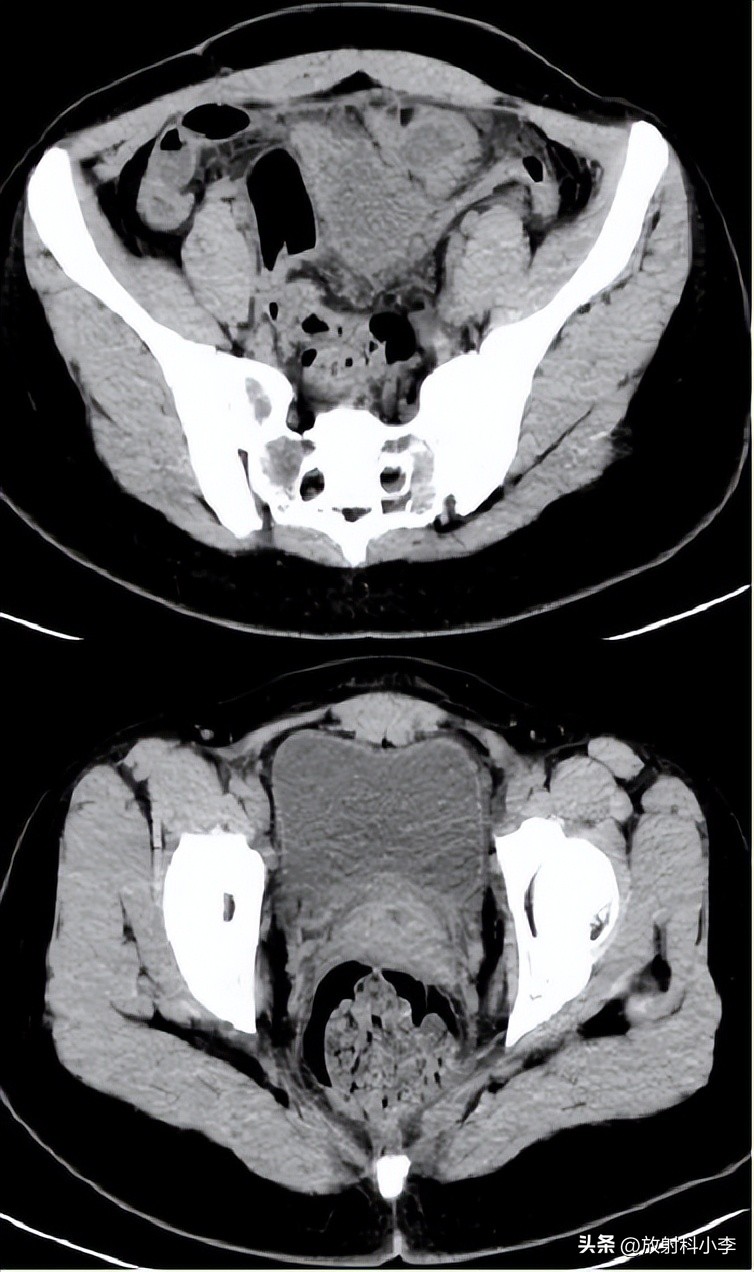
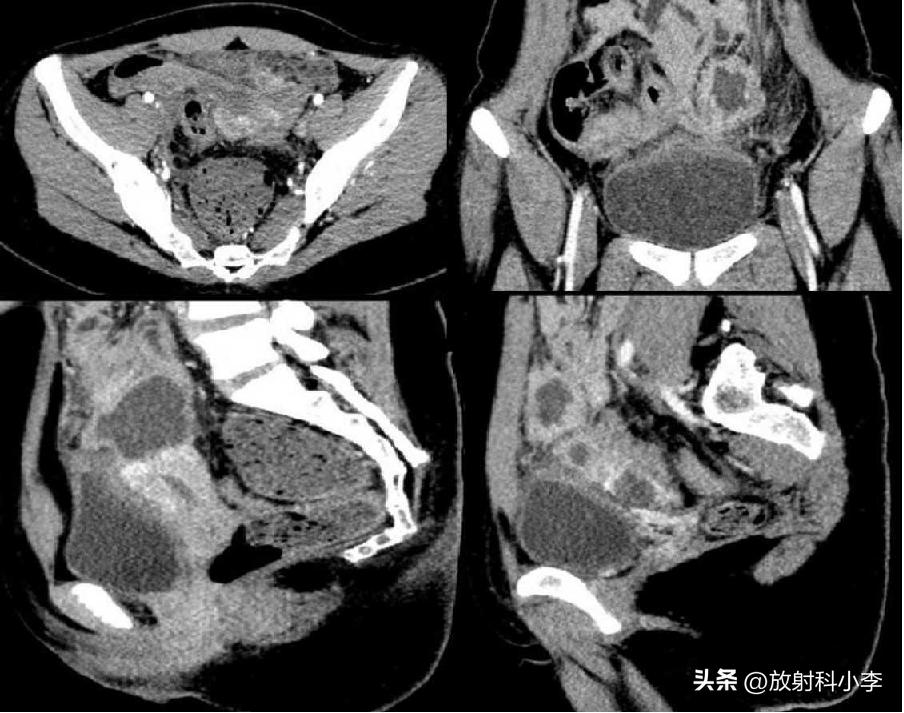
case 2. F,27Y,下腹痛2天,加剧5小时
妇科检查:宫颈举痛、摇摆痛;后穹窿穿刺4ml不凝血;

