大便从阴道里排出来
这种让人既“尴尬”又难受的事儿
就发生在小静(化名)的身上
原来她有 先天性的直肠阴道瘘
这严重影响着她的生活质量

几年前
小静决定通过手术解决这个问题
但是术后几年她的病情又出现了反复
这次因为下腹部疼痛长达6个小时
她来到郑州人民医院普外二病区就诊
不查不知道
一查吓一跳
小静面临的肠道问题还真是不少

据小静描述
除了腹痛、腹胀外
她还有顽固性便秘
排便对于她来说可谓是相当困难
经过一系列检查后发现

△直肠远端前壁→阴道内可见造影剂显示
小静不仅 直肠阴道瘘复发 了
还存在 巨结肠和乙状结肠冗长症
除此之外
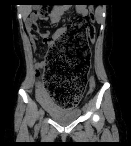
她的骶尾部还有个苹果大小的 囊性占位

△小静的整个腹腔充满了便便

△骶尾部囊性占位
各种因素综合在一起
想要手术解决小静的难题
就需要相当有经验的专家为她手术
小静坦言
其实自己 之前也到其他医院咨询过
但是都因手术复杂而遭婉拒

普外二病区陈涛主任表示
小静的这种情况确实很棘手
通过手术既要解决她的顽固性便秘
还要解决她的直肠阴道瘘
及巨结肠和乙状结肠冗长症
同时 还要把她骶尾部的囊性占位“清除”!

小静担忧的问道:“这手术能做不?”
别担心!
郑州人民医院与上海交通大学医学院附属第九人民医院合作,加入其普通外科专科联盟,专家资源共享,可以让咱们中原百姓足不出户就能享受顶尖的普通外科医疗技术!

经过严密的术前讨论及安排后, 普外二病区陈涛主任、张春礼副主任医师团队与上海交通大学医学院附属第九人民医院普通外科主任李幼生教授及我院妇科团队共同为小静实施手术!

由于骶尾部骶前血管一旦破裂很难止血
所以在切除骶尾部囊性肿瘤时
需要丰富的经验技术
术中专家团队 成功剥离肿瘤
并采用改良式Duhamel技术
既能解决小静的顽固型便秘问题
还能解决她的直肠及肛管狭窄的问题

改良式Duhamel术的特点在于切除了扩张的结肠,保留了无神经节细胞的直肠,术后重建的肠道具有蠕动功能,新建直肠具有排便反射功能,不仅消除了临床症状,更 使患者能自主排便而达到根治的目的。

术中切除部分巨结肠及乙状结肠
在肠管吻合时采用端侧吻合
可以扩大吻合口
这 也有助于帮助患者解决排便难题

普外二病区陈涛主任介绍:为了保证术后吻合口及直肠阴道瘘修补处能够在洁净的环境下愈合,术中为小静做了一个 临时造瘘口 ,待伤口痊愈后再进行还纳。
手术结束后,小静感激的说:“谢谢咱们医院的专家团队,让我这个既尴尬又受罪的问题终于解决了。”
与上海第九人民医院集团普通外科专科联盟合作, 全面提升了郑州人民医院普通外科诊疗水平,专家资源共享,满足了不同层次患者的就医需求, 造福更多普通外科患者!

专家介绍

陈涛
郑州人民医院普外二病区副主任
主任医师
现担任中国医师学会肠瘘专业委员会委员,全国研究型医院学会肠外肠内营养专业委员会委员,河南省内分泌外科专业委员会副主任委员,河南省医学会肠内肠外营养专业委员会常务委员,河南省医学会小儿外科专业委员会委员,郑州市学术技术带头人。
擅长胃肠外科、各类小儿外科疑难手术、肠瘘(复杂性肠瘘、肠梗阻、炎性肠病、胃肠间质瘤等)、糖尿病外科治疗、甲状腺及周围血管外科等各类普外科手术。
坐诊时间:每周一、周三全天

张春礼
郑州人民医院普外二病区
副主任医师
医学硕士
主要从事普通外科科普和临床,尤其是胃肠外科和肠瘘诊治,擅长腹腔镜胃癌、结直肠癌手术,腹腔镜代谢减重手术、腹腔镜腹膜前腹股沟疝补片修补术等。
兼中国医师协会肛肠医师分会中西医结合学组委员,中国研究型医院学会肿瘤外科委员会委员,中国研究型医院学会腹膜后及盆底疾病专委会委员,中国研究型医院学会甲状腺疾病委员会围手术学组委员,河南省抗癌协会腹膜后肿瘤专委会委员,主持河南省医学重大科技攻关项目1项。先后在《中华普通外科杂志》、《中华肝胆外科杂志》发表论文5篇,SCI论文1篇,主编专著2部。
坐诊时间:每周二、周五全天
(毕佳佳 余华)