你知道身体内最坚硬的组织是在哪里吗?不是坚硬的骨头,而是在我们的口腔里——牙齿最外面的一层——牙釉质。
但是硬汉也有“脆弱”的一面。今天,我们就来为大家揭秘——到底是什么,让牙釉质变得如此脆碎,会层层“脱落”。
什么是牙釉质?
牙釉质是牙齿在口腔中露出来的最外层的组织。它就像蛋壳一样,保护着牙齿内部的软组织,但是和蛋壳不同的是,牙釉质非常坚硬。

如果能够很好地维护,它可以抵御数十年的咀嚼磨损。
虽然牙齿看起来是白色的,但牙釉质实际上是透明的。光线可以穿透它显现出下方的牙本质的颜色,牙釉质的透明度决定了牙齿看上去是明亮还是暗沉。

除此之外,咖啡、茶、巧克力以及其他容易着色的物质也会使牙釉质变暗变黄变灰。
牙釉质被破坏后带来的体验

牙釉质脱落后,在牙齿上会形成蛀牙洞,但这不是唯一的坏处,你的牙齿会对冷、热敏感。比如,吃冰激凌或喝热咖啡都会引起疼痛,至少也会导致不适。
致使牙釉质脱落的大敌——细菌
尽管牙釉质如此坚硬,但它也会被破坏。食物中的酸和细菌可以一步一步地“吃掉”它,导致牙釉质被侵蚀,进而形成蛀牙。

在这张牙齿局部放大图片中,中央正在形成蛀牙,可见这部分的牙釉质已碎裂。而且,牙釉质无法再生,一旦损坏就无法修复了。
那么,这些细菌是怎么“吃掉”牙釉质的呢?

当你吃完东西,口腔里的细菌也开始了大快朵颐,它们会摄取甜食和淀粉中的糖,然后产生酸,这些酸会腐蚀你的牙釉质。
另外,还有碳酸饮料、果汁中的酸也同样有害,这些酸会不断地腐蚀牙齿。
加速牙釉质脱落的“隐藏敌人”
1、酒

如果你喜欢在每晚来杯酒再睡,那就要小心它们会腐蚀牙齿或造成牙釉质染色,酒中的酸和色素对牙齿并不友好。
如果需要喝酒,可以在正餐的时候喝,想喝饮料的人也可以选择这个时机。因为正餐时唾液量分泌较多,有助于降低口腔的酸度。
2、消化问题

一些全身健康问题也会影响牙釉质。这张图中显示了暴食症患者的牙齿,由于常常呕吐,胃酸反流入口腔导致牙釉质被侵蚀。另外,胃食管返流综合症也会引起牙釉质的损坏。
3、口干症

唾液不仅可以抵消掉口腔内的酸,而且还能够促进牙釉质修复,因此可以保护牙齿。
如果你因为某些药物的副作用导致口干或者得了口干症,那么酸就会一直腐蚀你的牙齿而导致更大的危害。
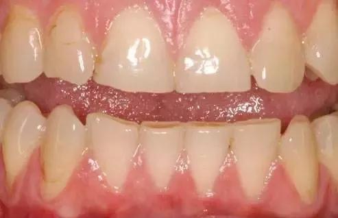
4、磨牙症
夜磨牙也是导致牙釉质损害的“隐藏敌人”。有夜磨牙的人,长年累月不正常的紧咬牙齿和磨耗牙齿,使得釉质被磨掉或折裂。

这张图上能看到上下前牙都被磨低了
磨牙症在夜间表现得最为严重,而此时你是无法控制自己的,一般来说放松自己、减少压力可以减轻症状。
如果发现自己有这样的问题,可以咨询牙医,通过佩戴一种特殊的牙齿保护套来减少对牙釉质的损害。
5、把牙齿当作开瓶器

虽然牙齿锋利,就像一把随身携带的“剪刀”,但决不要用牙齿开瓶子或者撕包装袋,这样做会使你的牙釉质碎裂。而咬铅笔、指甲、玉米核或者冰块以及咯吱咯吱的咬牙也会有同样的效果。
你想想,一把剪刀才多少钱。为了省剪刀用牙咬,牙齿裂开要拔牙种牙,分分钟费用过万。
孩子的牙釉质也经常受侵害

许多专家认为釉质侵蚀(或称为脱矿)率正在上升,尤其是在孩子身上。为什么?因为现在的孩子喝了太多酸性或者碳酸饮料。
另一个原因是很多家庭会选择瓶装水,这样就减少了接触氟化物的机会,因为自来水中含氟----氟是很好的预防龋齿的物质,当然不是指过量的氟(过量的氟将导致氟斑牙)。
预防牙釉质脱落的窍门
要预防牙釉质脱落,可以通过几个简单的步骤来保护牙齿。
- 在吃饭或喝酒后刷牙
- 使用软硬适度的牙刷轻柔地刷牙,因为过度用力或者使用坚硬刷毛的牙刷会损害釉质。
- 使用含氟牙膏
- 在饭后喝一些牛奶或者来一片奶酪来减少食物产生的酸
- 咀嚼无糖、含木糖醇的口香糖,可以促进唾液分泌,冲刷牙齿减少损害。
- 改进口腔卫生习惯,使用牙线来清洁牙间隙而不要使用牙签。
如果你正在进行牙齿美白(家庭美白),一定要在咨询牙医后再做,如果频繁进行牙齿美白或者操作不当会损害牙齿。
虽然牙釉质很硬,但也经不起折磨,就像保养你的漂亮脸蛋一样,好好呵护你的牙釉质吧~
如果您觉得这篇文章不错,就请收藏或分享给好友吧。添加雅悦齿科为好友,学习更多爱牙护齿科学方法。公众号:yyck2001