超音波照片,妳会看吗?
记得我刚担任妇产科医生时,随手把一张印错的超音波照片往纸屑篓一丢,该孕妇马上说:「医生,照片可以给我们吗?」我捡起来递给孕妇,看着夫妻俩聚精会神、充满欣喜的研究着,这才赫然发现,原来黑黑的一张照片,竟有如此魔力!
了解到大家对超音波照片研究的好奇,在此传授大家解读之法。至于超音波图上方的一堆数字字母,比方说13.6cm/31Hz等,是超音波机器的设定值,我们先不讨论。

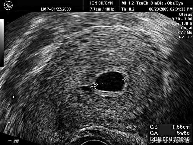
一张照片,应该就是大家的第一次亲密接触。中间那个小黑点,就是位在子宫内的胚囊(gestational sac, GS),胚囊就是胎儿的「房间」。右下角1.56公分就是胚囊的直径,GA(gestation age)是周数的意思,1.56公分直径的胚囊,大约是妊娠5w6d(5周又6天),用胚囊的大小推算,EDD(estimated due date, 预产期)是02/17/2010,大家看懂了吗?

图这张应该是大家最看得懂的照片了,大约是怀孕三个月左右时拍的。片中5.20公分的是头臀长(crown-rump length, CRL),对照的周数是11周又6天。CRL在怀孕早期(四个月前)是评估胎儿生长发育最重要的指标。
好多孕妇曾经问我:「医生,我看妈妈手册上面写着,今天宝宝的身长应该有18公分了,为什么你只量11公分啊?」现在,妳知道答案了吗?我们量测的是头臀长,并非头脚底长,难怪会短了一大截。

右边前三张各是头径(biparietal diameter, BPD)、腹围(abdominal circumference, AC)与大腿骨长度(femoral length, FL)。这是怀孕五个月后最常听到的「三围」。由以上的数值,可以推算胎儿的体重。因此,中后期胎儿的发育正不正常,可以从这三个数值来判断。

最后一张(第四张),包在宝宝外面黑黑的一片就是羊水,而上方一大片白白的就是胎盘。
大家学会看超音波照片了吗?

矫正胎位的胎儿外转术
在一个难得的机会看一位经验老到的妇产科医生表演胎儿外转术,觉得就像武功高手使出乾坤大挪移,真是太神奇了!
早在亚里斯多德的年代就有人在帮胎位不正的孕妇做外转术了。古时候,胎位不正生产有两种方式:冒着风险阴道生产,或是冒着更大的风险剖腹生产。
当时的医疗水平和现在很不一样。由于剖腹生产的死亡率可能高达50%,因此,胎儿外转术是一种很普遍的做法。当时的时空背景,在权衡风险的考量下,医生多半会「拚命」的想要利用外转术把胎位矫正过来,不但使劲的扳,有些人还将孕妇全身麻醉来进行外转术!而拚命的结果,就可能会产生如子宫破裂、胎盘早期剥离、胎儿窘迫等严重并发症。
随着剖腹生产技术的进步与安全性的大大提高,这项技术便慢慢式微,大部分人也不知道有这样的做法了。
其实,如果好好评估病患的情况,胎儿外转术不但有效,也是非常安全的。统计上,65%的胎儿,可以藉由外转术成功的矫正胎位;利用超音波、胎儿监视器的辅助,近十年来的医学文献,也已经鲜少有并发症的报导了。以我的经验,有些胎儿不用十分钟就转过来了,真的还满有效的。
所以,如果妳已经足月,产检状况正常(没有羊水过少、胎盘功能不全、子宫肌瘤等问题),非常想要自然生产却还是胎位不正,可以与医生讨论这样的方法,希望可以成功。