导读: 牙体缺损修复体在技术室制作完成后,到最终在患者口内完成修复,还需以下5个步骤:①戴前处理(preliminary finishing);②试合和调磨(try-in and adjustment);③表面处理(surfacetreatment)包括机械抛光(polishing)和上釉(glazing);④粘固(cement);⑤粘固后抛光(poet cementainon finiabing )。

一、戴前处理
应在患者就诊之前对牙体缺损修复体进行初步处理,从而使临床医生无需花太多时间调磨就可将修复体顺利地在患者口内就位、粘固而完成治疗,既节省了宝贵的椅旁操作时间,又可赢得患者的信任。
1.初步检查 仔细检查修复体是否完整,有无缺损、砂眼或缩孑L。用放大镜检查修复体组织面有无金属瘤、残存的包埋料、石膏渣、抛光膏等,如果发现有应选择大小合适的钻针磨除;要仔细检查烤瓷冠肩台的组织面是否有少量的瓷覆盖,如果有则用细金刚砂钻针缓慢轻轻磨除,使金属重新暴露。
2.将修复体就位于代型上检查 轻压使其在代型上就位,并用放大镜检查就位是否彻底,边缘伸展是否合适。理想的就位状态是:修复体只在边缘部位与代型接触,其余内表面与代型表面留有一个大小在30—40um的间隙,以容纳粘固或粘接材料。
3.在模型上调整邻接关系 修复体在代型上就位后,应使用较薄的复印纸仔细检查邻接关系。调整邻接关系时应反复少量、缓慢地研磨,直至修复体在代型上彻底就位,同时修复体的近远中仍与邻牙接触。理想的邻接关系应当是当修复体复位在工作模型时,不造成相邻牙代型的移位,在拉动插入邻接区内的复印纸时既要感到有阻力,又可以完整地抽取出来。
4.在骀架上调整牙合 在调牙合前应确认修复体己彻底就位,然后在舌架上用咬合纸检查咬合情况,用直径较小的柱状磨石先调正中牙合早接触,然后调非正中耠早接触,直到咬合点均匀。
5.初步抛光 在邻接关系和咬合调磨完成后,金属修复体用钨钢(或普通碳化硅)磨头进行轴面磨平,拾面抛光时先用花蕾状抛光钻研磨拾面沟窝,使沟窝清晰,然后再用金刚砂或碳化硅磨石依照拾面外形将粗糙的表面磨平,之后用中度粒度的橡皮轮进行抛光,获得呈缎纹样表面(satin-likefinish)即可。金属修复体初步抛光不宜高度抛光,瓷修复体也可暂不上釉,因为在口内试合时,过度光滑的表面使咬合高点和过紧的接触点不易用咬合纸检查出来。最后对修复体的内表面喷砂处理,然后用高压蒸汽清洗以备口内试合。

二、口内试合与调磨
1. 问诊 询问患者上次治疗后患牙有无异常感觉;使用临时冠咀嚼时有无咬合不适和咬合痛;患牙为活髓牙者有无冷热刺激痛及自发性疼痛。
2.检查患牙 牙周检查包括牙松动度、叩痛、牙龈状况及牙周探诊深度的检查。若患牙为活髓应进行牙髓状况检查:去除临时冠,用热试或冷试法检查牙髓状态,必要时使用电活力测定仪测试牙髓活力。牙髓反应正常者继续治疗;若存在牙髓激惹(充血)则先对患牙进行安抚治疗,待牙髓状态恢复正常后继续治疗;若患牙已发展成牙髓炎则应行牙髓治疗及根管治疗,然后继续进行修复体的试戴与粘固。未及时治疗牙髓疾病而匆忙粘固修复体,未来在进行牙髓治疗时需要破坏甚至拆除修复体从而导致修复失败,引起患者不必要的痛苦和经济损失,甚至引发医疗纠纷。

