作者:彭萍,蒋诗阳
单位:北京协和医院妇产科
文章来源:协和医学杂志,2020,11(3):309-313.

全世界双胞胎平均出生率大约1:8.9(1.12359%),
对于一个想当宝妈的女性来说,得知怀有双胞胎,无疑是喜上加喜,
然而,当被告知其中一胎为“葡萄胎”,则犹如晴天霹雳,心痛不已。
北京协和医院妇产科彭萍教授曾接治过这样一位患者,双胎之一葡萄胎16周,考虑预后不佳,患者及家属选择了终止妊娠。
在其团队的正确诊断及积极处理下,成功引产阴道分娩,患者获得了良好的诊治效果。

1. 什么是双胎之一葡萄胎?
葡萄胎是一种良性妊娠滋养细胞疾病,根据组织病理学和遗传学起源不同可分为完全性葡萄胎和部分性葡萄胎。
双胎之一葡萄胎极为罕见,发生率约为(0.5~1)/100万 [1] 。
其本质是双胎妊娠的一种,其中一枚受精卵为正常卵子与精子结合形成二倍体受精卵;
另一枚可能为空卵与精子结合形成二倍体完全性葡萄胎,即完全性葡萄胎合并妊娠,
更为少见的情况下为正常卵子与双精子结合形成三倍体部分性葡萄胎,即部分性葡萄胎合并妊娠。

超声可见宫内妊娠囊(白色箭头)及葡萄胎组织(黑色箭头)
2. 双胎之一葡萄胎有何特点?
双胎之一葡萄胎患者较单纯葡萄胎患者的子宫更大,血清β-hCG水平更高,还可出现妊娠剧吐、先兆子痫、甲状腺功能亢进等并发症 [1] ,发生持续性妊娠滋养细胞疾病的概率亦更高 [2] 。

此外,双胎之一葡萄胎的诊断一般较晚,有研究提示其诊断时患者的中位孕周较完全性葡萄胎患者大2周,孕妇常在妊娠24周之前由于严重的阴道出血或其他并发症导致妊娠终止,部分患者可将葡萄胎维持至24周以上,但发生晚孕期出血及早产的概率较高 [1,3] 。

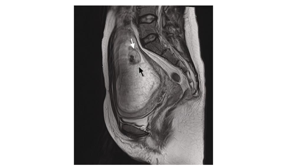
孕14周时盆腔MRI可见胎儿影(白色箭头)及葡萄胎组织异常信号(黑色箭头)
3. 双胎之一葡萄胎是否需要终止妊娠?
在双胎之一葡萄胎活产病例中,胎儿通常是健康的。
部分患者还存在高龄、应用辅助生殖技术等情况,妊娠困难、胎儿珍贵 [4] 。因此,只要不出现严重的产妇并发症,有强烈生育愿望患者可考虑在密切监护下继续妊娠。

对于继续妊娠的处理尚无明确的循证医学指南,孕期应密切监测葡萄胎组织增长情况及血清β-hCG水平。此外,需通过羊水穿刺及绒毛活检以明确胎儿是否有染色体异常,孕期可通过详细的超声检查明确胎儿有无解剖结构异常,特别注意排除胎儿死亡、胎盘后血肿及其他胎盘异常等潜在并发症。

如葡萄胎体积持续增加、血清β-hCG水平明显上升均提示预后不良,应适时终止妊娠。
若患者合并有严重并发症,则需立即终止妊娠。
4. 双胎之一葡萄胎如何终止妊娠?
关于妊娠合并葡萄胎终止妊娠方式的选择尚无明确指南,需结合患者孕周、子宫大小、并发症的严重程度等综合决策。
早孕期:一般选择负压吸引清宫术。
中孕期:孕周较大的病例大多选择剖宫取胚术[5]。
晚孕期:分娩方式推荐剖宫产术,主要原因为妊娠合并葡萄胎的葡萄胎状胎盘常位于子宫下段,阴道流血风险较大,加之阴道分娩时间不易控制,且阴道分娩宫腔压力高,葡萄胎组织易侵入子宫肌层、发生远处转移。

清宫术后见正常发育胎儿(左)、正常胎盘(中)及葡萄胎组织(右)
对于妊娠合并妊娠滋养细胞疾病伴前置胎盘或胎盘植入等出血风险较高的患者,有学者建议先采取包括球囊阻塞术或介入治疗后再终止妊娠[6]。
其中,对于选择中孕期终止妊娠的方式最为困难,原因包括:
(1)如采取药物引产,对于子宫损伤较小,但存在因宫腔压力增加而易发生葡萄胎组织侵袭的风险,完全性葡萄胎合并妊娠肿瘤负荷大时还可出现滋养细胞栓塞[3];
(2)若采取清宫术,由于中孕期胎儿已有骨骼形成,碎胎钳刮术中胎儿碎骨可能对宫颈造成损伤,引起难以处理的出血;
(3)若采取剖宫取胚术,可短时间内终止妊娠,但存在与再次妊娠相关的远期并发症,部分患者难以接受。

