年仅28岁的阿强,颈部疼痛及头痛多年,最痛的位置在枕骨下方的两侧处,症状严重时会扩散至后脑杓和眼窝处,他曾经接受过许多治疗,包括药物、针灸、按摩推拿,疗效不佳。经过问诊后,没有外伤或其它先天病史,但是长期使用电脑、手机,且姿势不佳,造成后颈部筋膜紧绷。
透过X光和核磁共振检查后,没有颈椎退化或椎间盘疾患的问题,也没有手指麻痛、上肢无力的症状。触诊发现,在两侧的枕神经分支处有明显疼痛,且与颈部使用过多导致症状加剧有关。
枕神经疼痛的原因和症狀
鉴别头部或颈椎来源的疼痛,必须排除常见疾病(例如偏头痛、丛发性头痛、颈椎椎间盘突出、颈椎关节不稳定)后,才会诊断为“枕神经疼痛”。
颈因性头痛是因中高位颈椎神经被刺激而蔓延到头部,“枕神经疼痛”是其中一种情况,可能的原因有颈部外伤、颈挥鞭样损伤症候群(Whiplash injury syndrome)、颈小关节退化、血管炎、肿瘤。

(枕神经疼痛自颈部蔓延头部,以及头下斜肌、头直肌、头上斜肌等3条肌肉形成的枕下三角)

(图中指标的位置即枕神经,深层路径夹在头下斜肌和头半棘肌之间)
颈挥鞭样损伤症候群大多是因为车祸、紧急煞车或是车后被追撞,颈部犹如挥动鞭子般急速伸展及弯曲,假如有此病史,必须排除颈椎不稳定或神经受损的症状。
“枕神经疼痛”最常见的原因是颈部肌肉紧绷,以及过度仰头或低头,尤其现今使用电子产品众多的年轻族群,肩颈筋膜紧绷的发生率日益增多。
临床上常发生在双侧的疼痛,延伸到头部,严重时眼窝处也有痠痛感。要注意的是,眼外肌跟颈部肌肉及头下肌群有连动关係,意指控制眼睛活动的肌肉跟移动颈部的肌肉,由脑部做共同协调的动作,所以用眼过度会加剧颈部紧绷的情况。
枕神经疼痛的治療
可先考虑保守治疗,如电热疗、颈部牵引、徒手治疗、局部注射类固醇等,都有助缓解症状。居家自我按摩放鬆上颈椎肌肉(见下图),或用温毛巾敷在双眼、闭合约10分钟,可以增加效果。

(平躺,双手掌扶著头且面朝脚的方向,向两侧旋转,使颈椎第1、第2节之间的活动度增加)

(卧躺使肩颈肌肉放鬆,双掌抱著头两侧,用大拇指按压上颈椎两侧的肌肉)
注:在坐立姿势下按压也可以,不过直立姿势会使颈椎和头部肌肉(上斜方肌、头半棘肌、头夹肌)呈现出力的状态,难按摩到深层的头下斜肌及其筋膜,所以躺下让颈椎肌肉放鬆,效果会比较好。
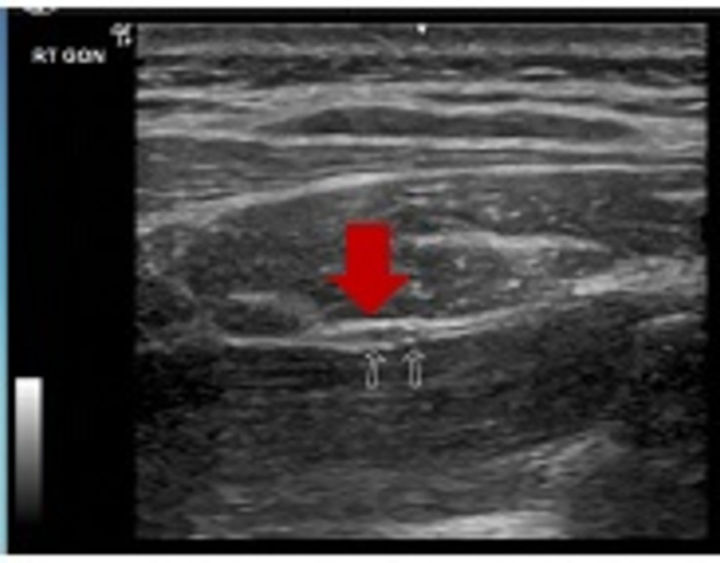
如果和此病人一样,曾尝试保守治疗,但效果不佳,且疼痛点是两侧“枕神经”路径上易产生压迫或沾黏的位置,近年来国外医疗发展的“超音波引导神经解套注射治疗(Nerve Hydrodissection) ”是不错的选项;不过须格外注意,若病人有外伤病史、伴随神经肌肉萎缩或保守治疗无效,可能为颈部脊髓压迫或是颈椎不稳定的情况,须转介神经外科医师评估其它可能性,或採取其它治疗。

(超音波引导神经解套注射治疗,增加治疗效果及准确性)
一般来说,在病人同意下,进行枕神经周边注射治疗,相隔2周,经2次疗程,病人反应有5成的疼痛改善,发生头痛及颈痛的频率减少许多。为了避免复发,会对其进行卫教,包括放松肩颈的伸展动作,并减少使用电子产品的时间。
颈部疼痛的成因须经多方面考虑,建议及早就医,由专业医师诊察,对症寻求解决的方法 。