术前CT示:腹腔内出血,左侧附件区囊性灶,伴周围盆腔环状稍高密度影,???考虑异位妊娠可能?
术中:子宫前位,正常大小,左侧输卵管壶腹部破裂出血,清理出血块2000ml,积血块中见绒毛组织。
术后诊断:左侧卵巢妊娠破裂。
2、卵巢囊肿破裂
包括黄体囊肿破裂、卵泡囊肿破裂、巧克力囊肿破裂、卵巢粘液性囊腺瘤破裂、囊性畸胎瘤破裂等。其中黄体囊肿破裂占80%,多发生在月经中期活前期(黄体期)。
卵巢排卵后,成熟卵泡在黄体生成素的作用下形成黄体,正常成熟黄体直径<2cm,如果黄体腔内积液,直径可>3cm,称黄体囊肿。
黄体破裂是妇科常见急腹症之一,好发于14~30岁女性,号称“青春杀手”,最易发生在月经周期的第10~18天。
(1)黄体破裂
病因
(1)自发:一般正常情况下,黄体内有少量出血,但如果出血太多,就可能增加黄体内的压力,从而发生自发性破裂
(2)外力:*生活性**、运动、创伤、妊娠。因为左侧卵巢受到乙状结肠的保护,所以多发于右侧卵巢
临床症状、表现差异大:轻者出血量少,可自愈;严重者可大出血,需紧急手术治疗。患者有突发一侧腹痛,无停经史、无阴道不规则流血、β-HCG(-)
CT表现
常表现为单侧附件区轮廓模糊,见类圆形囊性或囊实性包块,囊内无血管及胚胎结构。
增强后囊壁强化,囊液不强化。囊肿破裂后,可见高密度游离腹腔积血(>30HU);有时在邻近囊肿区域可观察到造影剂外渗(活动性出血、哨兵征)。
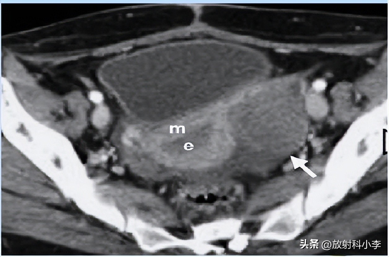
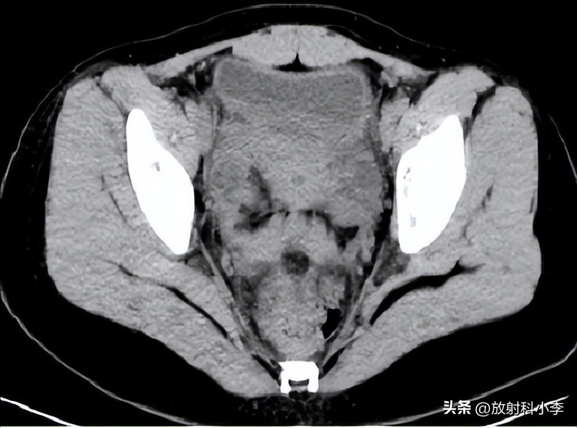
病例

