外阴鳞状上皮内病变(vulvar squamous intraepithelial lesion, VSIL)是指发生于女性外生殖器皮肤和黏膜,局限于鳞状上皮内,与HPV感染相关的临床和病理改变。近年来其发病率呈明显的升高趋势,特别是40-50岁女性。但外阴癌与癌前病变缺乏有效的筛查手段,且许多患者无症状,或仅表现为非特异性症状,临床上易漏诊。
01 分类
分类为低级别鳞状上皮内病变(vulvar low-grade squamous intraepithelial lesions, VLSIL)、高级别鳞状上皮内病变(vulvar high-grade squamous intraepithelial lesions, VHSIL)、和分化型外阴上皮内瘤变(differentiated vulvar intraepithelial neoplasia, dVIN)。
不同外阴鳞状上皮内病变的比较:
|
特征 |
低级别鳞状上皮内病变(LSⅠL) |
高级别鳞状上皮内病变(HSⅠL) |
分化型外阴上皮内瘤变 |
|
病因 |
与低危和高危型HPV感染均相关 |
绝大部分为HPV16型感染所致 |
与HPV感染无关,可能系p53突变所致。 |
|
易感人群 |
年轻女性 |
绝经前女性 |
老年女性 |
|
预后 |
常常自行退化,进展为浸润癌的风险极低。 |
若不治疗进展为浸润癌的风险很高。 |
进展为浸润癌的风险尚不清楚,但一旦发生,常在半年以内进展为浸润癌。 |
02 病因
其中病因较为明确的是VHSIL,与高危型HPV感染密切相关,尤其是HPV16亚型。HPV感染持续时间越长,其E6和E7癌蛋白更扰细胞周期的调节机制,最终导致VHSIL的发生。>90%的VLSIL与低危型HPV6、HPV11型感染有关,少数与高危型HPV16、HPV18型感染有关。dVIN的发病与HPV感染无关,dVIN常与外阴皮肤疾病并存,而且发病可能与外阴上皮基底细胞p53基因的突变有关。
03 临床表现
VLSIL
1. 症状:临床表现多样,初期常无症状,部分患者可有外阴瘙痒、烧灼痛或*生活性**后疼痛等。
2. 体征:单发或多发病灶发病部位多见于*生活性**容易受损伤处,例如舟状窝、大小阴唇,肛周、阴道前庭及尿道口等。有两种表现:① 单纯 HPV 感染:可无任何肉眼可见的病变,仅有外阴局部取材检测 HPV、醋白试验、阴道镜检查及病理学证据;② 扁平湿疣:典型者表现为稍高出皮肤黏膜的大小不等、形态各异的扁平丘疹、斑点、斑块样或乳头状改变,多呈褐色、黑色、粉色、白色或污灰色病灶;表面光滑或粗糙,形态规则或不规则。
VHSIL
1. 症状:60%~85%VHSIL 患者可出现症状,以固定性瘙痒为主,其次为外阴不适、灼烧感及疼痛等,但缺乏特异性;15%~40% 患者无症状,体检时发现,易漏诊 。
2. 体征:VHSIL 可发生于外阴皮肤和黏膜的任何部位,以大小阴唇、会阴体多见。临床表现多样,但多数以扁平斑块、丘疹或疣状、略高出皮肤的色素性病灶为主。特点如下:
(1)多样性病变:病变以增生性皮肤黏膜改变为主,可表现为斑点、斑块、斑片、丘疹、疣状、乳头状、结节、隆起、角化,扁平、增厚隆起或溃疡性病变等,其中丘疹、斑块占 58.2%,斑点和结节占 30.5%;表面粗糙或光滑;不对称;边界清楚;形态不规则。由于搔抓,皮肤黏膜表面常有破损、糜烂、溃疡、渗出物或结痂等。
(2)色素性病变:病变颜色各异,可有白色、褐色、棕色、黑色、灰色、红色等,或同一病变呈两色或多色相间。由于正常情况下,许多妇女的外阴呈明显的色素沉着,使得 VHSIL 不易早发现。
(3)多灶性或多中心性病变:基于 HPV 感染的特点,约 50% 以上 VHSIL 患者的病变呈多中心或多病灶病变,部分呈融合性病变,可有 1~20 个病灶不等,≥20 mm的病变占 54.8%,小阴唇、大阴唇、后联合累及率分别是45.3%、39.7% 和 34.1%。20% 的患者病灶融合,形成更大的病灶,而且常合并其他外生殖器部位病变,18%~56%的患者合并宫颈、阴道、肛周上皮内病变。因此,全面仔细的妇科、肛门及肛周部位的检查非常重要。
04 诊断
诊断流程图见图 1。

对可疑病灶直接活检或阴道镜指引下活检进行病理诊断是 VSIL 诊断的金标准。




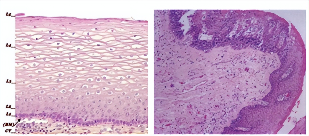
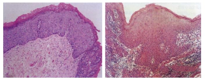
不同外阴鳞状上皮内病变的示意图及病理
04 治疗
治疗目的:消除病灶,缓解症状,阻断浸润癌发生。
VLSIL的处理: 多数VLSIL为一过性HPV感染,自然消退率较高,进展风险低。原则上推荐观察,定期随访,特别是年轻、无症状患者。有症状者,可局部用药,激光治疗适用于病灶广泛的年轻患者。
VHSIL的处理: 手术切除仍是目前治疗VHSIL的重要方法,包括:
(1)外阴局部扩大切除术:适用于VHSIL局限者,仅切除病变部位的皮肤和黏膜上皮层及少部分真皮层。切除范围应至病灶边缘外5-10 mm的正常组织,在非毛发区手术切除深度一般1-3 mm,有毛发区达4mm。
(2)外阴皮肤切除术:用于较广泛或多灶性病变。切除部分或全部外阴皮肤和黏膜的上皮和真皮层,保留皮下组织和深层结构,维持外阴形态,尽量保留阴蒂。缝合时应尽可能恢复局部解剖关系。病变累及阴蒂周围或肛周可采用CO2激光消融术。
(3)单纯外阴切除术:适于年龄较大,病变范围广,高度怀疑恶性患者。切除外阴皮肤黏膜和皮下组织。
分化型外阴上皮内瘤变的处理: 由于病变会迅速发展为浸润癌,需彻底切除病灶,老年、病灶广泛的患者可采用单纯外阴切除术,手术切除范围包括外阴皮肤及部分皮下组织,不切除会阴筋膜。合并外阴浸润癌者,则按外阴癌处理。
本文整理自网络,版权归原作者所有,希望大家理性判断,有针对性地应用,如有 侵权,请联系删除。