来源:与爱共舞订阅号
我们知道现在提到的肺癌,其实不是一种病,而是几十种病的组合。每一种亚型的特性和最优治疗方式以及预后等都不尽相同。因此,被诊断为肺癌后,最最重要的就是弄清到底患的是什么亚型的肺癌?我们今天就来聊一聊肺癌的具体分类分型和分期。
肺癌是一种细胞疾病,从肺组织的上皮细胞转化成癌细胞开始,随着时间的推移,逐渐形成原发性肿瘤肿块,继而肿块长大并侵入其他组织,甚至扩散到肺和身体其他组织。得注意区分的是,从别的器官转移到肺部的肿瘤不能叫做肺癌,只是肺转移瘤,几乎所有肺癌的癌细胞都来源于肺组织的上皮组织。
众所周知,肺癌其实其实是几十种病的组合。每一种亚型的特性,最优治疗方式,预后等都不同。肺癌是恶性程度非常高的肿瘤。在早期就有可能会出现扩散,肺癌的扩散方式,主要是淋巴结的转移以及血行转移。
特别是腺癌以及小细胞肺癌,在早期就会出现纵膈淋巴结的转移以及头颅、骨骼的转移,病人会有全身的消耗症状以及疼痛。肺癌扩散之后一般属于晚期,因此,被诊断为肺癌后,最重要的问题,就是弄清到底患的是什么亚型的肺癌?我们需要三个方面的信息:分型信息、分期信息和基因突变信息。
肺癌的病理分型
以解剖学(肿瘤发生)部位分型:

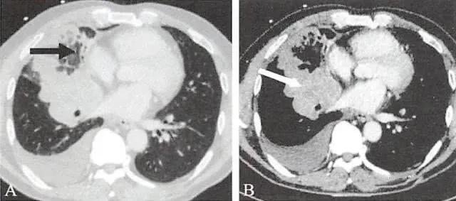
(1)中央型,肿瘤发生在段支气管以上的支气管,亦即发生在叶支气管及段支气管,以鳞状上皮细胞癌和小细胞未分化癌多见。

a. 阻塞性肺气肿;b.阻塞性肺炎:小片状、肺段
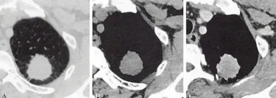
(2)周围型,肿瘤发生在段支气管以下,以腺癌较为多见。

CT易显示肿瘤内的空洞及钙化,空洞多不规则,壁厚薄不均匀,可见壁结节;钙化多为斑片状或结节状。
(3)弥漫型,肿瘤发生在细支气管或肺泡,弥漫分布于两肺。

两肺多发小结节或粟粒状结节,以中下肺为著,常伴有单侧或双侧的胸腔积液。结节大小不等,但每个结节的形态学表现与孤立性周围型肺癌具有相同的特征。
按组织学分类,将肺癌分为4种:肺腺癌、肺鳞癌、大细胞肺癌,以及小细胞肺癌(SCLC)。肺腺癌、肺鳞癌和大细胞肺癌合称为非小细胞肺癌(NSCLC),大约占到肺癌的80%。
✅ 鳞形细胞癌(又称鳞癌),肺鳞癌又称肺鳞状上皮细胞癌,包括梭形细胞癌,是最常见的类型,占原发性肺癌的35%-40%。肺鳞癌多见于老年男性,与吸烟有密切关系。肺鳞癌以中央型肺癌多见,并有胸管腔内生长的倾向,肺鳞癌早期常引发支气管狭窄,或阻塞性肺炎。肺鳞癌生长缓慢,转移晚,手术切除机会较多,5年生存率较高,肺鳞癌对放疗、化疗不如小细胞未分化癌敏感。
✅ 腺癌:发病率比鳞癌和未分化癌低,腺癌大多起源于支气管黏膜上皮,为周围型肺癌。癌症早期一般没有明显的临床症状,常在胸部x线检查时被发现。腺癌的生长缓慢,早期即可发生血行转移。淋巴转移会发生晚一些。
✅ 大细胞肺癌在非小细胞肺癌中占比10%~15%,多数为周围型,预后很差多发于中老年男性吸烟者。本型属于未分化的恶性上皮性肿瘤,常常因出现脑转移症状而就诊。大细胞癌有五个亚型:大细胞癌神经内分泌癌、基底细胞样癌、淋巴上皮瘤样癌、透明细胞大细胞癌、大细胞癌伴横纹肌样表型。
✅ 小细胞肺癌约占肺癌总数的15%。小细胞肺癌的发生与吸烟密切相关,仅有1%的小细胞肺癌与吸烟无关。相比以上三种肺癌,小细胞肺癌比较独特。小细胞肺癌恶性程度高,生长速度快,很早就出现转移,而且是广泛转移。小细胞肺癌对放疗和化疗都比较敏感,甚至可以完全把肺上的肿块治没了,但是极易发生继发性耐药,很容易复发。目前也没有针对小细胞肺癌的靶向药。很早就出现广泛转移,治疗方法非常有限,因此小细胞肺癌是4种肺癌中预后最差的。