F,30Y,右侧卵巢囊肿破裂,增强CT示右侧附件区卵圆形囊性低密度影,囊壁强化,囊壁不完整,周围见稍高密度积血;另可见对比剂外渗(箭头)。
(2)巧克力囊肿破裂
巧克力囊肿是在卵巢内的异位子宫内膜因周期性出血形成的单个或多个囊肿,囊内含暗褐色黏糊状陈旧血,状如巧克力
临床症状可能与月经周期有关
经期前或经期发生
血清CA125升高

3、卵巢囊肿蒂扭转
卵巢肿瘤(囊肿)蒂扭转为常见妇科急腹症,多有既往卵巢肿瘤病史,好发于瘤蒂长、中等大、活动度良好、重心偏于一侧的肿瘤(如畸胎瘤),
多发生于体位骤然变动、妊娠早期、产后
正常卵巢也可发生,见于青春期前(10Y左右)
病理
扭转蒂:卵巢固有韧带、骨盆漏斗韧带、输卵管及其系膜。韧带中包绕卵巢的动静脉分支及子宫血管,为卵巢和子宫提供营养支持。
扭转 → (1)首先压迫蒂中静脉,回流受阻:肿瘤充血、肿胀、渗出;(2)扭转加重,压迫动脉血流,导致瘤体缺血坏死、破裂(少见)。

根据扭转程度分两型
完全扭转≥360° 不完全扭转:<360°
完全扭转:时间越长病情越重,缺血、水肿、坏死。合并感染或破裂,白细胞可增高,可有发热及腹膜刺激征。右侧卵巢囊肿蒂扭转合并发热、腹痛时,临床上易误诊为急性阑尾炎。
不完全扭转:血循环未完全受阻,无坏死,症状较轻,疼痛呈间歇性,可自行复位缓解,临床上不易与盆腔炎、憩室炎及尿路等疾病鉴别。
扭转角度越大,肿物张力越高;时间越长,越严重。
临床表现
典型三联征:腹痛、附件肿块、腹膜炎
(1)突发一侧下腹痛,持续性、阵发性加剧,随活动加剧,部分患者的疼痛可随体位的改变而加重或缓解;疼痛程度因机械障碍程度而异,可伴恶心、呕吐、严重者甚至休克;
(2)部分患者表现为持续性下腹胀痛、隐痛;
(3)妇科检查可扪及附件区肿物张力大、压痛、以瘤蒂处最明显。
血压多正常;
腹软,腹膜刺激征多位于一侧下腹,压痛重,反跳痛及肌紧张轻或无。
CT表现
卵巢囊肿一般壁薄,常<3mm。发生扭转后,由于血运障碍,囊壁充血、水肿,均匀或不均匀增厚。有学者认为均匀性囊壁增厚>3mm、或局限性增厚>10mm,是囊肿扭转的常见征象。
合并囊肿破裂时,囊壁边缘不规则凹陷或皱缩,周缘或子宫直肠窝积液,CT值>40HU(血性);合并囊内出血时,可见低-高密度的液-液平。
CT发现囊肿或肿瘤并不难,但需要判断有无蒂扭转。扭转蒂并不总表现为螺旋转,有时看起来类似软组织肿块,CT上表现为附件增粗、密度不均;增强后可见血管狭窄、闭塞,子宫卵巢血管迂曲。
附件韧带因扭转而缩短,引起子宫向患侧移位,也可提示蒂扭转。
病例
case 1. F,42Y,突发右下腹痛半天