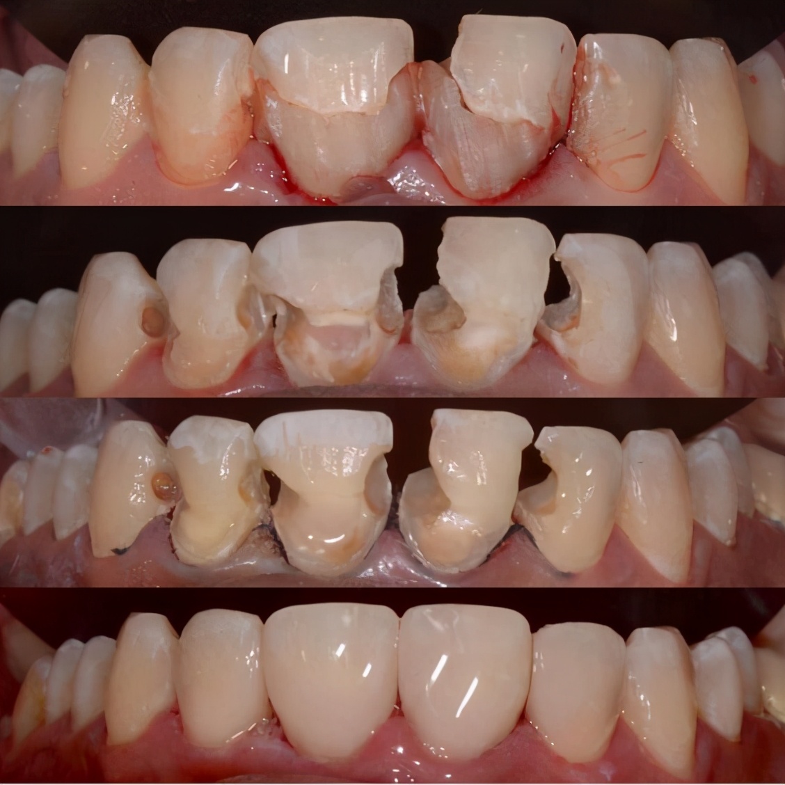
3.清洁患牙表面 先用探针或镰形洁治器去除粘着在牙表面的临时粘固剂,然后用干棉球擦去残存的粘固剂细小颗粒,最后用气水枪冲洗患牙表面。对活髓牙应强调爱伤观念,应使用温水冲洗,避免长时间使用酒精刺激,避免反复吹干牙表面,必要时应在麻醉下完成试戴和粘固。
4.就位(seating) 将修复体戴人预备过的患牙上并达到正确的位置称为就位。金属修复体和烤瓷修复体在试戴时应用手指稍微加力按压修复体使之就位,不应采用敲击和患者咬合的方法使修复体就位,因为在敲击力和咬合力作用下就位的冠很难脱位,而且容易造成基牙损伤。铸瓷修复体(包括嵌体、冠及贴面)在试戴时应无压力就位,因为铸瓷修复体有可能在压力下破损。
(1)修复体就位的标志:修复体完全就位理论上的标志是戴人患牙上的修复体内表面与患牙面之间的间隙不大于50,lm。临床上可使用显示蜡(山scl。singwax)或硅橡胶类检查材料检查修复体是否彻底就位。将这类材料放在修复体组织面,使修复体在口内就位,待材料固化后再将修复体从患牙上摘下,修复体组织面只应存留非常薄的一层材料。如果该层过厚,则说明修复体没有完全就位。
在每个步骤标准化操作的条件下,临床上常以以下现象作为修复体就位的参考标志:
1)修复体的龈边缘到达设计位置。
2)咬合基本合适。
3)修复体在基牙上就位后稳定无翘动。
(2)阻碍修复体就位的因素及处理方法
1)倒凹:牙体预备时存在一定程度的倒凹,使得倒凹上部的牙体阻挡修复体龈向就位。倒凹小者可适量调磨修复体颈部相应区内缘,或调磨倒凹上部的牙体组织以使修复体就位。倒凹大者应重新预备患牙,重新制作修复体,否则若大量调磨基牙及修复体将造成修复体与基牙的密合度降低,易引起修复体边缘继发龋或因固位不良导致修复体脱落。
2)过锐的点角和线角:基牙预备时形成过锐的点角和线角,包埋时包埋材料无法流入熔模相应的这些狭小间隙,造成修复体就位时在这些点角和线角处产生阻挡。可适当调磨基牙的锐利点角和线角,或使用尖锐车针调磨修复体内面相应区域。
3)模型损伤:模型切缘或胎缘灌注不全;模型切缘或拾缘损伤未被发现,如技师在制作过程中不慎刮蹭模型。修复体完成后试合时在相应的区域形成阻挡。可对照基牙与模型不 4)铸造缺陷:铸造过程中,在修复体内面形成金属瘤、粗糙面。使用相应车针磨除这些突起部分。
5)邻接过紧:在试合时表现为修复体被卡在两个邻牙之间,按压颊舌侧缘修复体产生颊舌向转动。应仔细调磨邻面高点。
6)牙龈阻挡:设计龈下冠边缘者,尤其当临时冠边缘不密合导致牙龈肿胀者,试合时游离龈缘易卷入肩台与冠边缘之间,影响修复体就位。可使用高速车针、电刀、激光等去除过长牙龈,必要时应在麻醉下施行上述操作。
