原创 秦秀森 中山六院结直肠外科三区
肠梗阻的病因、诊断和治疗
长时间拉不出大便,除了便秘外,一旦出现腹痛、腹胀、肛门停止排气排便和(或)伴有呕吐等症状时,还要警惕肠梗阻的可能,需要及时到医院就诊。“肠梗阻”,顾名思义,是指任何原因引起的肠内容物不能正常运行、顺利通过肠道。
一、肠梗阻的病因
肠梗阻有很多的病因,其分类方法也多种多样。按基本原因分:机械性、动力性、血运性、假性肠梗阻;按肠壁有无血运障碍分:单纯性和绞窄性;按梗阻程度分:完全性、不完全性;按梗阻部位分:高位和低位;按发病缓急分:急性、慢性肠梗阻。其中最常见的原因是机械性肠梗阻,可由结肠和小肠部位的肿瘤、手术后肠粘连、炎症性肠病、放射性肠炎、腹壁疝和腹内疝、肠扭转及肠套叠等引起。

肠壁肿瘤引起的肠梗阻

术后肠粘连引起的肠梗阻
二、肠梗阻的诊断
根据腹痛、腹胀、呕吐、肛门停止排气排便等基本症状可对是否有肠梗阻做出初步诊断,影像学的检查对肠梗阻的诊断具有重要价值。
1、 诊断思路
(1)是否有肠梗阻:腹痛、呕吐、腹胀、肛门停止排气、排便+肠鸣音变化+X线检查证据。
(2)是机械性还是动力性:机械性肠梗阻:多须手术,阵发性腹痛伴肠鸣亢进;麻痹性肠梗阻:常不必手术,持续性胀痛伴肠鸣消失、有原发病因。
(3)是单纯还是绞窄性肠梗阻: 绞窄性肠梗阻常需急诊手术,表现为:1.腹痛剧烈,持续性腹痛阵发加剧;2.早期出现休克,抗休克无效;3.腹膜刺激征明显;4.呕吐、肛门排出血性液体,胃肠减压或腹穿抽出血性液体;5.腹胀不对称,腹部可触及压痛的肠袢。
(4)是高位还是低位:高位小肠梗阻呕吐早而频繁;低位小肠梗阻呕吐晚,一次呕吐量大,常有粪臭味,腹胀明显;结肠梗阻为闭袢性,需尽早手术。
(5)是完全性还是不完全性肠梗阻。
(6)梗阻的原因:新生儿肠梗阻多为先天性肠道畸形;2岁以下幼儿条索状团块多为肠套叠;青年人剧烈运动后肠梗阻多为小肠扭转;老年人单纯性梗阻结肠癌或粪块多见,应详细检查疝的好发部位,看有无嵌顿性疝;粘连性肠梗阻:有手术、外伤或腹腔感染史:有心脏病史:肠系膜血管栓塞。
2、影像学检查
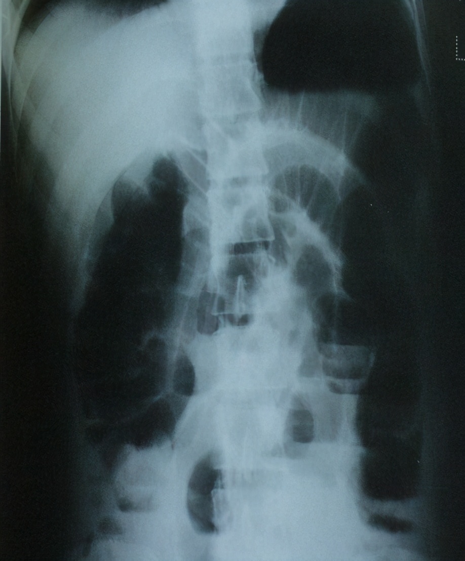
(1)立位或卧位腹平片: 肠梗阻4-6小时后即可检出肠袢胀气,表现为多个阶梯状气液平面;空肠粘膜的环状皱壁呈“鱼骨刺”样;绞窄性肠梗阻可见孤立、突出、胀大肠袢。 注意:X线阴性不能排除肠梗阻。怀疑肠套叠,肠扭转或结直肠癌时作钡灌肠。
(2)腹部CT检查: 对肠梗阻诊断具有较高的敏感性和特异性外,其对梗阻原因和是否存在肠绞窄的判断的准确性可达到80%以上。肠梗阻的CT征象主要包括肠管扩张,肠管直径的突然变化,肠壁增厚,肠系膜血管走行的改变和弥漫性的充血,以及肠腔外的异常改变,如大量腹水等。

