腰椎滑脱是一种比较常见的疾病,是指其中一节段椎体与下方椎体向前滑动或脱离。

脊椎滑脱有5种类型包括: 发育不良,峡部裂,退行性病变,创伤性病变和病理性病变 。其中退行性腰椎滑脱是最常见的类型,好发于20~50岁的成年人群,常见于L4~L5脊椎段,占总发病人群的60%以上。在退行性脊椎滑脱症中,椎体的前滑是由于正常老化过程中发生的脊柱退行性变化引起的。
退行性腰椎滑脱可能伴有椎管狭窄,椎管狭窄会引起神经根性疼痛(疼痛沿腿向下蔓延)。
退行性腰椎滑脱的原因
退行性腰椎滑脱可以由随着年龄增长而出现的一般磨损和撕裂引起,例如腰椎间盘高度的降低,从而导致脊柱变得不稳定。
- 退行性腰椎滑脱与中老年人(40岁以上)密切相关,
- 重力和姿势性肌肉会使腰椎滑脱改善或变得更糟。
- 体重的增加增加了退行性腰椎滑脱的风险,因为肥胖增加了腰椎的负荷。
- 关节突关节的定位及其缺乏支撑。
- 腰椎椎间盘的倾斜。
- 关节松弛。
- 肌肉不稳定或肌肉因为其他原因无法保持稳定。
- 较低的髂前上棘间线(连接两侧髋骨最高点之间的连线,女性通常穿过L5)
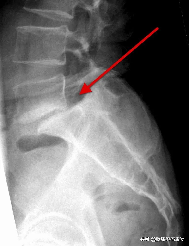
这张图片显示了腰椎是如何随着时间的推移而退化的:

腰椎滑脱的症状
发生腰椎滑脱后,患者可以没有任何症状,仅仅在是拍片时发现。也可能会出现以下症状:
- 背部伸展可能会引起腰痛,由于神经根受到压迫,背部的伸展可能引起神经根性疼痛(一种尖锐的、沿腿部向下的疼痛)
- 神经源性跛行也与椎管狭窄有关。
- 腿部疼痛、麻木或无力
- 腰部凹陷、腹部前凸
- 腿部肌肉紧张
- 躯干缩短
- 背部肌肉痉挛
腰椎滑脱的鉴别和治疗
退行性椎体滑脱患者不会出现椎间隙骨折。这种腰椎峡部缺损常见于其他类型的脊椎滑脱,这有助于将这种类型与其他4种类型区分开来。
MRI/CT扫描可发现脊椎滑脱

根据滑脱的程度,可采取保守或手术治疗。应该先尝试保守治疗。
治疗可以包括休息、减轻疼痛、佩戴支具、核心肌肉强化和拉伸—— 尤其是对于I级和II患者 。如果正规的保守治疗后症状无明显缓解,应当考虑手术治疗。
除了下面提到的练习之外,还要避免需要弯曲、抬起或扭曲腰部的活动,如提重物、弯腰等,因为这会增加疼痛。 但是要注意向后弯曲或过度拉伸腰椎可能会引起疼痛或引发症状,应该避免。
缓解腰椎滑脱的运动
在开始下面的任何练习之前,一定要缓和你的疼痛症状
练习1:腹式呼吸法
- 首先仰卧,双脚平放在地板上
- 当你吸气时,腹部肌肉收缩,肚脐向下向地板靠拢
- 在保持1-3秒,然后呼气,让你的下背部离开地面
- 再重复动作中的呼吸动作
- 目标重复10次

练习2:腘绳肌拉伸
- 用绳子或毛巾钩住你的脚。
- 平躺在地板上,将绑带的腿(膝盖先弯曲)拉向胸部,形成90度角,另一条腿伸伸直。
- 慢慢地将绑带腿伸直,同时用手握住绑带。
- 慢慢应该感到你的大腿后部伸展了一下。
- 保持20-30秒,重复3次
- 小贴士:如果你没有毛巾或皮带,你可以把你的手勾在你的膝盖上,然后把你的腿向后拉向你的头部。

练习3:膝盖对胸运动
- 躺在垫子上,膝盖弯曲,脚平放在地板上。
- 双手抱住膝盖,使膝盖靠近胸部。
- 保持这个姿势15到20秒。
- 然后放松,慢慢地把腿放低到起始位置。
- 这个伸展动作重复3次。

练习4:死虫式
- 仰卧,双臂向天花板伸展。
- 把你的臀部、膝盖和脚抬高到90度(脚离地)。
- 呼气,把你的胸腔往下压,把背放平,支撑住你的核心。
- 然后同时伸展你的左腿和右臂-保持1-3秒的伸展姿势。
- 保持你的腹部和臀肌绷紧,将左腿和右臂恢复到起始位置。
- 另一侧重复同样的动作(右腿和左臂)
- 两边交替做10次。

练习5:游泳
休闲游泳,在肩膀以上的水中站立或行走是一种低冲击的活动,水的浮力可以帮助支撑身体的重量,减少腰椎上的压力(在水中拉伸脊柱),这可以减少疼痛。

注意
如果以上活动加剧了疼痛,应当立即停止。
[1] Gagnet P, Kern K, Andrews K, et al. Spondylolysis and spondylolisthesis: A review of the literature. J Orthop. 2018;15(2): 404-407 doi: 10.1016/j.jor.2018.03.008
[2] Kalichman L, Kim D, Li L, et al. Spondylolysis and spondylolisthesis: prevalence and association with low back pain in the adult community-based population. Spine (Phila Pa 1976). 2009;34(2):199–205. doi: 10.1097/BRS.0b013e31818edcfd
[3] Evans N and McCarthy M. Management of symptomatic degenerative low-grade lumbar spondylolisthesis. EFORT Open Rev. 2018;3(12) 620-631. doi: 10.1302/2058-5241.3.180020