纵隔肿瘤涵盖多种良、恶性肿瘤类型,其临床诊治复杂,需要在明确诊断的基础上采取针对性的治疗措施。
纵隔肿瘤的综合评估主要包括:影像学检查,实验室检查,病理学检查。

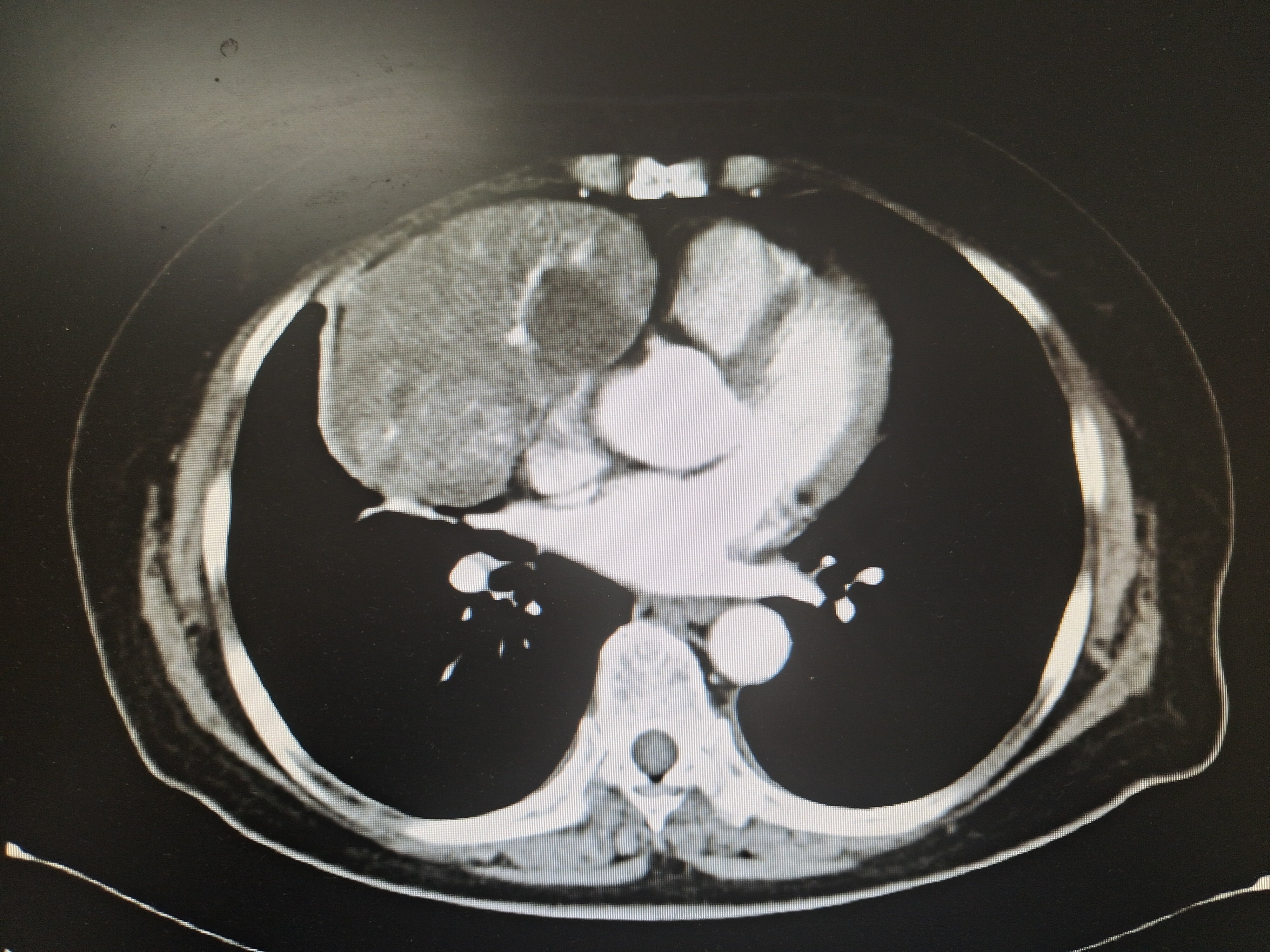
1.影像学检查
增强 CT 是纵隔肿瘤最重要的影像评估手段,既能够显示出肿瘤的形态,又能够揭示肿瘤的血供情况及其与周围血管的毗邻关系。如有必要,还可根据增强 CT 进行三维重建。对于疑似血管源性肿瘤或纵隔肿瘤侵犯、压迫大血管,也可采用血管造影进一步评估。
磁共振成像(magnetic resonance imaging,MRI)可以通过病灶的形态、边界、囊/实性、毗邻关系等方面揭示其相关特征。在鉴别胸腺增生、囊肿和胸腺恶性肿瘤中,MRI 也是一种非常有效的手段。对于有碘对比剂禁忌的患者,MRI可作为评估纵隔肿瘤的备选手段。
正电子发射计算机断层显像(positron emission tomography-CT,PET-CT)可用于纵隔肿瘤患者的全身评估,也是一种较为有效的分期手段,在检测远处转移方面更有优势。
部分肿瘤可导致吸气流量限制,因此纵隔肿瘤患者也需接受肺功能检查。必要时亦可参照肺部手术术前评估行更精确的心肺运动试验。
在评估胸内甲状腺肿的活性时,可行放射性碘扫描;若疑有胸骨后甲状旁腺腺瘤,可行锝 99 等同位素扫描;若男性患者疑有纵隔生殖细胞肿瘤,应行*丸睾**超声检查等排查性腺原发肿瘤。
2.实验室检查
纵隔肿瘤患者均应行血常规及血生化检测。此外,若疑为甲状腺毒症、甲状腺类癌等,应行甲状腺功能和皮质醇检测;若疑为非精原细胞性生殖细胞肿瘤,则应行甲胎蛋白 (AFP)、人绒毛膜促性腺激素 β 亚单位(β-HCG)及乳酸脱氢酶(LDH)检测;若疑为胸腺瘤合并重症肌无力,应行针对乙酰胆碱受体、肌肉特异性激酶和脂蛋白受体相关蛋白等的抗体检测。
3.病理学检查
诊断性组织活检的备选手段包括经皮粗针穿刺活检、经支气管针吸活检、纵隔镜检查、纵隔切开术与胸腔镜手术。
对于疑为淋巴瘤的患者,由于肿瘤异质性较大,手术治疗并非常规首选推荐,组织活检是必不可少的诊断方式。
