感染性食管炎主要发生在免疫力低下的患者,如感染艾滋病、接受化疗、免疫抑制治疗等,最为常见的病原体是念珠菌和单纯疱疹病毒。
但是,由于某些原因,也常常见于免疫力正常的人群。比如食管粘膜受损、慢性食管炎症等。
吞咽疼痛是食管感染的特征性症状,吞咽困难、胸痛、消化道出血也很常见。
今天主要说霉菌性食道炎,其他感染性食道炎,我们将在今后陆续刊出。
一、什么是霉菌性食道炎
也称念珠菌性食道炎,真菌性食道炎,主要是指某些真菌侵入食道粘膜形成的一种溃疡性假膜性食道炎,90%以上是白色念球菌所致。
念珠菌广泛存在于自然界中,正常*皮人**肤、口腔、肛门、阴道中都可分离出该菌,但以消化道带菌率最高,约占50%。
但一般情况下并不致病,当机体状况发生一定变化,比如免疫力低下,长期使用某些药物、某些食管疾病等,才会致病。
二、免疫力下降是主要诱因
1、长期、大剂量的应用广谱抗菌素
由于大剂量长期使用广谱抗生素,使可以产生抗霉菌物质的革兰氏阴性杆菌被抑制,霉菌繁殖速度就会加快,从而引发霉菌感染。

大量长期服用抗菌素也是主要诱因
2、长期应用大量肾上腺皮质激素。
长期应用大量肾上腺皮质激素,可促使中性粒细胞和巨噬细胞溶解,抗体减少,增加霉菌的毒素作用。
3、大剂量应用放射线照射及使用免疫*制剂抑**。
大剂量应用放射线照射及使用免疫*制剂抑**,可引起中性粒细胞和巨噬细胞数量下降,甚至直接损伤正常组织和细胞,为霉菌感染创造条件。
4、营养不良、年老体衰、消耗性疾病、术后等,都会导致机体细胞免疫功能低下,降低白细胞的吞噬、杀菌功能,为霉菌性食管炎发作提供可能。
三、正常免疫力人群也会发病
原因可能有以下几个因素:
1、严重的食管动力障碍,如食管失弛缓症、硬皮病。
2、局部激素的刺激:如哮喘病人使用的吸入性糖皮质激素。
3、胃酸减少;
4、糖尿病、酒精依赖症、年老等导致免疫力低下的因素;
5、广谱抗生素治疗后,尤其是四环素。
四、症状和体征
1、临床主要表现为吞咽困难,吞咽疼痛;
2、消瘦:
由于吞咽困难及吞咽痛症状的存在,病人会因疼痛而拒绝进食或进食困难、或减少进食,继而引起消瘦和营养不良;
3、过敏:
霉菌性食管炎病人可因念珠菌的致敏作用而发生皮肤或内脏的过敏反应:
- 皮肤过敏可能出现湿疹、*麻疹荨**、环状红斑等;
- 内脏过敏发生在消化道时,会出现胃肠不适、腹泻等症状;
- 发生在呼吸道时,则会出现类似过敏性鼻炎或哮喘的症状。
4、内镜下可见粘附于食管粘膜的白色假膜或颗粒状白斑,质脆,偶见狭窄或出血。

霉菌性食管炎的内镜下表现
四、诊断和检查
因为本病症状没有特异性,所以诊断主要依靠病史、内镜和细胞学、病理学检查等。食管钡餐造影也有一定的参考价值。
- 有明确的导致免疫力下降的疾病、或相关药物应用史,比如抗生素,激素类,免疫*制剂抑**等;有放化疗史,手术史等;
- 有相关的真菌感染疾病,比如霉菌性阴道炎等;
- 内镜下可见粘附于食管粘膜的白色假膜或颗粒状白斑,或呈念珠状白色颗粒样白班,大多纵行排列;用水冲洗不易冲走;
- 但要注意与粘液相区别。
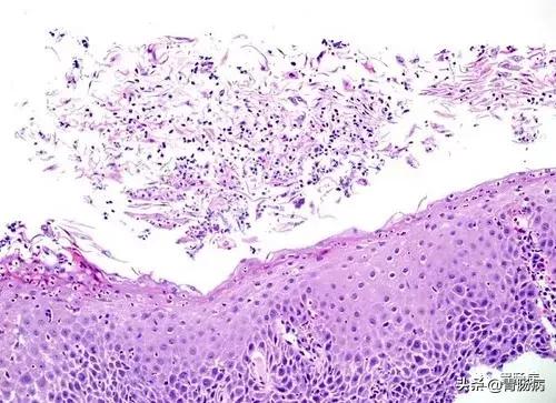
- 进行细菌刷检涂片,可发现白色念珠菌、隐球菌或球状孢子菌等真菌感染、可见炎症、菌丝、成团的芽殖酵母。

霉菌性食管炎病理切片
五、治疗
1、祛除病因:比如停用抗生素、激素类药物及射线等;
2、提高免疫力;比如进食高营养、高蛋白食物;
3、抗真菌治疗:
- 一般采用口服制剂,如氟康唑100mg/d,qd,7-14天,首次加倍。
- 如无效也可选用伊曲康唑、制霉菌素片等;
- 中药锡类散、云南白药可作为辅助治疗;
- 口服药物无效者,可静脉给药卡泊芬净50mg/天,7-14天;
- 重症患者,可用两性霉素B静注,10-15mg/天,总剂量达300-500mg。
可以考虑与促胃肠动力药联合用药,比如多潘立酮、莫沙必利片等;
同时注意抗真菌药物的不良反应。
4、手术治疗:
如果病情比较严重,如出现食管狭窄、出血、穿孔等并发症时,可以考虑内镜下治疗或外科手术治疗。
5、失弛缓治疗:
对于合并真菌感染的食管失弛缓患者,需进行有效的失弛缓治疗,否则食管炎很难治愈。
六、预后和预防
霉菌性食管炎一般预后较好,正规治疗1-2周一般就能治愈,但容易复发,所以
除了积极的治疗,在平时要注意保护肌肤清洁和干燥,避免外源性感染;
去除各种诱因,提高患者的机体抵抗力,对于治疗霉菌性食管炎,避免重复感染很重要。对于重症患者,去除病因更为重要。
另外,饮食上不吃辛辣刺激食物,进食易消化、高营养食物,避免粗糙、生冷食物;不抽烟不喝酒。
主要参考文献:
①姜泊等《胃肠病学》2015版
②葛均波等《内科学》第8版
③潘西川等《感染性食管疾病的联合用药》
④郭远征《放化疗导致霉菌性食道炎6例治疗体会》
感谢关注胃肠病:科学、严谨、专业、通俗
撰稿:郭远征 副主任医师 兼职教授 漯河公益医院
编辑:泽菁