熊猫放射出品
导读
消化道包括食管、胃、小肠及大肠,均由软组织构成,缺乏自然对比,故普通X线检查效果不佳。造影检查能够显示消化道病变的形态及功能改变,同时也可反映消化道外某些病变的范围与性质,临床应用广泛。常用于诊断各种消化道疾病,如先天畸形、炎症、肿瘤等。以下为小编总结的消化道造影解剖图。
一、下咽部(前后位)

图1 下咽部造影(前后位)

图2 下咽部解剖(前后位)示意图。1 咽腔,2 舌会厌外侧襞,3 会厌谷,4 会厌,5 梨状隐窝,6 食管
二、下咽部(侧位)

图3 下咽部造影(侧位)

图4 下咽部解剖(侧位)示意图。1 悬雍垂,2 颈椎,3 舌,4 口咽,5 下颌骨,6 会厌谷,7 喉咽,8 舌骨,9 梨状隐窝,10 喉室,11 食管,12 气管
三、食管

图5 食管造影

图6 食管解剖图示。1 悬雍垂,2 舌会厌外侧襞,3 会厌,4 梨状隐窝,5 食管上括约肌,6 食管体部,7 主动脉弓,8 支气管及主动脉段,A 气管旁段,B 主动脉段,C 支气管段,D 支气管间段,E 心后段,F 膈上段
四、食管和胃

图7 食管和胃造影

图8 食管和胃解剖示意图。1 食管远段,2 胃食管角,3 食管腹段,4 食管裂孔,5 贲门
五、胃

图9 胃造影

图10 胃解剖示意图。1 底,2 腹段食管,3 贲门,4 小弯,5 十二指肠,6 十二指肠球部,7 胃皱襞(后壁),8 幽门,9 胃体,10 角切迹,11 大弯,12 幽门管,12+13 胃窦
六、胃和十二指肠

图11 胃和十二指肠造影

图12 胃和十二指肠解剖示意图。1 十二指肠球部,2 幽门,3 幽门管(窦),4 十二指肠降段,5 十二指肠乳头
七、胃和小肠

图13 胃和小肠造影

图14 胃和小肠解剖示意图。1 十二指肠球部,2 幽门窦,3 十二指肠空肠曲,4 结肠,5 胃体,6 十二指肠降段,7 十二指肠升段,8 十二指肠水平段,9 空肠,10 回肠
八、小肠

图15 小肠造影

图16 小肠解剖示意图。1 空肠,2 回肠和空肠的连接部,3 回肠,4 盲肠,5 阑尾
九、回盲部(点片)

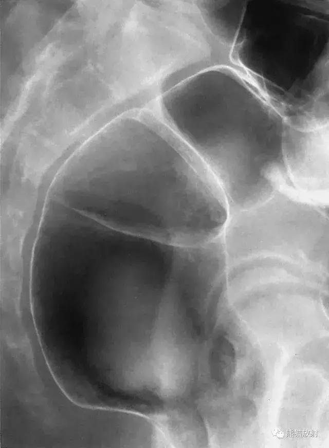
图17 回盲部(点片)

图18 回盲部解剖示意图。1 结肠袋,2 升结肠,3 回肠,4 回盲瓣,5 末端回肠,6 盲肠
十、结肠

图19 结肠造影

图20 1 结肠脾曲,2 结肠肝曲,3 升结肠,4 横结肠,5 降结肠,6 结肠袋,7 回盲瓣,8 盲肠,9 乙状结肠,10 阑尾,11 直肠
十一、直肠

图21 直肠造影

图22 直肠解剖示意图。1 直肠乙状结肠连接部,2 骶骨,3 直肠后间隙,4 直肠横襞,5 股骨头,6 直肠壶腹部,7 尾骨,8 肛门直肠交界处

图23 食管X线像

图24 胃X线像

图25小肠X线像(前后位)

图26 大肠X线像(前后位)
来源:熊猫影像
【版权声明】本平台属公益学习平台,转载系出于传递更多学习信息之目的,且已标明作者和出处,如不希望被传播的老师可与我们联系删除