但 对于根据临床表现及影像学特征高度怀疑胸腺瘤的可切除病灶,应避免活检造成肿瘤包膜破坏而带来肿瘤转移风险 。
活检应一次性获取足够的组织标本供病理学诊断用。快速现场细胞学检查可即时评估,必要时即时获取额外的组织。
作者:刘政呈
南京鼓楼医院心胸外科
副主任医师,医学博士,硕士研究生导师,江苏省科教*卫强**工程医学青年人才
毕业于上海交通大学,美国胸心外科学会(AATS)Graham奖获得者,约翰. 霍普金斯医院访问学者
单孔胸腔镜技术及剑突下胸腔镜手术入选美国胸心外科学会年会,在大会发布研究成果及手术视频
从事胸外科临床、科研、教学工作十余年,主刀手术数千例,长期致力于肺部结节及纵隔病灶的诊治、胸外科精准微创手术技术及快速康复研究,对于肺癌、纵隔肿瘤的手术治疗有深刻见解,重症肌无力的综合诊治技术领先。
擅长单孔胸腔镜肺部手术,经剑突下单孔胸腔镜胸腺切除术,复杂肺癌、胸腺肿瘤的外科手术及综合治疗。
门诊时间:周五全天(南京鼓楼医院本部),周三上午(南京鼓楼医院江北院区)
可在微信小程序“鼓楼医院互联网医院”上预约挂号
美国胸外科医师协会(STS)国际会员International Member
国际肺癌研究协会(IASLC)Member
国际胸腺协作组(ITMIG)Member
江苏省医学会胸外科学分会纵隔学组委员
江苏省医师协会微无创医学专委会青年委员
中国抗癌协会肺癌专业委员会 专业会员
中国抗癌协会腔镜与机器人外科分会 专业会员
中国抗癌协会肿瘤微创治疗专业委员会 专业会员
中国抗癌协会肿瘤分子医学专业委员会 专业会员
中国抗癌协会纵隔肿瘤专业委员会 会员
中国卓越外科科研协作组成员
中华医学会胸心血管外科分会会员
江苏省青年医学人才
美国胸心外科学会(AATS)Graham奖获得者
约翰. 霍普金斯医院访问学者(Johns Hopkins Hospital Fellow)
《中国胸心血管外科临床杂志》中青年编委
《BMC Surgery》Peer Reviewer
《Mediastinum》Section Editor