小腿皮肤肿痛,破溃流水结痂后形成一个个“月牙白”样疤痕#健康科普大赛##非常病例##健康明星计划#@快问中医@*今条头日**
【真实案例】
小腿皮肤先出现红肿疼痛,再起水泡,水泡破溃后结痂,结痂后遗留“月牙白”样瘢痕,也有些难以结痂,一直以黑印子存在,压痛明显,如此反反复复,直至双小腿下段发黑、密集“月牙白”样瘢痕。
提问:这是哪种皮肤病?
诊断真相:白色萎缩

白色萎缩
皮肤科普时刻
白色萎缩又叫节段性透明性血管炎,是一种小血管疾病
可引起慢性反复性小腿疼痛性的小溃疡
愈合后遗留象牙白色萎缩斑,周围有色素沉着(即黑印子)
中年女性容易得这个病,常反复发作,多数病例夏重冬轻,一般不伴有内脏疾病。
如何治疗?
①患者应尽量避免局部擦伤、碰伤、抠破损伤,应避免接触过敏源而过敏,尽量穿合适的鞋袜,避免刺激患处皮肤。
②尽量避免疲劳、长时站立和行走,可偶尔抬高患肢改善肢体远端血液回流。
③采用局部注射药物,例如:局麻药、糖皮质激素类药物,可有效缓解疼痛。
④因白色萎缩病理变化是微血管堵塞,引起局部缺血性坏死,因此可口服抗血小板聚集、扩血管类药物,改善微血管循环、预防血栓栓塞。

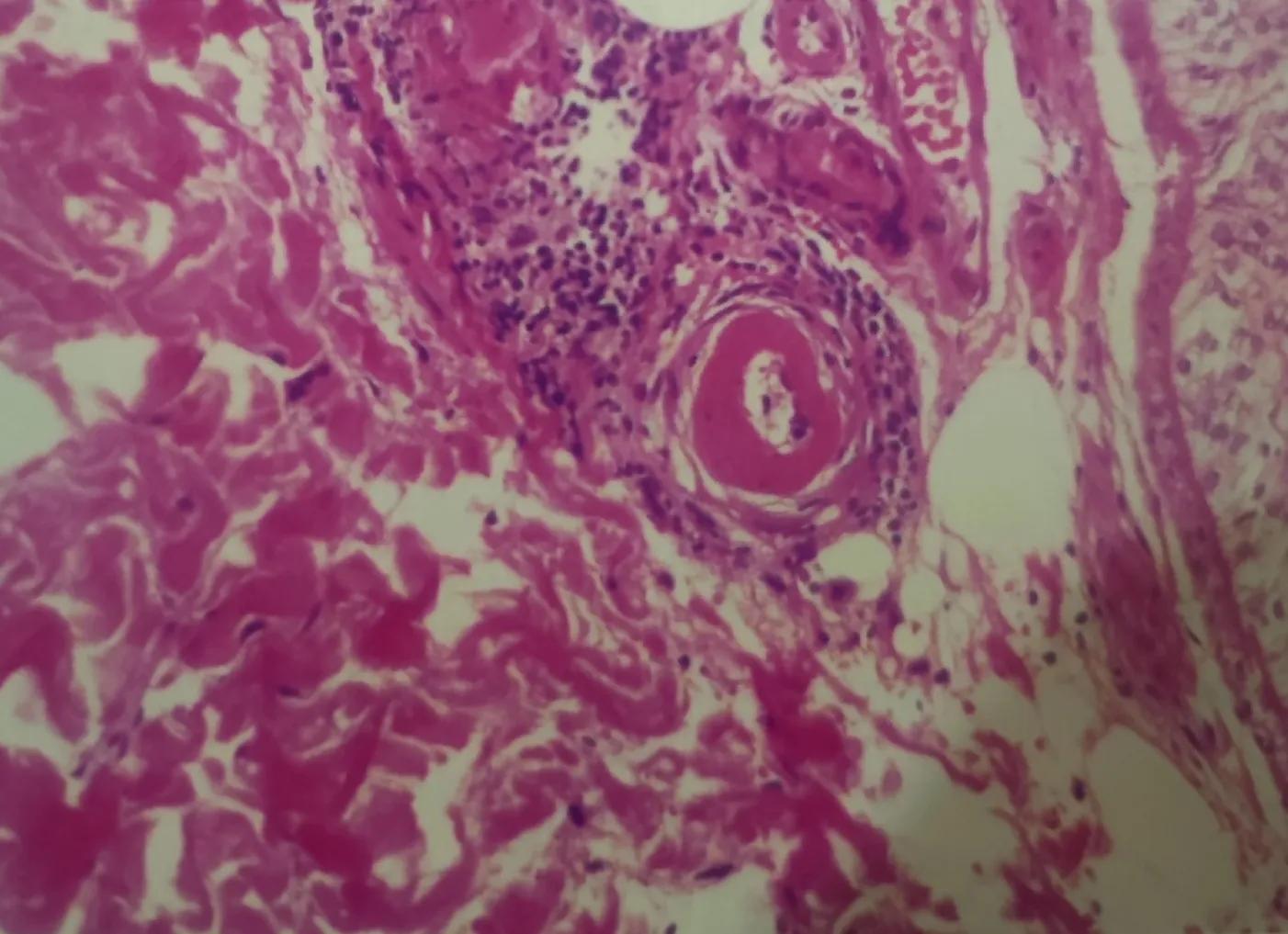
白色萎缩皮肤活检图片
最后提示
皮肤出现“月牙白”状瘢痕,伴有皮肤肿痛,并且有很多黑黑的印子,大家要注意,你很可能得了白色萎缩这种皮肤病,建议得了这种皮肤病不要在家里随意处置,以免病情加重,最好去皮肤专科医院,让皮肤转科医生帮你诊断并治疗!

白色萎缩
我是@欧阳医生说皮肤有什么皮肤问题,欢迎评论区留言,我有空会一一回复大家,感谢您的关注和阅读