CT:右侧附件区见一混杂密度肿块,可见脂肪密度,肿块壁增厚,与子宫之间的连接结构增粗、稍扭曲,密度不均匀。考虑右卵巢畸胎瘤蒂扭转。
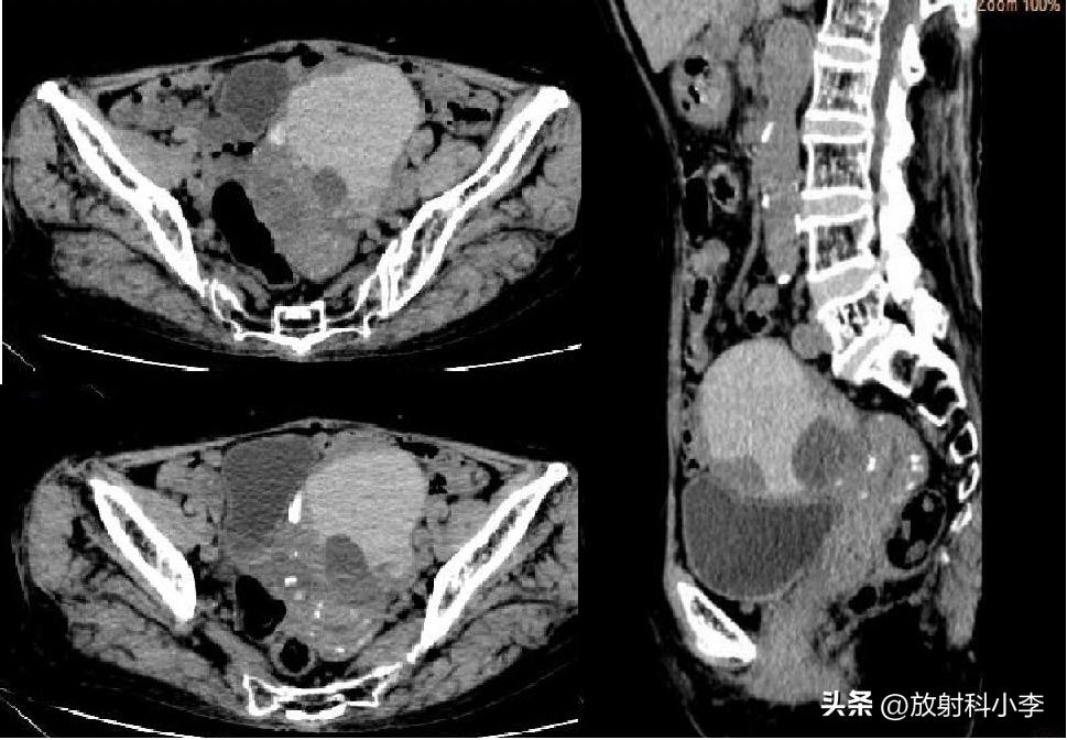
case 2. F,84Y



3年前的CT平扫示:左侧附件区肿块,主要呈实性,平扫密度较高,伴出血;3年后CT示:左侧附件区肿块较3年前明显增大,呈囊实性,实性成分为主,增强强化轻或无,瘤周见条带影/团块影与子宫相连。
4、急性输卵管及卵巢炎
女性盆腔生殖器官及其周围结缔组织、盆腔腹膜发生炎症时,称为腹膜炎,包括子宫炎、输卵管卵巢炎、盆腔结缔组织炎及盆腔腹膜炎,可一处或多出同时发病。
病因:多为上行性感染;多有早产、引产、流产、手术、不洁*交性**史;阑尾炎、腹膜炎、慢性盆腔炎急性发作。
急性盆腔炎的临床症状
两侧下腹持续性钝痛,逐渐加重。
伴随症状
1.发热畏寒,>38℃
2.妇科:宫颈举痛、摇摆痛,宫口脓性分泌物,子宫略大、压痛,双附件增厚、压痛。
3.局部压迫刺激症状:前方——膀胱刺激症状(尿频尿急尿痛);后方:直肠刺激症状(里急后重)
(1)急性输卵管及卵巢炎
输卵管炎为盆腔生殖器官炎症中最多见的一种。卵巢邻近输卵管,输卵管炎继续扩展可引起卵巢炎。二者合并发生称输卵管卵巢炎或附件炎。有时虽有严重的输卵管炎病变,而邻近的卵巢却能保持正常。
输卵管卵巢炎多发于育龄期女性,25~35岁最多见。
卵巢炎很少单独发生,但流行性腮腺炎病毒对卵巢有特殊的亲和力,可经血行感染而单独发生卵巢炎。
输卵管卵巢脓肿:多继发于急性盆腔感染,有下腹痛病史,可有白带增多或月经不正常,盆腔双合检查可发现双侧附件压痛和宫颈触痛。
输卵管卵巢脓肿的CT表现
输卵管积液或积脓,表现为子宫角附近不同低密度的囊性病变。病变内容物为浆液性时呈水样密度(5-20HU),为脓液时密度稍高(10-40HU)。
卵巢脓肿液表现为附件区液体聚集,可有厚而不规则的壁。
增强扫描:脓肿壁和分隔强化。
腹水、盆腔脂肪结构不清,是邻近结构炎症的特异征象。
病例
case 1. F,18Y,发热7天,下腹痛5天






