
航小医第908期推送

你吃东西塞牙时
习惯使用牙签吗?
近日,湖南航天医院口腔科接诊一位长期使用牙签剔牙导致牙槽骨已经完全吸收的患者,目前正在接受相关治疗。

PART
01
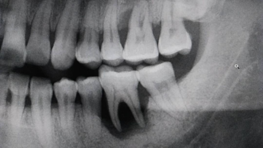
近日,一位牙松动不能再行使牙齿功能的患者前来湖南航天医院口腔科就诊,外表看上去完好无缺的牙,却已出现明显松动。
口腔科宋春雁主治医师问其原因得知,患者每天饭后感觉有食物塞住牙缝,经常使用牙签剔牙,有时戳到牙龈出血,就会感觉舒服很多。

(如图,患者左下第一磨牙(即下颌倒数第二颗)的牙槽骨已经完全吸收,还是个比较标准的“凹”字型坑,这形状在牙签使用频率高的牙齿上多见。)
PART
02
口腔医生介绍道,牙齿可以看成一颗颗的树,而它们生长的土壤就是上下颌骨的牙槽骨部分,树会因水土流失难以存活,牙齿也会因牙槽骨吸收而难以保留。
PART
03
牙签一是太硬,不能拐弯,二是太粗,不易塞入牙齿邻面间隙。若强行使用牙签,首先会破坏牙龈。
引起牙龈出血、牙龈炎,那些用牙签戳出血就舒服了的情况,都是明显的提示。

(不同类型的牙线)
如不控制,进一步会引起牙槽骨的吸收,导致牙齿松动,当牙槽骨吸收过多牙齿就不能保留了。

(不同类型的牙线)
后续治疗的代价,可以类比水土流失土壤沙漠化的治理情况。
塞了食物,不用牙签又怎么办呢?
用牙线!牙线的使用方法:
①取一段长约15~20cm的牙线,用双手的示指和拇指将线圈绷紧,两指间相距约1.0~1.5cm;也可两端并拢打结,形成一个线圈。(也有已经裁好了的牙线,就更简单了)
②将牙线轻轻从邻面通过两牙之间的接触点。如接触点较紧不易通过时,可做颊、舌向拉锯式动作,即可通过。
③将牙线紧贴一侧牙面的颈部,并呈C形包绕牙面,使牙线与牙面接触面积较大。
④牙线贴紧牙面并进入龈缘以下,由龈沟向牙冠方向移动,以“刮除”牙面上的菌斑,每个邻面重复3~4次。
⑤随即将牙线包绕该牙间隙中的另一侧牙面,重复③、④。
⑥将牙线从该邻间隙取出,放入相邻的牙间隙中,重复③~⑤。
口腔科咨询电话:
0731-88935314
——END——
———————————————
作者:邓旋 赵敏
———————————————
主编:彭昱
执行编辑:湖南医聊