
本文就CSP的早期超声表现与分型、早期超声检查所见及临床表现对最终结局的影响、超声漏诊误诊的原因及临床后果、早期超声引导下病灶局部注射甲氨蝶呤治疗的有效性及安全性等进行探讨。

近20年来随着剖宫产率的不断攀升,剖宫产术后子宫瘢痕妊娠(cesarean scar pregnancies,CSP)的发生率也越来越高, CSP是剖宫产的远期并发症之一,此症易漏诊误诊[1],未及时正确处理可出现子宫破裂和难以控制的大出血,危及患者的生命,为挽救生命有时不得不切除子宫,使患者丧失生育能力[1-2]。早期明确诊断,及时正确处理,能有效避免并发症的发生,保留生育功能。
随着二胎政策的放开,CSP的问题变得更加突出,CSP的早期超声检查特征性表现、漏诊误诊的主要原因及危害、自然临床进程与结局的影响因素以及如何进行临床处理都是广受关注的热点。
本文就CSP的早期超声表现与分型[3]、早期超声检查所见及临床表现对最终结局的影响、超声漏诊误诊的原因及临床后果、早期超声引导下病灶局部注射甲氨蝶呤治疗的有效性及安全性等进行探讨。
1CSP的超声检查表现与分型
1.1典型CSP的超声表现
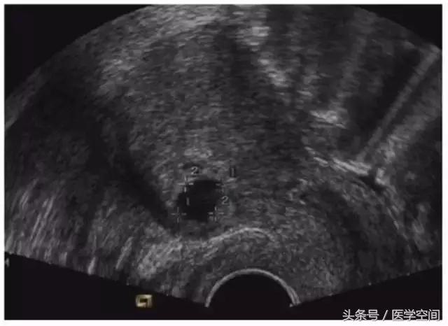
CSP是指妊娠囊着床在前次剖宫产子宫切口的瘢痕处,典型CSP的超声表现主要有:妊娠囊位于前次剖宫产子宫切口处,宫腔内及宫颈管内没有孕囊,邻近膀胱处的子宫肌层变薄(见图1)。呈典型表现的瘢痕妊娠CSP超声诊断很容易。

图1典型CSP的超声表现
1.2不典型CSP的超声表现
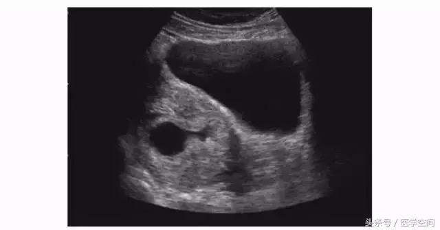
又分为两种类型,第一种为宫腔内见孕囊型,孕囊多位于宫腔下段(较大孕囊可充满整个宫腔),但孕囊部分种植于剖宫产子宫瘢痕处,彩色多普勒超声(CDFI)检查瘢痕部位常可见较丰富血流信号(见图2);第二种为瘢痕部位包块型,子宫剖宫产瘢痕处未见孕囊,可见不均质低回声包块,其周边常可见较丰富血流信号(见图3)。不典型CSP容易漏诊及误诊。