7)其它因素:印模、模型变形,熔模蠕变变形,铸造收缩,修复体边缘过长等。
(3)排除阻碍的具体方法
1)邻接阻碍的排除:用牙线(dentaliloss)(图3—118)检查邻接有无阻挡,如果牙线加力不能通过,说明邻接过紧;牙线不加力即可轻松通过,则说明邻接过松。还可以使用专用的邻面接触检查片(contactgauge)检查邻面接触的松紧度。邻面接触检查片一般有3个厚度:50txm、801xm和1lOtxm。正常邻面(图3—118)用牙线检查邻接接触的松紧度应在50txm以上和110lxm以下,即50txm的检查片可以顺利通过邻面接触区,但110[xm检查片不能通过。如50,Lm的检查片不能通过邻面接触区,则表明邻接过紧;如1101xm检查片可以轻松通过邻面接触区则表明邻接过松。邻接过紧可以使用薄层咬合纸检查高点,通过少量反复调磨修复体的邻面高点达到上述合适的松紧度,若邻接过松可以通过修复体邻面金属加焊或加瓷来修改,邻面接触区间隙太大则需返工重做。
2)修复体组织面阻碍点的排除:可使用指示剂或指示材料检查阻碍部位。作为指示剂的材料有涂抹型和可凝*雾型喷**,也可以使用专用高点检查硅橡胶或高流动型硅橡胶作为指示材料。操作时将上述指示材料均匀涂布或喷涂在修复体内面,形成一层薄膜,随后将修复体戴人患牙用手指
轻轻按压,待指示材料凝固后取下观察,指示材料被挤走,组织面暴露的区域为阻碍点。选用大小、
形状合适的钻针调磨阻碍点,然后戴人观察。反复操作直到修复体彻底就位。
5.就位后的检查和调改 修复体就位后应按照以下顺序对修复体检查评价并修改:邻接,固位,边缘,咬合,外形及美观。
(1)邻接(proximalcontact):修复体的邻接既不能太紧也不可太松。邻接太紧妨碍修复体就位,造成患者感觉不适,使患者不宜用牙线清洁牙邻面。邻接太松则易造成食物嵌塞。对邻接关系的检查应在修复体彻底就位的基础上进行,否则易产生假象。如果未将修复体按压在其正确的位置上,修复体可能抬起或倾斜而没有彻底就位,修复体的邻面没有和邻牙形成正常的邻接关系,这样即使原本修复体邻接过紧,牙线仍可从修复体与邻牙之间通过而造成邻接不紧的假象。修复体的邻接松紧度应和患者口内其它牙邻接的松紧度一致。如果邻接过紧用上文介绍的调磨方法进行调改,直到牙线可以在遇到一定阻力下通过修复体与邻牙之间,这一阻力与牙线在通过口内其它牙的邻接点时所遇到的相同。如果邻接过松或没有接触,则应在邻接点处加焊或加瓷以恢复正确的邻接关系。

(2)固位(retention):设计合理的修复体在试合时医生能够感觉到固位力的存在。邻接合适彻底就位的修复体用拇指和示指脱位时手指应感到明显的阻力,固位力较大的修复体往往需要用去冠器使其脱位。如果修复体用拇指和示指脱位时手指没有任何受阻的感觉,或者上颌修复体就位后在不受任何外力的情况下自行脱落,说明修复体几乎没有固位力,应考虑重新设计重新制作,增加固位形,提高固位力。
