
儿童坠楼事件一直以来都是一个很大的社会问题,在网上用"儿童坠楼"为关键词进行搜索,那结果可真是触目惊心。

显然,儿童坠楼的惨剧如此密集上演,再次向社会、向每一位家长敲响了警钟。
儿童坠楼成为社会问题

上周,一位1岁的男宝宝,从二楼意外坠落,头部着地,家属发现后迅速将患儿送往小儿外科,接诊后立即启动创伤应急方案。

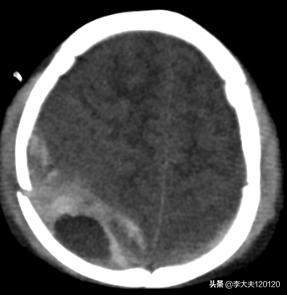
急诊查头颅CT:双侧额顶部硬膜外血肿、顶骨骨折、顶枕部皮下血肿。
见到患儿时,患儿处于昏睡状态,急诊头颅CT显示“硬膜外血肿、顶骨骨折”, 情况非常危急。
孩子怎么样?会不会有后遗症?主任,求求你救救我的孩子!
医生立即为患儿进行紧急会诊
患儿出血量大于30ml,伴有意识障碍,过早手术会导致减压后左侧硬膜下血肿,风险增加。
孩子目前状态有等待机会,积极排查是否有其他脏器损伤出血可能。严密观察病情,做好随时手术的准备。

三个小时后,患儿意识障碍加重,立即复查头颅CT:血肿量增加。
与家属沟通后,立即将患儿送往手术室,全麻状态下,行“右顶枕部开颅硬膜外血肿清除术”。
术后CT图片

目前患儿恢复良好


孩子是我们的未来,坠楼事故令父母伤痛让旁人惋惜,也给广大家庭敲响警钟,一定要看管好孩子,避免孩子坠楼事件的发生。
温馨提醒
发生高空坠落后,要快速取出孩子身上的各种用具以及口袋中的硬物,解开孩子的衣领扣,将孩子的身体平移到担架或木板上,平稳快速地送往医院。千万不要直接抱起孩子或者抬起身体的一侧,应让孩子保持脊柱伸直的姿势,以免发生或加重截瘫。
小儿由于好奇心强、运动发育不健全且缺乏保护意识,经常会有意外伤害,其中头部外伤占据很大一部分,一般受伤不重时,过一会就平安无事了。

但从高处跌下,被石头、木棍击伤头部,或被车撞伤头部,这种外伤无论出血与否,都比较严重,这种情况下,小儿头部外伤无论轻重都需要严密观察至少24小时以上。

小儿头外伤注意事项
小儿头部受伤后,不管重不重,都要注意观察24小时以上,主要观察神志变化。
头部受伤的小儿要控制活动,不能做剧烈活动。
小儿头部外伤后,如果睡觉休息(包括晚上睡眠),应该每隔一两小时喊醒一次,以区别小儿是否出现昏迷、嗜睡。
不要给孩子服镇静药,没经诊治的也不要服止痛药,以免这些药物掩盖头痛症状,使正常睡眠与神志不清出现的嗜睡混淆。
受伤儿不需要特殊食物,但不宜吃的太多。


小儿头外伤自查三部曲
(1) 最先出现的症状是消化道症状,包括拒绝进食、厌食、食欲不振、恶心等
(2) 哭闹不止、异常烦躁(和平常明显不同),尽快到医院找到专科医生进行检查,必要时要做头颅CT
(3) 伤后出现昏迷不醒、全身抽搐、反复呕吐或有肢体瘫痪等情况,必须马上到医院抢救治疗。