后牙直接修复的10条贴示


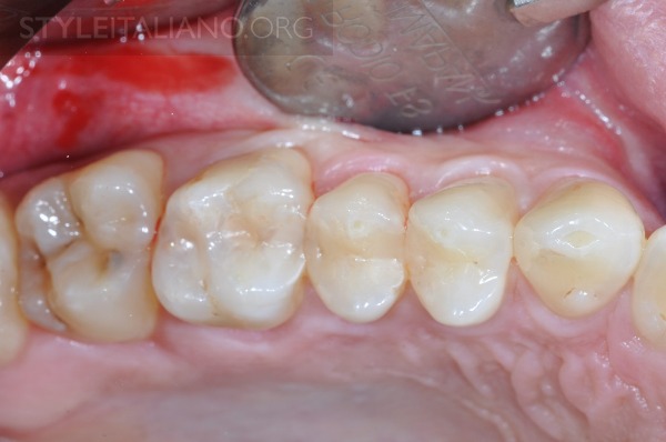
图1 麻醉后,治疗象限术前图

图2 第1条规则:在清除龋坏牙体之前,用橡皮障进行正确隔离。 没有唾液污染,您可以获得更好的粘接力。
贴示 1:在清除龋齿时使用木楔子来保护橡皮障,否则在颈缘处可能会被车针磨破,那么在粘接程序之前需要更换它。

图3 第2条规则:预备龋洞,清除所有的龋坏牙体,并用精细金刚砂或多刃钨钢车针精修牙釉质,以便与釉质完美粘接,并避免无基釉质分离和微渗漏。
贴示 2:可能发生的情况是,在木楔移除之后,会发生少量出血,如24远中、25近中。 在放置成形片和新的楔子之前,注意适当地洗涤消毒并且控湿。
贴示 3:用甘氨酸清洁牙本质,并用2%氯已定进行消毒。

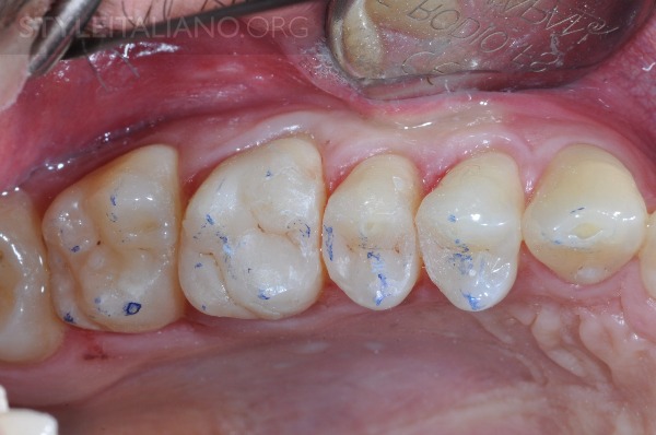
图4
贴示 4:没有必要一次一个或所有的成形片一起放置。 这取决于你喜欢什么,能够做什么,没有人可以说一种方式比另一种更好。 把它们放在一起的好处是节省了时间,不会污染邻居的洞腔,也不需要逐一完善修复工作,然后放置另一个成形片。 缺点是更不好控制,需要更多的经验才能做到这一点。
贴示 5:采用选择性酸蚀刻和通用(第8代)粘合剂以自酸模式进行粘接。

图5 第3条规则:首先开始建立邻壁,以便改变II类洞为I类洞。
贴示 6:在去除成形片之前,在牙本质和之前建立的邻壁间隙之间施加一点流动树脂,否则你在拉成形片时可能去掉邻壁。

图6 第4条规则:在分层和塑形工作结束前不要移除楔子,以避免从下方牙龈渗血的风险。
贴示 7:在开始分层充填可压缩复合材料之前,在粘接剂上使用流动树脂,以使粘接剂本身具有更好的转化并抵消C因子。

图7 第5条规则:在分层技术中没有哪一种是最好的。 你可以选择水平的,垂直的或倾斜的。
水平的是更容易实施,但要记住,你的目的是达到一个好的结果,没有别的,你可以用任何一种分层技术。

图8 塑形后,精修和抛光之前的细节。
贴示 8:使用简单的塑形技术,不需要再现天然牙中不存在的东西。

图9 精修和抛光后的细节。
贴示 9:在复合材料上使用多刃的钨钢车针,而不是用于精细的金刚车针,它会更温和,而且在修形完成后不易损伤牙釉质。

图10 抛光后的细节
贴示 10:使用超级钻石膏来抛光你的修复体,只有一个就足够了。 用刷子或抛光轮使用它。

图11 咬合检查:需要一些更正,立即执行。

图12 拆除橡皮障后的解剖结构细节

图13 拆除橡皮障后的解剖结构细节

图14 术后六个月,咬合检查

图15 术后6个月,解剖、形态和色泽。

图16 术后6个月,解剖、形态和色泽。