(3)边缘适合性(marginaladaptation):修复体的邻接检查合适后,在修复体彻底就位的情况下仔细观察冠边缘的情况。合适的冠边缘不应存在过长(over-extended)、过短(under-ex—tended)、过厚以及与颈缘之间有间隙的情况(图3—119)。冠边缘与颈缘之间的间隙大于50p~m的状态通常被认为是间隙过大,这样大的间隙意味着探针的尖可以探入冠边缘与颈缘之间。位于龈下的冠边缘的适合度很难检查,而龈下不适合的冠边缘对牙龈的健康最为有害。

造成边缘不密合的主要原因是修复体没有彻底就位。检查是否就位的方法见上文,理想的状态下,修复体边缘应无指示剂或指示材料存留,显示修复体边缘与患牙颈缘紧密接触,其余组织面应有一薄层指示材料,从而证实冠已彻底就位,同时显示将来粘固剂的厚度。所有指示材料在粘固以前应彻底清除,以免影响修复体的固位力。
(4)咬合调改(oeelusala山ustment):只有当修复体完全就位后才能开始调改咬合。应当注意的是铸瓷修复体的咬合调改应在完成粘接后进行,因为没有粘接剂支撑的铸瓷修复体易在咬合时破损。调改咬合前先检查不戴修复体时的咬合情况,让患者自然咬至自己最习惯的牙尖交错位,观察牙的位置和上下牙面的接触情况,在患牙同侧接近患牙处选择一对牙,这对牙可以将131xm厚的薄塑胶条(plastic shimstock)或薄层咬合纸咬紧。这对牙的接触状态将作为修复体调牙合的参考点(图3-120)。

1)正中牙合早接触的调改:将修复体就位到患牙上,嘱患者自然咬合,观察患牙同侧的一对参考牙是否仍然能咬紧薄塑胶条,如果不能咬紧说明在牙尖交错位时修复体有早接触点(图3—121)。

让患者自然放松,作开闭口的铰链运动,直到下颌被引导到最大的后退位,然后让患者在这个位置开始咬合到刚感到有牙接触时停止,询问患者是哪个牙有接触。如果是修复体有接触,则需进行调改。
要求患者双侧牙同时咬合并咬紧所有牙,这时如果下颌偏向戴修复体的一侧,修复体在上颌则应调改舌尖的颊斜面(图3-121A),修复体在下颌则应调改颊尖的舌斜面。如果下颌偏向修复体的对侧,修复体在上颌则可能应调改颊尖的舌斜面(图3—121B),修复体在下颌则可能应调改颊尖的颊斜面;修复体在上颌也可能需要调改舌尖的舌斜面(图3—121C),修复体在下颌可能需要调改舌尖的颊斜面。
将咬合纸置于修复体与对牙合牙之间,嘱患者自然咬合,取出修复体只调改导致下颌偏移的接触点,不磨别的接触点。反复调改直到下颌不再偏移,患牙同侧的一对参考牙能将薄塑胶条咬紧。
注意牙合面调改不要过度,否则会造成修复体低。临床上通常将薄塑胶条置于修复体与对牙合牙之间,嘱患者自然咬紧后如果可以将薄塑胶条比较容易拽出,说明调改过度(图3-122),可以通过牙合面加焊或加瓷恢复咬合或重新制作修复体。