图2不典型CSP的超声表现

图3不典型CSP的超声表现
2 早期超声检查所见及临床表现的影响
早期超声检查诊断为CSP的孕妇如果采用期待疗法,最终结局包括早孕期严重的阴道出血、腹痛及出血等临床表现需要治疗、无并发症的流产、有并发症需要干预的流产,早中孕期子宫破裂、早中孕期的子宫切除、晚孕期出血、晚孕期子宫破裂、晚孕期子宫切除、孕妇死亡、胎盘的不正常侵入(abnormally invasive placenta,AIP)、穿透性胎盘植入、活产胎儿。
一项包括了69例CSP的17篇论文的荟萃分析[4]研究结果显示:69例CSP中52例有胎芽/胎心搏动,17例无胎芽/胎心搏动,无并发症的流产在有胎芽胎心搏动与无胎芽胎心搏动组中的发生率分别为13%与70.6%,有并发症需要干预的流产发生率分别为20%与29.4%。无胎芽胎心搏动组中仅1例发生了孕早期的子宫破裂;有胎芽胎心搏动组中孕早中期子宫破裂的发生率是9.9%,全组的子宫切除率是15.2%, 76.8%的孕妇妊娠进展到了孕晚期,29.6%的孕妇经历了严重出血,最终手术与病理证实了分娩时75%的AIP且超过半数为穿透性胎盘植入。
由以上荟萃分析研究可以看出:有胎芽与胎心搏动的CSP孕妇有着很高的发病率,包括大出血、早期子宫破裂、子宫切除及严重的AIP,尽管如此,有相当比例的孕妇妊娠可以进展到近足月或足月;而无胎心搏动的孕妇出现需干预的并发症发生率较低。
由于严重的有症状的CSP病例绝大多数都不会采用期待疗法,故CSP的实际并发症发生率应高于荟萃分析研究的结果。
3 超声漏诊误诊的原因及临床后果
3.1CSP超声漏诊的原因及临床后果
孕囊部分着床于剖宫产子宫瘢痕处而孕囊主要位于宫腔内的不典型CSP(见图4)易被忽略,这类CSP常常被当成了正常宫内早孕,有出血症状时会被认为是先兆流产,对这类患者进行药物流产或人工流产常会导致阴道淋漓出血或大出血需急诊手术干预治疗,有时不得不切除子宫。

图4不典型CSP的超声表现
3.2CSP超声误诊的原因及临床后果
CSP超声漏诊进行了药流或人工流产、CSP自发流产不干净的患者,行超声检查时常表现为子宫剖宫产切口瘢痕处的不均质低回声肿块,CDFI在肿块周边常可探及丰富的血流信号(见图5),脉冲多普勒超声检查可探及低阻滋养动脉血流频谱,经验不足者可能会误诊为滋养细胞肿瘤,继而施以化疗。