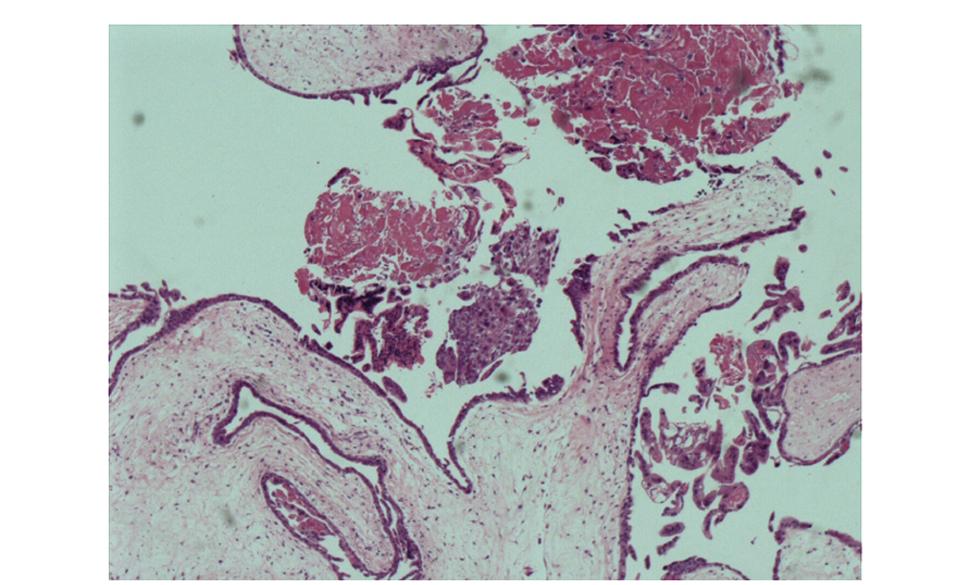
术后病理HE染色后见葡萄胎,滋养细胞中度增生
总结:
妊娠合并葡萄胎在临床上罕见,尚缺乏对其诊断、治疗的临床规范或指南。诊疗过程中应仔细评估患者情况,进行产前诊断评估胎儿存活的可能,并与患者充分沟通,遵循个体化原则选择治疗方案。此外,治疗期间应警惕各种可能的并发症,妊娠终止后进行血清学及影像学密切随访。

参考文献
[1]Sebire NJ, Foskett M, Paradinas FJ, et al. Outcome of twin pregnancies with complete hydatidiform mole and healthy co-twin[J]. Lancet, 2002,359:2165- 2166.
[2]Niemann I, Sunde L, Peterson LK. Evaluation of the risk of persistent trophoblastic disease after twin pregnancy with diploid hydatidiform mole and coexisting normal fetus[J]. Am J Obstet Gynecol, 2007,197:451- 455.
[3]Lin LH, Maestá I, Braga A, et al. Multiple pregnancies with complete mole and coexisting normal fetus in North and South America: a retrospective multicenter cohort and literature review[J]. Gynecol Oncol, 2017,145:88- 95.
[4]Nobuhara I, Harada N, Haruta N, et al. Multiple metastatic gestational trophoblastic disease after a twin pregnancy with complete hydatidiform mole and coexisting fetus, following assisted reproductive technology: case report and literature review[J]. Taiwan J Obstet Gynecol, 2018,57:588- 593.
[5]祝洪澜,李艺,刘国莉,等. 34例双胎妊娠完全性葡萄胎与正常胎儿共存临床特征的荟萃分析[J]. 中国妇产科临床杂志, 2015,06:523- 527.
[6]Klatt TE, Franciosi RA, Cruikshank DP. Normal fetus with a twin presenting as both a complete hydatidiform mole and placenta previa[J]. Obstet Gynecol, 2006,107:527- 530.
本文科普主题来源于《协和医学杂志》疑难病与罕见病专栏文章:
《双胎之一葡萄胎16周成功引产阴道分娩一例》
作者简介

彭萍
北京协和医院妇产科主任医师,产科中心主任助理中华医学会计划生育学分会生育调控学组常务副组长妇幼健康协会生育调控学专业委员会副主任委员北京医学会计划生育学分会委员《中国计划生育和妇产科》杂志编委。
擅长:妇科计划生育常规及孕产妇高危情况如子宫瘢痕妊娠、妊娠合并症及并发症等的诊治以及妇科常见疾病如子宫内膜异位症、子宫肌瘤、卵巢囊肿、宫颈疾病和月经紊乱等的诊治。

蒋诗阳
北京协和医院妇产科2019级临床型博士研究生。