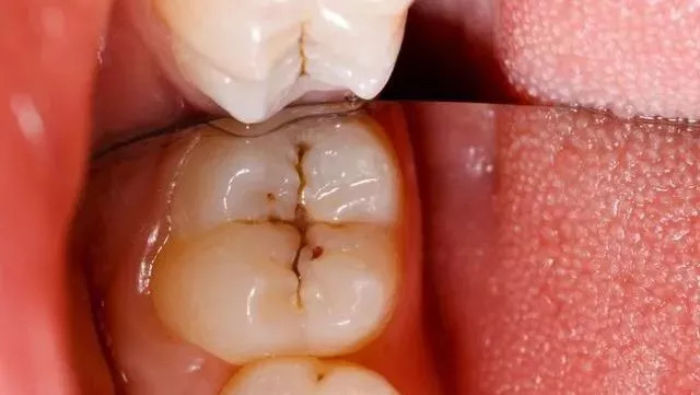
我们经常能看到牙齿表面上有一条一条的黑线,但很多人认为这是没有清洁干净牙齿,想说刷牙的时候多往那里刷刷,经常刷牙,真不行就去洗个牙呗。可真的就这么简单吗?当后牙已经出现黑线时,无论刷牙还是洗牙治标不治本,没有效果。

我们常说的后牙,学名第一磨牙和第二磨牙,是磨碎食物的主要牙齿,也是最坚硬,最大的牙齿。首先我们需要了解后牙窝沟点隙的结构,即发育沟。后牙的表面即咬合面,一般会有四个隆起角,由牙胚发育而成。四个隆起部位之间形成沟壑点隙。这些沟壑的形态不同,而这些沟壑最容易附着堆积污垢细菌,形成窝沟龋,窝沟龋形态千变万化,每个人的样子都不同,但大致都会有明显的黑线模样。

窝沟的形态与龋坏的进展速度是密切相关的。窝沟是不易清洁的,在窝沟发生龋坏时,损害是从窝沟侧面开始(釉柱和密度决定),最后扩展到窝沟底部,当窝沟龋进一步发展,达到牙本质层时,龋坏速度就会加快。直到腐蚀到牙髓,疼痛就开始了。
牙齿出现黑线预示着什么?一旦牙齿沟出现黑线,很不幸,说明你已经蛀牙了!不要单纯的以为那只是色素累积,早期蛀牙是没有龋洞的,平时饭后没有注意漱口,容易造成食物残渣堆积,给口腔细菌提供了营养,在唾液环境下,导致牙齿表面(牙釉质)被破坏。

有人会觉得,过了这么久,黑线只是变粗了,又不会牙痛,如果你认为现在没事,一直拖到1~2年,你想一下,口腔细菌腐蚀根本停不下来,很多人反映出现黑黑的牙洞时,牙本质被破坏,龋洞还会变大。
早期的后牙有蛀牙是没有明显的龋洞,大多在咬合面有黑色的勾线,很多患者都以为那是色素沉着,洗牙时总是要求尽力把那洗去,殊不知那其实已经是龋坏。

其发展主要有三个阶段:
1、蛀牙基本形成,沟壑内附着细菌,牙齿表面黑线形成。
2、蛀牙侵蚀到牙本质内部,吃东西遇到冷热酸甜会感到不适,也由原来的黑线发展成较大的蛀洞。
3、蛀牙继续向下发展侵犯到牙髓,这时候就出现明显的疼痛,龋洞更大,继续发展下去,整个牙齿就烂掉了。

与其等到病情严重了再费时费力的治疗,还不如趁早预防,防患于未然。那么,具体应该如何预防呢?
1、刷牙的方法要正确
网上查阅正确的刷牙视频,每次刷牙至少不低于3分钟,要彻底,不能给细菌任何积累的空间。
2、牙齿畸形严重应矫正下牙齿
有些牙齿过于拥挤,导致牙齿排列的角度出现较大的畸形,这会给刷牙带来极大的难度,很多细菌根本无法及时靠刷牙清理干净,久而久之会形成恶臭,且出现大量的牙结石、龋齿等,对牙齿的健康有极大的威胁。
3、做窝沟封闭
不仅是儿童,成年人一样可以做窝沟封闭,这样能有效地防止细菌在窝沟中积累,从而对窝沟龋能起到良好的预防作用。这是目前公认最有效且持久的预防方式。

当发现牙齿上出现黑线时,一定要引起重视,早做防治,不要等病情严重了再费时费力去治疗