大家好,我是57chao,手术包里都是健康科普知识,您可以先订阅以后再看或者转发给你关心的人。
早上刷牙出血,咬苹果出血,这是得了什么病吗?刷牙出血是不是已经困扰你很久了,其实这是牙龈炎的表现,得了牙龈炎要怎样办呢,怎样才能刷牙不出血呢?今天小编我就给大家科普一下牙龈炎的治疗。

大家可能会问,我每天都认真刷牙,一天至少两次,为什么会的牙龈炎?那我来给你问问诊:
1.你是饭前刷牙还是饭后刷呢,如果饭前刷,那就错了;
2.刷牙时你是横刷呢还是竖着刷,横着刷就错了;
3.塞牙了,你是用牙线呢还是用牙签,用牙签就错了。
上面你错了几项呢,如果都错了,那牙龈炎肯定会找上你。

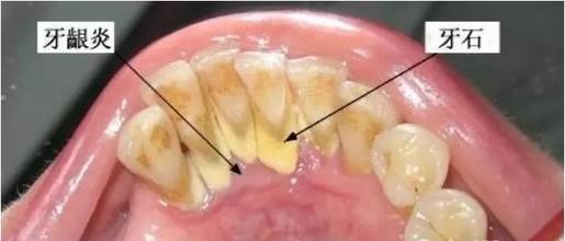
牙龈炎是细菌堆积到一定程度的表现,细菌在牙龈够了钙化,形成硬硬的牙结石,如果这些牙结石长期得不到清理,那么牙龈炎进一步发展就成了牙周炎了,如果发展为牙周炎再不进行干预治疗,那牙齿慢慢就要掉光了。所以,为了不让牙齿掉光,那就赶紧洗牙吧。

牙结石分为龈上和龈下,去医院洗牙,现在都是超声洁治。用超声频率将牙结石震下来,这种震下来的牙石就是龈上牙石,大多数牙龈炎不是很重的患者,只做龈上治疗就可以了,也就是常说的洗牙,但是有些炎症厉害的患者,还要做龈下刮治,这个是要将牙龈切开,医生手动器械去刮,这个想想都疼啊。所以,为了不把牙龈切开,赶紧去洗牙吧。正常的洗牙频率是一年一次。如果你牙结石比较严重,那就要频率高点,半年洗一次。

洗牙之后有的人会感觉牙缝变大了,牙齿洗松了,这是完全错误的,没洗之前,牙缝之间都是结石包裹和填塞,洗完之后牙结石没了,你主观感觉牙缝大了,其实是变干净了。
大家好,我是57chao,手术包里都是健康科普知识,您可以先关注我的微信公众号shoushubao以后再看。大家有什么问题可以留言,我会从留言里面选问题写专题回答。
(图片来自网络,侵删)