这是过医生关于肝囊肿疾病专题的第二篇,我们上次已经详细介绍了肝囊肿的分类、形成原因,以及治疗方案,这篇文章我们一起了解关于肝囊肿治疗效果的问题。

首先门诊上经常病人拿了CT片子给我们阅读,肝囊肿诊断已经明确,咨询外科医生是否需要手术,比较关心手术方案以及预后情况,下面我们谈一谈。

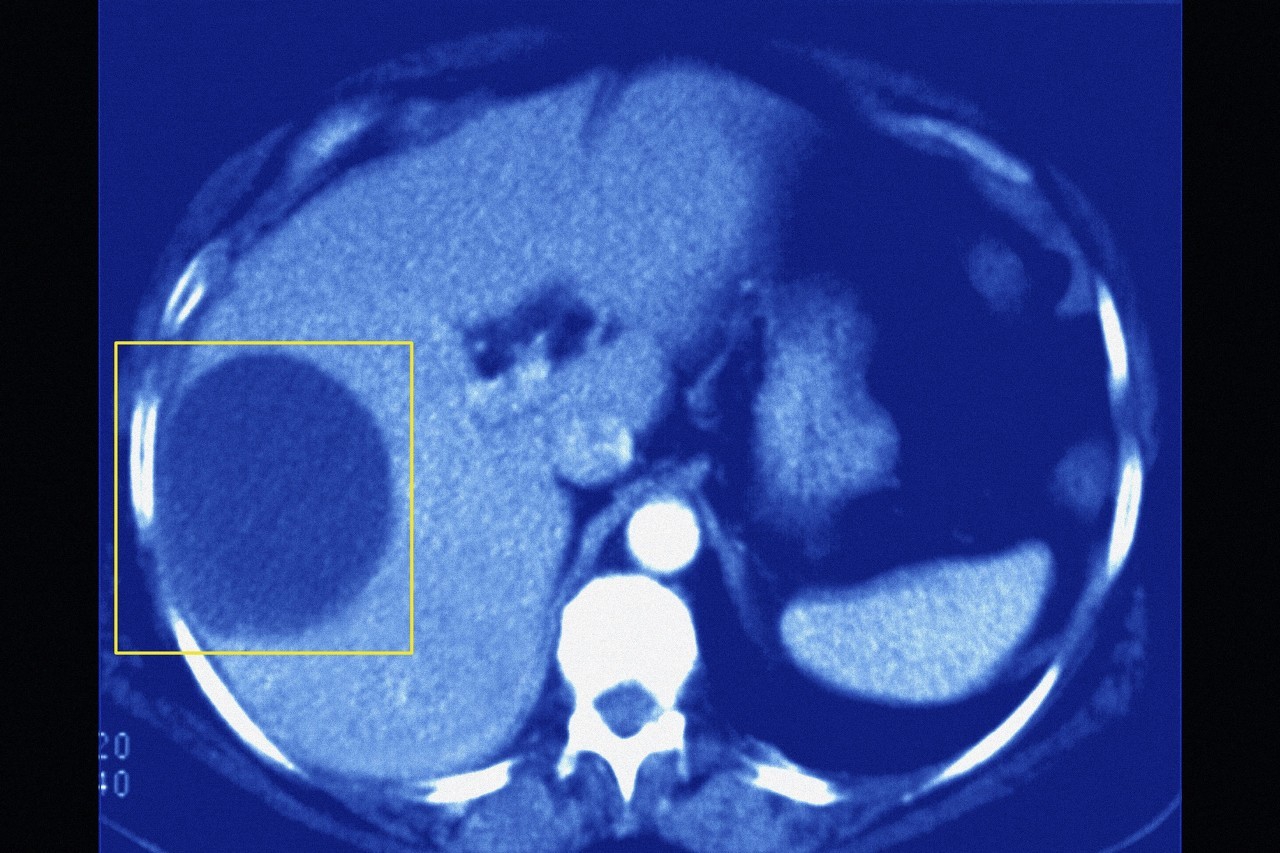
理想的肝囊肿治疗,腹腔镜肝囊肿去顶开窗引流手术。大家从这个名称不难发现,手术途径通过微创的方法。手术的治疗基础,是把突出肝脏的囊肿顶端部分囊壁祛除,就像一个“茶壶”把盖子去掉,把茶壶里的“囊液"引流到腹腔,再给予吸收。有患者会问,那"茶壶怎么办,"茶壶"就是生长在肝脏里面的囊肿壁,这部分囊壁是不处理的。那就有病友来问,“茶壶盖子”越大是否手术后效果越好?对的,开口大了囊液容易流出,腹腔内吸收。但是又有个问题,如果“茶壶盖”向上,那么站立的时候囊液不容易流出,并且与膈肌组织粘连,又形成新的“茶壶盖"。所以在临床上,经常有病人手术后开开心心,但是时间不久,很扫兴的来讲又复发了。

为了避免这种情况的发生,我们一般在选择手术的时候,遵循以下几点:
一,肝囊肿,囊肿要大,并且有症状,如腹胀,腹痛,并且排除其他原因。
二,肝囊肿顶端囊壁开口向下,这样去顶后,囊下向下引流,利于腹腔吸收。
三,如果需要行胆囊结石等手术时,肝囊肿的手术指征可以相对放宽。
四,如果肝囊肿大但是完全长在肝脏深部,突出肝组织的囊壁非常小,这样手术开窗也小,不利于囊液引流。
五,我们医生需要和病人充分沟通,明确手术可以解决的问题,及可能出现复发再生的可能性。
谈到这里大家可能有些明白了,肝囊肿手术并不难,但是如何选择合适,恰当的手术时机显得非常重要。毕竟外科手术是一种创伤性的治疗,尽管现在随着科技水平的日益提高,手术微创化,病人治疗变得容易,恢复也相当快。但是我们还是要遵循一个准则,外科手术必须为病人带来实实在在的好处与疗效。让我们一起努力,为大家服务。