2)侧方牙合早接触的调改:非工作侧早接触的检查,将薄塑胶条置于修复体和对抬牙之间,让患者咬紧,然后让患者将下颌滑向修复体对侧,并使对侧后牙成为工作侧的接触关系。在牙尖交错位时,薄塑胶条应该能被咬紧,而一旦下颌滑向对侧,修复体成为非工作侧,薄塑胶条则应很容易被拉出。如果这时薄塑胶条不易被拉出,则说明修复体处于非工作侧时有早接触。
用咬合纸检查早接触的位置。在调节非工作侧早接触时,出现在上颌舌尖颊斜面的早接触点,或出现在下颌颊尖舌斜面的早接触点应被消除(图3-123)。

工作侧早接触拾干扰的调改,将咬合纸置于修复体与对抬牙之间让患者自然咬合,然后将下颌向修复体同侧滑动至该侧后牙同名颊尖相对的位置,即使修复体处于功能侧接触状态,功能侧早接触应调改上颌舌尖的舌斜面和下颌舌尖的颊斜面(图3—124),应根据尖牙保护或组牙功能来决定上牙颊尖的舌斜面和下牙颊尖的颊斜面是否调磨。如果设计目的为尖牙保护,这些接触点应被磨除;如果设计目的为组牙功能,这些接触点则需保留,并调改至与尖牙之间的接触相一致的水平。
3)前伸拾早接触的调改:修复体在后牙时前伸拾早接触的调改,将薄塑胶条置于修复体和对牙合牙之间,嘱患者自然咬至后退位,然后让患者将下颌向前滑动至前牙切缘相对,这时接触薄塑胶条应很容易被拉出,如果在整个前伸过程中薄塑胶条一直很难拉出,则说明修复体存在前伸拾早接触。同样用咬合纸检查出早接触点并调改。修复体在上颌则调其牙尖的远中斜面,修复体在下颌则调其牙尖的近中斜面(图3—125)。

修复体在前牙时,正中拾时前牙应该不接触,下牙前伸时前牙应该有接触。修复体调改的标准是在正中拾时上下牙之间应有13um的间隙,置于上下牙之间的薄塑胶条用力可以被拉出。前伸拾时应该由2组牙或更多组的牙同时保持接触,防止对某一组牙造成牙合创伤。
(5)外形(contour):修复体的外形应符合生理要求及解剖特点,其形态、大小尽量与对侧同名牙一致,与邻牙协调。恢复正常的各外展隙和邻间隙,以有利于食物的排溢和龈乳头的健康。在接近龈缘处冠突度太大容易促使菌斑聚集,所以冠龈1/3的外形应与天然牙一样。根分叉以上的轴面区域应保持与根分叉外形一致的凹面以有利于牙刷得清洁。
(6)美观(esthetics):烤瓷冠戴人后,站在距患者1米左右处观察烤瓷冠的位置、形态、排列、色彩是否与邻牙及整个牙列协调一致。在粘固前,尽可能调改患者对外形不满意的地方,直到患者满意为止。瓷面色彩与邻牙不协调时可采用外染色的方法弥补;邻牙的特殊条纹和斑点必要时也可以采用外染色的方法在瓷面上模拟,以达到自然逼真的美观效果。
三、粘接、粘固前修复体外表面处理
口内试合前金属修复体己完成初步磨光处理,在粘固前应先将试合时调磨过的部位,如邻接、咬合和边缘等,依照初步抛光的顺序磨到与其余面一致后用湿砂布轮磨光,再用干抛光布轮加抛光剂高度抛光至镜面样。金合金用氧化铁抛光剂,其它金属用氧化铬抛光剂。注意抛光时冠必须就位在代型之上并避免损伤边缘。
烤瓷冠应将调磨过的部位磨平然后上釉,如果不磨平直接上釉,瓷面可能有调磨时留下的划痕。
四、粘接与粘固
