来源:浙大二院
新春佳节临近,一条震撼全网的新闻,牵动了众多人的回忆。曾经主持过新闻联播、春晚、动物世界、人与自然等耳熟能详节目的赵忠祥老师因病去世。而带走他的,是一种被称为鳞癌的恶性肿瘤。
那么,鳞癌到底有多可怕?
它打哪儿来? 将给人造成什么伤害?
我们又该如何早预防、早诊断、早治疗?
◆ ◆ ◆ ◆
鳞癌的前世今生
前世:保护人体的铠甲勇士
——鳞状上皮细胞

鳞癌全称为鳞状细胞癌,它的起源就是遍布人体中的一种组织—— 鳞状上皮细胞。鳞状上皮细胞是上皮细胞组织的一种,广泛分布于食管、皮肤、鼻腔、喉部、阴道、宫颈、肛门等多种器官之中。

显微镜下的鳞状上皮细胞
鱼鳞状的分布牢牢筑起保护机体的血肉铠甲
正常情况下,鳞状上皮细胞是保护人体的有效组织细胞,它们在器官部位表面附着,具有保护、吸收、防止各种物理化学损伤及有害微生物入侵的作用,可有效保护人体免受各种疾病侵扰。与此同时,鳞状上皮细胞再生能力也比较强,在受到伤害后,可以迅速生长复制,再次筑起抵御伤害的屏障。因此,当我们看到皮肤等表面组织出现损伤的时候,很快就可以愈合康复。
正是由于这些特点,鳞状上皮细胞被称为保护人体免受伤害的铠甲勇士。

今生:变身不死的僵尸
——鳞癌的发生和发展

就是这样一种保护人体的铠甲,鳞状上皮细胞在频繁的各种刺激之下,也会变得面目全非。
长期慢性炎症、频繁的物理化学刺激、病毒的侵袭感染等多种因素作用之下,鳞状上皮细胞出现变异,摇身一变,成为“不典型增生鳞状上皮组织”,这时候,如果继续发展,就会进展成鳞状上皮癌,简称鳞癌。

由于鳞状上皮细胞的广泛分布和其他类型上皮细胞的转化,鳞癌可以在人体不同组织器官中发生,常见的有肺鳞癌、食管鳞癌、宫颈鳞癌、皮肤鳞癌、鼻咽鳞癌和咽喉鳞癌等。一旦发生癌变,鳞状上皮细胞就从保护人体的铠甲勇士变成了不死的僵尸,不再受人体各种机制的正常调控,大量增殖、侵袭,压迫正常组织,产生组织破溃、出血、疼痛等各种症状,最终危及生命。

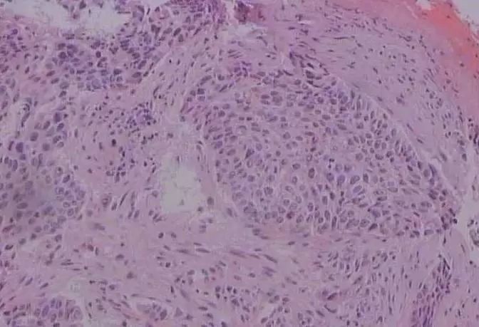
显微镜下的鳞状上皮细胞癌
大量增殖、广泛浸润
◆ ◆ ◆ ◆
斩灭僵尸的利剑
现代医学下鳞癌的预防、诊断与治疗
鳞癌的预防
如今,随着鳞癌发生机制被现代医学逐渐阐明,大部分鳞癌的继发因素都已经明晰。因此,通过改变不良生活习惯,大部分鳞癌都是可以预防的。
常见的肺鳞癌,可以通过戒烟来预防
食管鳞癌,可以通过少吃烫食、少喝高度白酒等来预防
由病毒侵袭引起的宫颈鳞癌,随着HPV疫苗的应用,未来也将逐步减少
其他类似的器官鳞癌也是一样,通过改变不良生活习惯,尽早治疗长期慢性炎症等,都可以将鳞癌发生的概率降到最低。
鳞癌的早期筛查
鳞癌也是早期筛查和早期诊断最有效的癌种之一。以食管鳞癌为例,早在20世纪80年代,临床医学专家通过在食管癌高发地区——河南林县的早期筛查,就可以早期发现鳞癌患者,尽早将癌症扼杀于萌芽之中。随着宫颈刮片检查等筛查手段的广泛应用,宫颈鳞癌也可以被早期发现,尽早治疗。这些筛查手段都大大提高了患者的治愈率和生存时间。随着技术的发展,目前筛查各个组织器官鳞癌的手段早已一日千里,通过规范的体检,大部分鳞癌都可以早期发现、早期诊治。

通过早期筛查,鳞癌患者的生存时间大大延长
鳞癌的治疗

随着治疗技术的进步,即使不幸罹患了鳞癌,也不用太过恐惧。目前手术、化疗、放疗技术的进步使部分鳞癌患者可以通过治疗获得治愈,一些晚期患者也可通过联合治疗获得长期生存。近年来名声大噪的免疫治疗,也是目前治疗鳞癌的一大利器,通过与其他治疗手段的联合,获得的治疗效果也让广大医务工作者和患者叹服。
在浙大二院肿瘤内科,部分局部晚期的肺鳞癌患者就通过先行免疫治疗联合化疗,肿瘤退缩后再行手术的方式获得了治愈,并且在手术切除后,切除的组织里竟然找不到肿瘤细胞。有这样的利剑在,鳞癌这种不死的僵尸不再可怕,完全可以实现由癌症向慢性疾病的转化。相信不久的将来,当人们再次谈论起鳞癌时,不再谈之色变,而可以习惯于像对待高血压和糖尿病一样,可防、可控、可治。
文 | 浙大二院 肿瘤内科 陈佳琦