阶梯状液气平面

空肠梗阻“鱼骨刺”样改变
三、肠梗阻的治疗
基本治疗原则:胃肠减压,纠正水电解质紊乱和酸碱失衡、抗感染及肠外营养等,根据梗阻原因明确是否需要手术治疗。
与治疗相关的问题
Q1、什么时候放肠梗阻导管?
1. 经鼻型肠梗阻导管:适用于粘连性肠梗阻(特别是术后早期的肠梗阻 ) 、右侧结肠癌梗阻(盲肠-横结肠)、需手术的粘连性肠梗阻术前术中的肠管减压、小肠造影检查等。
2、经肛型肠梗阻导管:适用于左侧大肠癌梗阻(降结肠-直肠)。

经鼻型肠梗阻导管

经鼻型肠梗阻导管
Q2、结直肠癌患者什么时候放肠道支架?放多久?
内镜下或介入引导行肠道支架置入能很好地解除肠梗阻症状,可作为过度治疗或者姑息治疗, 其中急诊内镜下支架置入可作为术前过渡治疗, 可以将急诊手术转为择期手术, 二期手术转为一期手术, 减轻临床医生的手术难度和风险、降低术后等并发症发生率, 减轻患者痛苦, 提高了患者生存质量。
然而,最近的研究表明,在急性结直肠癌梗阻患者中使用支架导致局部复发率升高或生存结局较差。在临床实践中,支架置入术后一周左右安排肿瘤切除手术,但仍有部分患者在短时间内无造口情况下不能很好地恢复或获得一期吻合。所以肠道支架该放多久具体视患者病情而定。
中山六院外五科的经验
在支架置入术和择期手术之间的较长时间间隔内增加术前化疗,可以降低肿瘤扩散的风险,改善患者的总体状况。我科通过对患者进行回顾性分析得出结论:两个周期mFOLFOX6术前化疗及支架置入术后选择性手术是治疗急性结直肠癌梗阻患者安全可行的策略,相关结果已发表在《World Journal of Gastrointestinal Oncology》。
参考文献
[1] Gorissen K J, Tuynman J B, Fryer E, et al. Local recurrence after stenting for obstructing left-sided colonic cancer[J]. Br J Surg,2013,100(13):1805-1809.
[2] Sabbagh C, Browet F, Diouf M, et al. Is Stenting as “a Bridge to Surgery” an Oncologically Safe Strategy for the Management of Acute, Left-Sided, Malignant, Colonic Obstruction? A Comparative Study With a Propensity Score Analysis[J]. Annals of Surgery,2013,258(1):107-115.
[3] Liu J, Ma T, Qin Q, et al. Stent placement followed by preoperative chemotherapy and elective surgery for acute malignant colorectal obstruction: Six cases of report[J]. World Journal of Gastrointestinal Oncology,2019,11(3):264-269.
审稿:马腾辉 医师
审核:袁紫旭 医师
本文指导:王辉 教授
编辑:关琪
专家介绍

王辉 医学博士主任医师博士研究生导师中山大学附属第六医院
专家介绍:现任中山大学附属第六医院结直肠外科主任医师,2008年密歇根大学外科及克利夫兰结直肠外科访问学者,2009年获得中山大学外科学博士学位,兼任中国医师协会肛肠医师分会造口专业委员会委员、外科医师分会肛肠外科医师委员会委员、中国医师协会外科医师分会肿瘤外科医师委员会委员、广东省保健协会肠道保健分会主任委员,广东省医师协会疝和腹壁外科医师分会委员等。
长期从事结直肠肿瘤及生物材料的临床与基础研究,曾获国家科学技术进步二等奖1项,省市级科技成果奖3项,申请实用新型专利17项,发明专利5项,授权PCT专利1项,并承担省市科研课题10余项,在国内外期刊发表论文30余篇,参与《周围血管外科学》等学术专著出版。
出诊时间:
专科门诊:周一上午
专家门诊:周三上午