点击右上角立即关注,更多健康内容不再错过,不定期惊喜送给你
治疗银屑病的外用药物确实很多,患者一定要在医生指导下选择药物,不可任意使用。使用银屑病需要遵守以下六招。
在搽外用药物前,宜先用热水肥皂洗去鳞屑,以便使药物更好地发挥效用。

在银屑病急性期,皮损炎症明显时不宜用刺激性强的外用药物,以免激发红皮病的发生,稳定期可选用作用较强的药物。
皮损广泛时,大面积使用外用药物,会因为吸收过多引起中毒。因此,选用的药物浓度应当降低,而且应分区域搽用不同药物,以减少单一药物的过多吸收。尤其不要大面积使用激素制剂。
有些外用药物容易引起刺激,产生皮炎,这些药物用于面部等处应特别慎重。不能用于靠近粘膜的部位,如会阴部、肛门周围等。
腋下、腹股沟等摩擦部位以及面部对激素较敏感,容易产生皮肤萎缩、色素沉着、毛细血管扩张等,因此在这些部位搽药时应选用不良反应较少的外用激素,如艾洛松需、丁酸氢化可的松霜等。
感染时应先控制感染,再作治疗。有渗出时应接急性或亚急性皮炎处理。

怎么诊断牛皮癣病情?
说到皮肤病,先想到的就是明显的外在表现,尤其是像牛皮癣、白癜风这样的皮肤病,外在表现较明显,容易遭到别人的疏远,对患者的身心健康不利。那么,对于牛皮癣,要及时发现及时治疗,要掌握一定的诊断常识,下面就一起来了解一下吧!
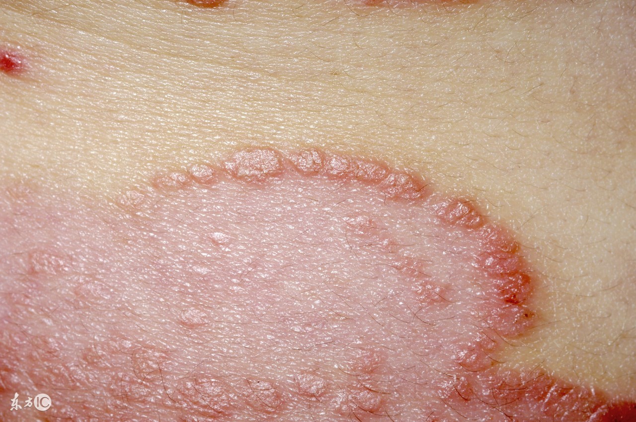
牛皮癣初发时为针头或者扁豆大小的炎性扁平丘疹,逐渐增大成为钱币或更大淡红色浸润斑,境界清楚,上覆多层银白色鳞屑。轻轻刮除表面鳞屑,则出现一层淡红色发亮的半透明的薄膜,称薄膜现象。再刮除薄膜,则出现小出血点,称点状出血现象。
牛皮癣患者的继发性红皮病者称红皮病型牛皮癣牛皮癣;皮疹有少量渗液,附有湿性鳞屑.或初起为小脓疱,伴有发热的症状的患者称为脓疱型牛皮癣;合并关节病变或者称为关节型的牛皮癣。

此病发展过程中,皮损形态可表现为多种形式。急性期皮损多呈点滴状,鲜红色,瘙痒较著。静止期的皮损常常是斑块状或地图状等。消退期皮损常呈环状、半环状。少数皮疹上的鳞屑较厚,有时堆积如壳蛎状。
皮损可能会在身体任何部位对称性发生。好发于肘、膝关节伸侧和头部。少数病人的指(趾)甲和黏膜也可能会被侵。
注:文中图片来自网络,如有侵权请联系删除