WHO肺癌病理分类
肺癌的分期
下面来看看肺癌都有哪些分期。分型主要讲癌细胞长啥样,而分期则主要说明癌细胞是否扩散。在肺癌确诊后,医生用一系列检查来判断癌细胞是只在局部,还是已经扩散到了淋巴结或身体其它器官。这些信息直接决定了肺癌的分期。
肺癌分期常常分2次进行:
第一次分期在治疗前完成,称为临床分期。医生通常采用CT/PET-CT影像学检查、临床检查、血液检测,细胞穿刺活检等手段确定肿瘤的分期。
第二次分期称为病理分期,医生通过给病人手术治疗,肿瘤的性质通过病理学证实,侵犯范围通过手术探查确定。
一般来讲病理分期较临床分期更为准确,但很多时候病理分期不可获得,正如打击恐怖分子,一旦打入恐怖分子内部,将会面临重重困难,付出的代价也是非常高昂的。
总结临床中用于非小细胞肺癌分期的是TNM分期系统:
T代表原发肿瘤,可以理解为恐怖分子的发源地;
N代表局部淋巴结转移,即恐怖分子局部扩散;
M代表远处转移,即恐怖分子已经扩散到国家或世界范围了。
肿瘤(T)、淋巴结(N)和远处转移(M)图示见下图:

在TNM三个字母的右方附加一些数字,来进一步量化肿瘤扩散的范围和程度。如T1、T4、N0、N3等等。然后根据不同的TNM组合,最后确定出病人总的分期,用罗马字母I、II、III和IV期表示。

肺癌第八版TNM分期
另外,在TNM之前加上的字母c(临床英文clinical的首字母)代表的是临床分期;加上p(病理英文pathology的首字母)代表的是病理分期。
非小细胞肺癌和小细胞肺癌在专业的分期系统稍有不同,但为了交流方便,最终都可以被汇总为0期、I期、II期、III期或者IV期。I,II,III期里有时还会分A和B,比如IIA,IIIB期等。口头常说的早期通常指I期,中期通常指的是II/III期,晚期通常指的是IV期。
而小细胞肺癌由于它进展快,扩散转移早的特点,临床上更多采用的是二分期系统,即将小细胞肺癌分为局限期和广泛期。
肺癌的基因突变
肺癌靶向治疗中需注意基因突变类型,肺癌根据基因突变类型分为很多亚型,病理诊断具体分类过程中免疫组化起到了关键作用,各类型肺癌常见免疫标志物:腺癌:CK7、TTF-1、Napsin-A;鳞癌:P40、P63、CK5/6;小细胞癌:TTF-1、Syn、CD56。非小细胞肺癌的驱动基因主要有EGFR、ALK、BRAF、HER2、KRAS、MEK1、MET、NRAS、PIK3CA、RET、ATK1和ROS1。
EGFR:为肺腺癌最常见的突变类型,其中女性、腺癌和不吸烟患者具有更高的突变率,敏感性突变主要包括19外显子缺失、21外显子突变(L858R,L861),18外显子突变(G719X,G719),20外显子突变一般为耐药突变如T790M,S768I。既往研究显示,20外显子前端插入与靶向治疗疾病控制相关,后端插入与耐药相关,ARMS法试剂盒只包含3种20外显子后端的插入,故检测的均为耐药突变。
ALK:约占肺癌的5%,EML4基因与ALK的融合最常见,常见为不吸烟或少吸烟、腺癌、EGFR野生型、年轻型患者,病理类型为粘液腺癌或印戒细胞癌具有更高的突变率,目前检测方法主要有3重:荧光原位杂交(FISH),荧光定量RT-PCR和免疫组织化学法(IHC)。
c-MET:c-met是由MET基因编码出来的蛋白,该基因的扩增能导致EGFR-TKI耐药,约占耐药原因的11%。
ROS-1:在非小细胞肺癌发生率约为1-2%,目前检测方法主要有3重:荧光原位杂交(FISH),荧光定量RT-PCR和免疫组织化学法(IHC)。
RET:一般与其他突变不同时存在,患者多年轻且不吸烟或少吸烟,发生率约1-2%。
BRAF:主要见于腺癌,突变率约1-4%。
KRAS:常见于腺癌,该突变与EGFR-TKI耐药相关。研究结果显示,携带exonl8、19和21突变的患者中75%一95%的病例对EGFR-TKI敏感,但KRAS基因突变会导致TKI耐药。所以,确定肿瘤原发灶和转移灶中KRAS和EGFR基因的突变位点对选择药物治疗对象至关重要。
早发现早治疗!肺癌的高危人群最好每年做一次胸部CT检查,包括:年龄超过40岁以上人群、常年吸烟人群、有肺癌或者肿瘤家族史人群、有特殊的职业环境暴露或者既往有过肺病的人群,就能及时发现刚刚生长出来的早期肺癌。对这些早期的肺癌进行积极治疗,往往可以达到治愈的效果,获得长期的生存。
参考文献
[1]王丽.中国原发性肺癌诊疗规范(2015年版).《 中华肿瘤杂志 》
[2]《HGF/c-MET*制剂抑**治疗非小细胞肺癌的研究进展》,蒋涛 (Tao JIANG) and 周彩存 (Caicun ZHOU)*,Zhongguo Fei Ai Za Zhi. 2015 Apr 20; 18(4): 240–244.
#医师报超能团#
#超能健康团#