粘接或粘固是用粘接剂或粘固剂将固定修复体固定在患牙上的过程。正确地选用粘接剂或粘固剂,准确地操作,对增进修复体的固位有着十分重要的作用。
1.理想的粘接剂及粘固剂的要求
(1)粘接力强。
(2)粘接剂、粘固剂自身强度高。
(3)不溶于唾液。
(4)对牙髓无刺激。
(5)粘接剂、粘固剂流动性强,易于在修复体与预备过的牙体表面之间形成薄膜。
(6)操作简便。
(7)修复体粘固后溢出的多余粘接剂、粘固剂容易去除。
(8)价格便宜。
2.粘接剂、粘固剂的选择与使用 粘接剂、粘固剂起到填补并封闭修复体与牙体表面间隙和增加修复体对牙体表面的粘固力的作用,因而增加了两者的结合强度。常用的粘接剂、粘固剂有以下几种:
(1)磷酸锌粘固剂(zinc phosphate cement):磷酸锌粘固剂是最早被使用的粘固剂,具有较高的抗压强度,是一种粘固力很强的粘固剂。粘固时的pH为3.5,由于这一酸性状态,磷酸锌粘固剂一般被认为对牙髓有刺激作用。活髓牙不宜使用。
(2)聚羧酸锌粘固剂(polycarboxylate cement):聚羧酸锌粘固剂抗张强度高,但抗压强度很低,是一种粘固力较高的粘固剂。它的pH为4.8,但由于其成分之一的聚丙烯酸(poly acryli,acid)分子是大分子,不能渗透到牙本质小管,所以对牙髓没有刺激作用。牙体预备量大、有牙髓过敏史者可以使用。
(3)玻璃离子粘固剂(glass ionomercement):玻璃离子粘固剂是一种氟化铝硅钙玻璃(calcium fiuoroaluminosi licateglass),粘固强度与聚羧酸锌粘固剂相当。它的优点是在结固过程中具有抑菌作用;在唾液中的溶解度低;可以释放出氟化物。修复体边缘易发生继发龋的患者应首选玻璃离子粘固剂。
(4)树脂水门汀粘接剂(resin luting cement):粘接强度比传统粘固剂高,不溶于水。根据固化条件可分为化学固化(或称自固化)、光固化,以及双重固化三种类型。可根据修复体的制作材料选用不同类型的粘接剂。
3.使用粘固剂进行修复体粘固的方法
(1)粘固前的基牙处理:用橡皮杯(rubbercup)、浮石粉(pumice)清洁患牙表面,这在一定程度上可以增加固位力,然后仔细冲洗干燥牙面。在修复体戴入和粘固过程中,患牙周围必须保持干燥,一般用棉卷和吸唾器就可以达到要求。对于唾液量大,患牙位于下颌者建议使用橡皮障隔湿。
(2)修复体组织面的处理:清洗修复体,用酒精去除污染物,组织面喷砂,外面可涂抹凡士林以防止粘固剂粘在修复体外不易去除。常规干燥。
(3)放粘固剂的方法:用小毛刷或调拌刀将粘固剂均匀涂布在冠的内壁,这样做比仅将粘固剂放人冠底部更有利于全冠彻底就位。必要时在基牙轴面预备溢出沟作为粘固剂溢出道(图3—126)。