平扫CT示:左侧盆腔见一厚壁囊性灶,囊壁毛糙,与周围组织分解不清,邻近腹膜增厚。增强CT:呈环形强化。
术中:盆腹腔广泛粘连,组织结构不清,盆腔见大小约9×8×7cm包裹性包块(包块解剖后可见大量脓液流出,脓肿壁厚约1cm),包块下方与膀胱、子宫、附件广泛粘连;肠管间隙、子宫直肠凹等处大量脓液;双侧输卵管稍水肿、增粗。
术后:盆腔脓肿破裂;盆腹腔粘连
case 2. F,38Y,发热,下腹痛

CT:双侧宫旁间囊性包块。
双侧输卵管脓肿,输卵管扩张积液
case 3.

A,B.平扫CT示子宫腔内低密度灶,双侧宫旁间包块,呈囊实性改变;C,D.增强CT示宫腔内肿块强化程度低于子宫肌层;双侧宫旁病变多囊状改变,囊壁较厚,与周围组织结构分界不清。
术后诊断:子宫内膜癌,及双侧卵巢输卵管脓肿
5、子宫破裂
case. F,26Y,孕18W,G3P2,引产3天,右下腹痛2天



术前CT诊断:子宫破裂?
术中:盆腔大量暗红色积液,约800ml,大网膜与腹膜、盆腔广泛粘连,子宫前壁见一长约9cm破裂口,内有活动性出血;死婴。
术后:子宫破裂出血
6、子宫肌瘤变性
子宫肌瘤是女性生殖系统中最常见的良性肿瘤,是雌激素依赖性肿瘤,好发于30~50岁女性。
子宫肌瘤变性,主要包括玻璃样变(最常见)、囊性变、红色变、肉瘤变、钙化、粘液样变与脂肪变少见。
(1)子宫肌瘤红色变性(出血)
子宫肌瘤红色变性(出血)可引起急性腹痛,包括继发于病变周围静脉血栓形成的出血性梗塞。
最常发生在妊娠期,也与口服避孕药有关。
MRI评估效果最佳
(2)浆膜下肌瘤扭转
罕见,较难鉴别,CT表现为盆腔无强化肿块,与正常子宫相连,双侧卵巢正常,与卵巢肿瘤蒂扭转相比,前者蒂较薄。
F,27Y

增强CT示子宫前无强化实性肿块,而双侧卵巢正常;失状位示子宫前壁附着蒂扭曲。
(3)子宫扭转
非常罕见,定义为子宫沿纵轴旋转>45°;常发生在子宫峡部;诱发因素包括妊娠子宫、子宫肌瘤、先天性子宫畸形、盆腔粘连和附件包块。
临床表现非特异性轻度腹部不适,或急性腹痛伴有休克,
CT见宫颈结构呈螺旋状。术前诊断困难
(4)急性子宫出血
滋养细胞起源的宫内组织在受孕后发育,分娩或终止妊娠后仍持续存在
最常发生在妊娠初期、中期分娩或终止妊娠后,可表现为阴道出血和盆腔疼痛
表现为子宫内膜与肌层交界处富血供肿块
大量出血取决于侵犯肌层深度和肿块血供情况
大部分为胎盘组织,其他成分如蜕膜组织、胎膜组织、脐带或胎儿器官等
主要分为
1)妊娠物残留:MRI可有特征性表现
2)子宫动静脉畸形:子宫内血管性病变不能自发消退及β-HCG(-),高度怀疑AVM;CT增强可显示子宫肌层至宫腔明显强化肿块;诊断标准:DSA早期静脉回流和肌层受累;
四、小结
无*生活性**史多为卵巢肿瘤蒂扭转、黄体破裂、痛经;育龄期多为 1、与妊娠有关(异位妊娠、流产、胎盘早剥、胎盘植入),2、与妊娠无关(卵巢肿瘤蒂扭转、破裂、炎性疾病、子宫腺肌症等);老年妇女腰考虑卵巢恶性肿瘤破裂的可能,卵巢肿瘤蒂扭转液常见。
妇科急腹症病情可轻可重,漏诊可能导致严重后果。
妇科急腹症的影像检查,选择合适的方法,是准确诊断的前提。
各种妇科急腹症临床表现、影像学征象存在一定重叠,准确的诊断需紧密结合临床病史及实验室资料,要求影像医生具备一定的临床、病例、生理知识。