人类离不开空气,就像鱼儿离不开水。肺作为人体的呼吸器官,进行机体与外界环境之间的气体交换,不断吸进清气,排出浊气,保障着正常的生命活动。
可见,肺一旦生了大病,尤其是肺癌,有空气也难以保证我们的生命安全!2020年我国癌症死亡人数约300万, 肺癌死亡人数以高达71万碾压其他癌种 ,遥遥领先。

早期肺癌超过90%的临床治愈率 ,多么可喜的数据!遗憾的是,早期肺癌大多没有典型症状,等到症状明显的时候,多进入了中晚期,治疗效果是大打折扣。
因此, 早期发现、早期干预成了对抗肺癌的重要措施。 随着全民健康意识的提高,大家逐渐开始重视体检。
但是大问题还是来了:年年体检的老李头, 胸部普通X线检查 结果一直正常,怎么突然就查出了癌?难道体检没用吗?
体检健康,忽然查出癌症, 不是体检没有用,而是体检项目没做对!毫不夸张的说,目前,低剂量CT筛查(LDCT)是对早期肺癌筛查最有效的措施! 可是,老李头却一直只选择了胸部普通X线检查。
啥是低剂量螺旋CT?
“低剂量螺旋CT”,乍一看每个字都认识,但是合起来却不知道是个啥。
进行低剂量螺旋CT检查时,就好比把我们的肺从上到下,一片一片按着毫米级的厚度均匀切开, 断面成像保证了没有重叠的图像 ,几乎所有的异常结节,都能够呈现在大家眼前。

好一个大型地毯式搜索现场!法网恢恢,刁钻病灶的蛛丝马迹也会被暴露。
低剂量螺旋CT和胸部普通X线有啥区别?
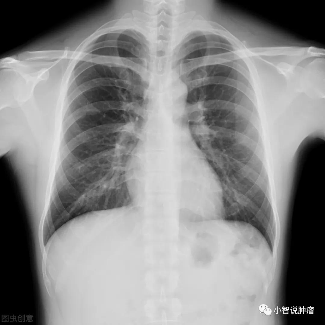
由于 普通胸部X线检查的价格较CT检查更便宜 ,很多患者觉得都是肺部检查,我直接做个胸片检查不也行么。
其实不是这样的。

大家看这幅图片就能看出,普通胸部X线与低剂量螺旋CT最大的不同就是,它是 整体重叠的结构 ,而不是切片。由于前后组织结构的重叠干扰,这样就会导致隐藏在肺组织中间的微小病灶被遗漏,不利于肺癌的早期发现。
所以说,用CT筛查效果远比普通胸部X线检查好。
低剂量螺旋CT与普通CT又有啥区别?
CT检查的广泛应用给肺癌的早期诊断带来了新的希望,但是由于对电离辐射的恐惧,导致很多患者对CT检查存在排斥。
于是,在图像质量满足临床诊断需求的前提下,保证患者尽可能的减少电离辐射下的暴露,成了医学亟待解决的问题。
低剂量CT也是由此诞生。据相关数据显示, 低剂量CT检查产生的剂量约降低到了普通CT检查剂量的十分之一,价格也更亲民。
又有朋友产生了疑问,辐射剂量降低了,检查结果会不会比普通的CT检查效果差啊?钱不钱的不重要,得有效果才行啊。
专家们当然是拿数据说话, 据相关研究数据显示,低剂量CT查出的癌症中,早期肺癌占到了高达85%,很多人是完全没有症状的。
美国国家肺癌筛查试验(NLST)相关数据显示:低剂量螺旋CT肺癌筛查每年一次连续三年,降低20%肺癌病死率! 真是激动人心!

低剂量CT如此之好,也不是针对所有人(every one)进行普查。在临床应用实践中,低剂量CT主要用于 高危人群肺癌的初筛 。
啥是肺癌高危人群?如:
- 年龄40以上。
- 至少有以下一项危险因素:
- 吸烟≥20包年,戒烟时间<15年。所谓“≥20包年“,是指每天吸烟包数x吸烟年数≥20。比如每天吸两包烟,超过10年,或者每天一包烟,超过20年,这都是≥20包年。
- 职业或环境中接触各种致癌因素(比如石棉、铍、铀、氡等接触者)
- 有恶性肿瘤病史或肺癌家族史;
- 有慢性阻塞性肺疾病(COPD)或弥漫性肺纤维化病史。
- 考虑室内外空气污染,包括长期接触二手烟、烹饪油烟以及空气污染等因素。
由于低剂量CT的精准性,使很多微小结节暴露。在这里要提醒大家,即使偶然在体检报告上看到“结节”字样,也不必过于恐慌。

在医生明确告知安全的情况下,只需要 定期复查对比,了解结节变化 即可。原因很简单,结节产生的原因有很多种, 不是所有的结节都是恶性 。