(4)戴冠的方法:后牙冠戴人患牙后,让患者自然咬合,快速小幅度多次咬合后在患牙与对拾牙之间放置一块塑料垫(plastis wafer)或棉卷让患者用力咬紧(图3-127)。前牙冠就位后用手指垫着棉卷用力沿牙长轴按压直到材料结固,而不能让患者自然咬紧,因为对牙合牙的水平向分力容易使牙冠倾斜。用探针检查冠边缘,确认牙冠已彻底就位,若没有完全就位,在粘固剂尚未结固前迅速取下。若粘固剂已结固,则应将冠拆除重做。在粘固剂结固的过程中应始终保持冠周围的干燥,因为过早地接触水分容易导致粘固层溶解性增加。粘固剂变成橡胶状或结固后去除冠外多余的粘固剂。在材料有弹性或半结固状态去除冠外多余的粘固剂容易在冠边缘的粘固层中形成空腔。
(5)戴冠后处理:去除冠外多余的粘固剂必须在粘固剂彻底结固后进行,过早地去除冠外尚未结固的粘固剂容易导致冠边缘粘固不全。冠边缘的粘固剂应全部彻底地清除,邻面残留粘固剂可使用牙线或金属成形片去除,残留的粘固剂对牙龈健康非常不利。
采用不同粘固剂粘固时的注意事项:
(1)磷酸锌水门汀粘固剂:严格按产品介绍要求操作或调拌粘固剂,使其黏稠度适中。临床上常以调拌好的材料可以用调刀从玻板上拉出10mm而不中断为标准。粘固剂太稀粘固强度低,太稠将导致冠不能完全就位。
(2)聚羧酸锌水门汀粘固剂:按产品要求调拌材料,调拌好的材料呈蜂蜜状,显得比较黏稠,这是其正常状态。完成调拌后的可操作时间为3分钟。在粘固剂结固的过程中应始终保持冠周围的干燥。
(3)玻璃离子水门汀粘固剂:严格遵照产品使用说明建议的粉液比。尽可能地快速调拌,60秒完成调拌,完成调拌的材料呈奶油状。刚开始调拌时粘固料比较黏稠,这时候不能添加液体,因为当随着调拌时间延长更多的颗粒溶解后,黏稠度会适当减小。过于稀薄的玻璃离子粘固层容易产生微渗漏和水解。
用小毛刷或调拌刀将粘固剂均匀涂布在冠的内壁可以消除将粘固剂大量放人冠中所造成的较高的静压力,更有利于全冠彻底就位。
从开始调拌总共有3分钟的可操作时间。当溢出冠外的粘固剂变成面团状,在其表面涂抹凡士林防止失水和开裂。在粘固剂彻底结固之前,开始变得易碎的时候去除冠外多余的粘固剂。
4.使用粘接剂进行修复体粘接的方法 若使用粘接剂粘接修复体时,根据粘接剂的使用说明,可能需要对牙粘接表面再单独进行酸蚀处理,清洗酸蚀剂后应严格隔离唾液,以防污染而影响粘接效果。
修复体组织面的处理:清洗修复体,用酒精去除污染物,组织面喷砂,常规干燥。可使用粘接剂配套的贵金属处理剂或瓷处理剂对贵金属和瓷修复体的组织面进行处理。
放粘接剂的方法:对于调拌型的粘接剂按厂家规定的调拌方式调和后,用小毛刷或调拌刀将粘接剂均匀涂布在修复体的内壁,注意不要裹人气泡;对于有混合头的枪混型粘接剂,应将粘接剂挤入修复体底部并逐渐涂布于各轴壁,应始终让混合头尖端埋在挤出的粘接剂中以防混入气泡。
树脂粘接剂的选择:根据修复体制作材质的不同选用不同的树脂粘接剂。
(1)对于透光率高的硅基陶瓷全冠(如铸瓷冠、嵌体和贴面)可使用光固化树脂粘接剂,将粘接剂涂抹于冠的内壁,就位后对于冠边缘溢出的多余粘接剂,可使用光固化灯短暂照射以使粘接剂初步固化,使用手用洁治器去除多余的粘接剂,再使用光固化灯充分照射冠表面,使修复体内面的粘接剂固化。由于光固化树脂粘接剂有多种颜色选择,因此还可以利用树脂粘接剂的颜色进一步进行前牙的美学处理。为增加瓷修复体的粘接力,还可使用氢氟酸对瓷修复体的内表面进行酸蚀处理,再涂布硅烷偶联剂以增加树脂粘接剂与瓷表面的粘接力。
