(一)急性胃肠炎:发病前常有不洁饮食史,或共餐者也有类似症状病史。腹痛以上腹部和脐周围为主,常呈持续性痛伴阵发性加剧。常伴恶心、呕吐、腹泻,亦可有发热。可有上腹部或脐周围压痛,多无肌紧张,更无反跳痛,肠鸣音稍亢进。实验室检查:大便常规检查可有异常发现。
(二)急性阑尾炎:大多数病人起病时先有中上腹持续性隐痛,数小时后腹痛转移至右下腹,呈持续性隐痛,伴阵发性加剧。少数病人起病时即感右下腹痛。中上腹隐痛经数小时后转移至右下腹痛是急性阑尾炎腹痛的特点,约占70%至80%。可伴恶心、呕吐或腹泻。重者可有发热、乏力、精神差。右下腹固定压痛点是诊断急性阑尾炎的最重要体征,典型的是麦氏点(Mc Bunery点)压痛或伴有肌紧张、反跳痛;结肠充气试验、腰大肌试验或闭孔内肌试验阳性不仅有助于诊断,还有助于术前阑尾定位。直肠指检及妇女盆腔检查对鉴别很有必要。






急性水肿型胰腺炎:CT平扫,胰腺明显肿胀,密度尚均匀,周围见条片渗出。

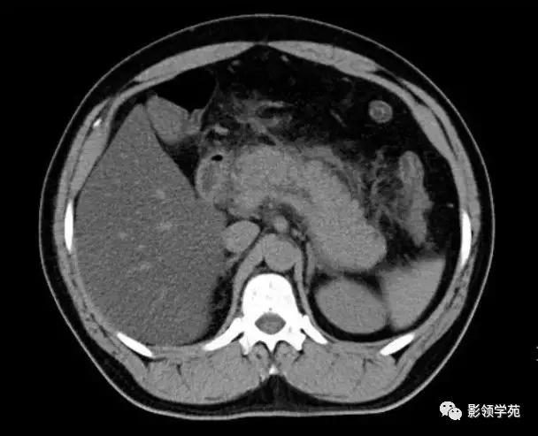
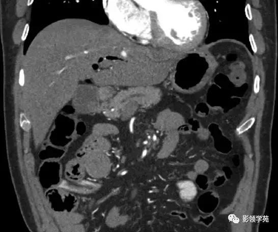
急性坏死型胰腺炎:CT平扫,胰腺密度不均匀减低,胰腺边界模糊,胰腺周围较多渗出积液,肝周可见积液。
(五)急性盆腔炎:是15岁至35岁的女性病人引起急性腹痛的常见原因。表现为下腹部持续性疼痛或弥漫性腹痛。大部分都出现在经期或月经刚停止的时候,且常有盆腔炎症的既往病史或有早产、引产、流产、妇科检查操作史或有不洁*生活性**史。可伴有恶心、呕吐、尿频、尿急、尿痛,重者有畏寒、发热。下腹部压痛或肌紧张、反跳痛。妇科检查:阴道分泌物多,宫颈摆痛、举痛。实验室检查:血白细胞计数升高,中性粒细胞升高。宫颈涂片、细菌培养对诊断有帮助。妇科B超检查可发现盆腔积液或输卵管、卵巢囊肿等。


(七)异位妊娠破裂:育龄妇女停经超过6周或数月者,突发性下腹剧痛,常呈持续性痛,阴道少量流血。下腹部肌紧张,压痛、反跳痛,移动性浊音阳性,常有休克表现,腹腔穿刺抽出不凝固血液,腹腔血绒毛膜促性腺激素(HCG)测定明显升高。妇科检查:一侧附件不规则,可扪及触痛包块,宫颈举痛,后穹隆饱满和触痛。对腹腔穿刺无不凝固血液者,可做阴道后穹隆穿刺,常有阳性结果。妊娠试验阳性。妇科检查、血清甲胎蛋白(AFP)或HCG测定、B超检查、CT检查、腹腔镜检查等有助于与常见实质性腹腔脏器破裂的鉴别诊断。




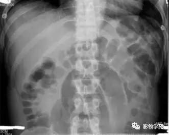
X线腹部平片检查可发现肠腔充气,并有液气平面、闭襻肠管影。上消化道泛影葡胺造影和小肠镜检查可观察近端小肠梗阻,但在怀疑有结肠梗阻的病人禁用消化道造影。腹部术后出现早期肠梗阻者,应注意是否存在低钾血症、术后早期炎性肠梗阻、术后胃肠无力症、术后肠麻痹、术后肠系膜血管栓塞或血栓形成等。




(十二)急性心肌梗塞:急性心肌梗塞和急性心包炎的症状有时很像急性胰腺炎或胃十二指肠溃疡穿孔。表现为上腹部突发疼痛,但多见于中老年人,心肌梗塞的部位如在膈面,尤其是面积较大者多有上腹部痛。其疼痛多在劳累、紧张或饱餐后突然发作,呈持续性痛,并向左肩或双臂内侧部位放射。常伴有恶心,可出现休克。上腹部或有轻度压痛、但无肌紧张和反跳痛,心脏听诊可有心律紊乱,常规心电图检查或心肌酶谱测定可以确诊本病。

(十四)胸、腹主动脉夹层:是由于胸、腹主动脉内膜破裂而外层尚完整,高压的血流在主动脉内、外层之间形成夹层。病人多有高血压病史,表现为胸部或腹部剧烈疼痛,而腹部检查可无明显体征。及时做胸、腹部增强CT、血管造影或磁共振血管成像检查有助于诊断。


(十六)铅中毒:见于长期接触铅粉尘或烟尘者,偶尔可见于误服大量铅化合物者。铅中毒可分为急性与慢性,均以阵发性腹部绞痛为其特征。通常腹痛发作突然,多在脐周围。常伴腹胀、便秘及食欲不振等。腹部体征不明显,无固定压痛点,肠鸣音多减弱,临床易误诊为肠梗阻。齿龈边缘可见铅线,此为铅中毒的特征性体征。周围血中可见嗜碱性点彩红细胞,血铅和尿铅检测明显升高可以确诊。
文字内容出自 HAOYISHENG 图片综合整理自网络
【版权声明】本平台属公益学习平台,转载系出于传递更多学习信息之目的,且已标明作者和出处,如不希望被传播的老师可与我们联系删除