图5不典型CSP的超声表现
4早期超声引导下病灶局部注射甲氨蝶呤治疗
鉴于CSP患者并发症的高发病率及多数患者的严重后果,早期明确诊断,给予适当处理能大大减少严重并发症的发生率,笔者的团队开展了超声引导下CSP病灶局部注射甲氨蝶呤(Methotrexate,MTX)的微创治疗,取得良好疗效[5]。
4.1治疗对象的选择
孕早期的CSP患者,病情平稳,无阴道大出血,超声检查诊断为典型或不典型CSP,自愿接受治疗并签署知情同意书,化验血常规、血清四项(乙肝、丙肝、艾滋、梅毒)、凝血四项结果均正常,血HCG值明显升高。
4.2治疗方法
根据病灶位置选择经阴道或经腹壁超声引导下穿刺,首先进行穿刺部位的消毒、铺无菌巾,超声引导探头外罩无菌保护套,安装穿刺引导支架,在超声实时引导下进行穿刺,避开膀胱、肠管、血管等脏器结构,使用21G PTC穿刺针,将针尖刺入孕囊内或不典型CSP低回声肿块血流信号丰富处,抽出孕囊内羊水后或直接在肿块血流信号丰富处注入MTX 50mg~75mg(溶入1ml~2ml注射用水),拔针结束治疗。治疗次日开始口服米非司酮25mg, 2次/d,连服3天。
4.3患者管理
通常患者都是门诊治疗(配合妇产科住院患者的治疗除外),治疗前详细告知CSP自发大出血的风险,嘱咐并在超声引导介入治疗报告单上注明治疗后一旦出现阴道流血多于月经量及时来医院就诊,治疗后每周抽血复查血HCG,了解HCG值的动态变化情况直至HCG值恢复正常,必要时3周~4周后复查超声检查,观察病灶大小及血流信号的变化情况,HCG值正常后复查超声亦恢复正常为治愈。
4.4CSP早期超声引导下病灶局部注射MTX治疗的有效性及安全性
迄今,笔者所在的团队已治疗了70余例CSP患者,开展此项治疗的早期阶段,有6例患者间隔3周~4周进行了2次穿刺治疗,4例患者治疗后5天至20余天出现了大出血并进行了相应处理,其余患者经治疗1个月至4个月后痊愈,其中有1例治疗3个月后HCG恢复正常,但超声检查瘢痕部位有异常回声肿块行清宫术,病理提示为退变组织及胎盘绒毛样残影,并见少许炎细胞浸润。
4.5CSP孕早期超声引导下病灶局部注射MTX治疗后血HCG值的变化情况
治疗前HCG值均升高(数千~18万mIU/ml),治疗一周后部分患者的HCG值不降反升,两周后所有患者的HCG值均下降,因而不是治疗后所有患者的HCG值均立即下降,部分患者呈第一周先上升、第二周才开始下降的变化曲线。
4.6CSP孕早期超声引导下病灶局部注射MTX治疗后大出血患者的情况
4例患者发生介入治疗后5天至20余天内阴道大量出血,这4例患者的共同特点是停经时间较长(8周左右)、治疗前血HCG值较高(分别为3.7万mIU/ml、4.4万mIU/ml、9万mIU/ml、18万mIU/ml),治疗前均有阴道少量出血或大出血。大出血后均进行了子宫动脉栓塞,外加清宫术、再次病灶局部注射MTX、手术切除病灶修复瘢痕等治疗后痊愈,1例栓塞并清宫术后仍持续出血行子宫切除术(术前HCG 18万mIU/ml的患者),该患者因高龄怀上二胎,一开始不愿放弃胎儿,故一直拖延到发生阴道出血、血HCG值已高达18万mIU/ml以上才接受治疗,错过了最佳治疗时机导致子宫不保。
总而言之,70余例CSP患者接受了早期超声引导下病灶局部注射MTX 治疗,创伤轻微,然而疗效很确切。4例治疗后发生大出血的患者都是停经8周左右、治疗前均有出血且血HCG较高的患者。故进行CSP患者超声引导下病灶局部注射MTX治疗,一定要把握好适应证,停经时间过长(>8周)、已有阴道出血且血HCG值明显升高者不适合单独采用病灶局部注射MTX治疗,该类患者采用包括子宫动脉栓塞治疗在内的综合治疗处理更为合适[1,6]。
4.7CSP孕早期超声引导下病灶局部注射MTX治疗的优势与不足
此疗法的最大优势是可以门诊治疗,治疗创伤微乎其微,痛苦小,治疗费用低,由于MTX是一次性注射到病灶局部,药物的用量少、全身毒性影响小,患者可以正常地生活与工作。缺点是通过MTX的药物作用使滋养细胞坏死、凋亡,继而终止妊娠进程,再由机体吸收或自然脱落清理坏死组织,历时较长。
参考文献
[1]中华医学会计划生育学分会.剖宫产瘢痕妊娠诊断与治疗共识[J].中华医学杂志, 2012,92(25):1731-1733.
[2]梁宝权,郑 艾,李春梅.203例剖宫产瘢痕妊娠的临床分析[J].实用妇产科杂志,2011,27(5):391-393.
[3]袁 岩,戴 晴,蔡 胜,等.超声对剖宫产瘢痕妊娠的诊断价值[J].中华超声影像学杂志,2010,19(4):321-324.
[4]GAL G,TIMOR-TRISCH I E,PALACIOS-JARAQUEMADA J,et al.Outcome of Cesarean scar pregnancy:a systematic review and meta-analysis[J].Ultrasound Obstet Gynecol,2017,doi:10.1002/uog.17568.
[5]李 晨,汪龙霞,王萍平,等.超声引导下局部注射甲氨蝶呤治疗剖宫产瘢痕妊娠[J].中国医学影像技术,2015,31(1):86-89.
[6]曹漫瑞,何健龙,刘炳光,等.剖宫产疤痕妊娠的子宫动脉栓塞并清宫治疗[J].临床放射学杂志,2009,28(4):553-555.
来源:选自医学空间战略合作伙伴 《医学与哲学》2017年第38卷第10B期(总第583期),15-17页, 转载请标 明出 处!

医学空间-让连接有价值
四大主版块:MS.TV,医学文献,行业资讯,医友圈