(2)对于烤瓷、金属、氧化物复层陶瓷等不透光材料的修复体,应使用有化学固化功能的树脂粘接剂。根据产品要求进行基牙表面和修复体粘接面的处理,有些粘接剂提供专门针对金合金或氧化锆材料的表面处理剂以增加树脂粘接剂与这些材料的粘接力。调拌粘接剂后将其涂抹于冠的内壁,就位后等待粘接剂初步固化后去除冠边缘溢出的多余粘接剂。此步骤最好在粘接剂完全凝固前完成,否则会很难去除冠边缘多余的粘接剂。但是也不能过早去除粘接剂,当粘接材料刚变成橡皮状时,不能去除修复体边缘的粘接剂,以免将粘接剂从修复体边缘之下拽出而产生空腔。
(3)由于双固化型粘接剂中既有化学固化引发剂又有光固化引发剂,因此兼具光固化和化学固化的优势,可以粘固大多数修复体。操作时按各粘接剂使用要求对基牙及修复体粘接面进行处理后,调和粘接剂涂布于修复体的内壁,就位后用光固灯快速初步固化冠边缘溢出的多余粘接剂,令其初步固化,使用手用洁治器去除多余粘接剂。在光固化的同时引发了化学固化体系,管内粘接剂将在较短的时间内完成化学自固化过程。
(4)还应强调的是,不同类型的树脂粘接剂有不同的调拌要求,使用前要认真阅读说明书。有些粘接剂不含酸蚀成分,需要对基牙表面进行酸蚀处理和(或)粘接处理剂(primer)处理。由于基牙牙体预备深度多达到牙本质层,因此对基牙牙体表面处理应按照牙本质粘接的原则,尤其是进行全酸蚀处理时,酸蚀时间应不超过20秒,并使用湿粘接技术,而不应过度吹干牙表面。
如果修复体没有就位而粘接剂已固化,应拆除修复体重新制作。重新制作时,粘接过的牙表面必须做适量的磨除,以消除伸人牙本质小管的树脂突起,否则会影响再次粘接时的固位力。
其它处理修复体和基牙粘接面的方法还包括:用50umm的氧化铝在80psi的压力下给金属冠内面喷砂,清洗,高压干气吹干。用橡皮杯、浮石粉清洁患牙表面,这在一定程度上可以增加固位力。
五、粘接、粘固后处理
粘固后重新检查咬合接触情况。粘固前调改时由于冠有一定的活动度,可能造成一定的误差,所以在粘固后应再次检查患者的咬合接触情况。询问患者戴修复体后的主观感受,如果在正中咬拾时患者有异样的感觉,前伸拾时在某个点有受阻挡的感觉,说明在正中拾、前伸拾修复体有早接触,用咬合纸检查早接触、进行调磨。
如果粘固后发现修复体没有完全就位,咬合过高,这可能是粘固剂过稠,冠就位太晚及患者未用力咬合造成的,应拆除重做。
使用牙线检查修复体与邻牙的接触关系,以及邻面是否残留粘固剂或粘接剂,若残留有粘固剂、粘接剂应仔细去除,否则会损伤牙支持组织。
边缘抛光:用橡皮杯和浮石粉对修复体边缘做最后的抛光处理。
修复体粘固完成后应教会患者正确使用牙线清洁冠的近远中面,并定期接受口腔卫生检查和清洁治疗。
