经济视野网10月22日电(本网记者裴振萍 通讯员江丽波 安晨菲 江春涛) 近日,哈尔滨市第一医院普外二科成功为一位六旬老人解除如芒果大的肝血管瘤,术后恢复顺利,现已痊愈出院。普外二科吴非主任表示,巨大的血管瘤不及时治疗,破裂出血后会瞬间造成大量失血,导致失血性休克直至死亡。

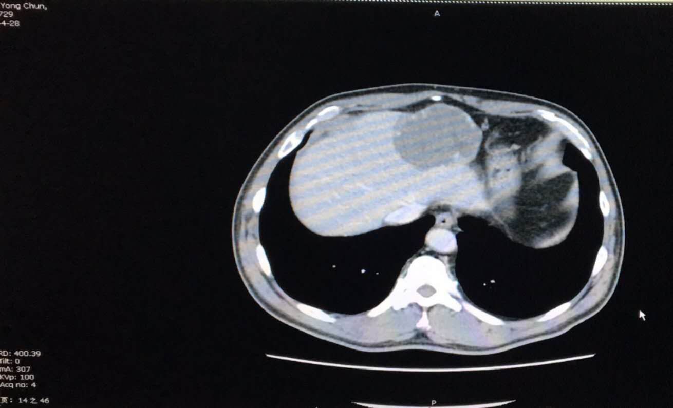
哈市62岁的李大爷体检时偶然发现患上了肝血管瘤,CT检查显示肝左外叶(II、III段)占位约10cm×8cm×6cm如芒果大小,与第一肝门等重要血管关系密切,考虑为巨大肝血管瘤。这个体内大隐患让李大爷和家人都心惊胆战。自从查出血管瘤,李大爷身心俱疲,连走路都小心翼翼,生怕肿瘤破裂。用他的话来讲,体内犹如安装了一个定时*弹炸**,害怕随时引爆。心急如焚的家人走访多家医院比较治疗方案和专家的意见,最后决定在哈尔滨市第一医院普外二科手术治疗。
吴非主任组织普外二科联合CT室、手麻科等相关科室进行多科讨论,根据患者的病情及身体状况进行了严谨周全的术前讨论和评估,制定了科学合理的手术方案。
经过充分的术前准备,普外二科吴非主任和马永权副主任医师、邱岩医师组成的手术团队在手麻科的密切配合下凭借精湛的技术与细致的耐心,仅用两个小时的时间成功为患者施行了高难度的“肝左叶巨大血管瘤切除术”,术中探查到肿瘤位于肝左外叶第II、III段,向肝脏面凸出,并向第IV段挤压。在术前完备的手术预案指导下,经过预先距肿瘤边缘束扎血流和间断阻断肝十二指肠韧带血流,仔细游离肝组织,结扎分支小血管,连续缝合肝断面粗的胆管及门静脉,有效保护了患者肝部的重要血管,避免发生损伤,整个手术过程高效而顺利。术后患者在普外二科医护人员的精心护理下,闯过了一道道恢复险关,未发生任何并发症,恢复良好,现已痊愈出院。

据吴非主任介绍,肝血管瘤虽然是良性肿瘤,但它严重程度与否是由它的大小、生长的部位、生长速度而决定。肝血管瘤生长的部位如果影响了人体的器官功能,就可能造成严重后果,位于肝包膜下,可能会有大出血可能,危及生命。
吴非主任表示,如果检查出肝血管瘤,大可不必过分恐慌,虽然听起来是肿瘤,但它其实是“先天性良性血管错钩瘤”,并非真性肿瘤,属肝微动脉畸形。如果检查发现肝血管瘤体直径小于4cm,无临床症状,不必过分紧张,破裂出血的情况很少,不会危机生命,建议定期复查。但是如果瘤体过大,同时靠近肝表面由于血管瘤内血管和血液丰富,就必须引起重视。因为受到外力的撞击可能导致破裂,腹腔内大出血,威胁生命。所以,肝血管瘤的治疗方法要根据患者临床症状等决定,可以根据专家的建议考虑运用介入治疗,消融手术切除。吴非主任提醒:发现肝血管瘤后要注意随诊,选择恰当的方法和正规的医疗机构治疗,都可以有效避免肿瘤发生意外风险的可能。