
1、硬膜和颅板结合及其紧密,分离及其困难,在颅缝结合处尤其密切,不能分开,所以硬膜外的血肿必定是动脉出血,多是脑膜中动脉的分支,因为只有动脉破裂才能有足够的压力分离硬膜和颅板。那么也只有颅板骨折才能造成动脉管壁的撕裂,所以A、硬膜外血肿几乎都伴有骨折。B、如果骨折不跨越颅缝,那么血肿肯定不跨越颅缝。C、梭型。D、急性时都是高密度。
2、硬膜下的血肿,多来源于桥静脉的出血。静脉的压力低,出血量可以多,可以少,可以慢性,由于位于硬膜下,所以跨越颅缝很常见,尤其是老年人的慢性出血。密度可以高,可以低,可以由于反复发作,高低不均,可以有液-液平。新月形多见,尤其慢性出血,多数没有外伤史,即使外伤,也多是先出血压迫造成自己摔倒;急性的外伤少量出血时,可以局部呈梭型,但是吸收很快,而硬膜外很难自行吸收。
3、如果骨折同时撕裂了硬膜,当然可以出现硬膜外、硬膜下同时出现血肿的,但此时必定有骨折。


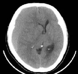
慢性硬膜下血肿CT图片

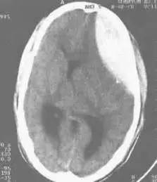
硬膜外出血CT图片
硬膜下血肿:呈新月形. 急性硬膜下血肿在脑表面呈新月形或半月形高密度区。而慢性硬膜下血肿在颅骨内板下可见一新月形、半月形混杂密度或等密度阴影,中线移位、脑室受压。
硬膜外血肿CT:呈梭形.硬膜外血肿是位于颅骨内板与硬脑膜之间的血肿,好发于幕上半球凸面,约占外伤性颅内血肿30%,其中大部分属于急性血肿,次为亚急性,慢性较少。硬膜外血肿的形成与颅骨损伤有密切关系,骨折或颅骨的短暂变形,撕破位于骨沟的硬脑膜动脉或静脉窦引起出血或骨折的板障出血,90%的硬脑膜外血肿与颅骨线形骨折有关。
发病原因及发病机制
硬膜外血肿主要以急性发生为主,占86%左右,有时并发其他类型血肿。多因头部受过外力直接打击,产生着力点处的颅骨变形或骨折,伤及血管所致,血肿一般发生在受力点及其附近,因此可根据骨折线通过脑膜血管和静脉窦的部位来判断血肿部位。损伤脑膜中动脉引致硬膜外血肿占3/4,其次是损伤静脉窦、板障静脉等而导致血肿。出血积聚于硬膜与颅骨内板分离处,并随着血肿的增大而使硬膜进一步分离。
硬膜外血肿以额颞部和顶颞部最多,这与颞部含有脑膜中动、静脉,又易为骨折所撕破有关。发展急速的硬脑膜外血肿,其出血来源多属动脉损伤所致,血肿迅猛增大,可在数小时内引起脑疝,威胁病人生命。若出血源于静脉,如硬脑膜静脉、板障静脉或静脉窦,则病情发展稍缓,可呈亚急性或慢性病程。
常见于青壮年男性颅骨线形骨折的病人,以额颞部和顶颞部最多。硬膜外血肿的临床表现可因出血速度、血肿部位及年龄的差异而有所不同,但从临床特征看,仍有一定规律及共性,即昏迷—清醒—再昏迷。
意识障碍
由于原发性脑损伤程度不一,这类病人的意识变化,有三种不同情况:
⑴原发性脑损伤较轻,伤后无原发昏迷,至颅内血肿形成后,始出现进行性颅内压增高及意识障碍,这类病人容易漏诊。
⑵原发性脑损伤略重,伤后曾一度昏迷,随后即完全清醒或有意识好转,但不久又再次陷入昏迷状态,这类病人即具有“中间清醒期”的典型病例,容易诊断,但这类病人在临床中不足1/3。
⑶原发性脑损伤严重,伤后持续昏迷,且有进行性加深表现,颅内血肿的征象常被原发性脑挫裂伤或脑干损伤所掩盖,较易误诊。
CT表现:硬脑膜外血肿绝大多数(85%)都有典型的CT特点:在颅骨内板下方有双凸形或 硬膜外血肿梭形边缘清楚的高密度影,CT值40HU-100HU;有的血肿内可见小的圆形或不规则形的低密度区,认为是外伤时间太短仍有新鲜出血(较凝血块的密度低),并与血块退缩时溢出的血清混合所致;少数血肿可呈半月形或新月形;个别血肿可通过分离的骨折缝隙渗到颅外软组织下;骨窗位常可显示骨折。此外,血肿可见占位效应,中线结构移位,病变侧脑室受压,变形和移位。静脉源形硬膜外血肿因静脉压力低,血肿形成晚,CT扫描时血肿可能溶解,表现为略高密度或低密度区。少数病人受伤时无症状,以后发生慢性硬膜外血肿,这时作增强后扫描可显示血肿内缘的包膜增强,有助于等密度硬膜外血肿的诊断。
MRI表现:血肿发生的部位多位于直接接受*力暴**的位置,多有局部骨折,头皮血肿,一般血肿较局限,不超越颅缝的界限。硬膜外血肿的形态改变和CT相仿。血肿呈双凸形或梭形,边界锐利,位于颅骨内板和脑表面之间。血肿的信号强度改变,与血肿的期龄有关。急性期,在T1加权像,血肿信号与脑实质相仿。在T2加权像血肿呈现为低信号。在亚急性和慢性期,在T1和T2加权像均呈高信号。此外,由于血肿占位效应,患侧脑皮质受压扭曲,即脑回移位征。与颅骨内极距离增大,脑表面(皮质)血管内移等提示脑外占位病变征象,得出较明确诊断。
1.硬膜下血肿:
硬膜下血肿与硬膜外血肿的病因类似,多是外伤致颅骨骨折后板障或者脑膜血管破裂引起,部位是脑膜与颅骨的间隙之间,但不同的是CT表现为范围较宽的新月形高密度影,可以跨颅缝。
病因
急性和亚急性硬膜下血肿一般为加速性*力暴**引起皮质与静脉窦之间的桥静脉撕断或是脑挫裂伤皮质血管破裂引起出血,多发生在着力点的对冲部位。慢性硬膜下血肿绝大多数有轻微头外伤史,尤以老年人额前或枕部着力。小儿慢性硬膜下血肿双侧居多,常因产伤引起。
1.急性硬膜下血肿
临床症状较重,并迅速恶化,尤其是特急性血肿。中间清醒期较少见,昏迷程度逐渐加深。颅内压增高症状出现较早,脑疝症状出现较快,局灶症状如偏瘫、失语多见。
2.慢性硬膜下血肿
病史多不明确,可有轻微外伤史。慢性颅内压增高症状常于伤后1~3个月后出现如头痛、视物模糊、一侧肢体无力等。精神智力症状表现为记忆力减退、智力迟钝、精神失常等。局灶性症状表现为轻偏瘫、失语等。
3.检查
1.X线平片检查
部分急性硬膜下血肿病人伴有颅骨骨折,慢性硬膜下病人可显示脑回压迹、蝶鞍扩大和骨质吸收。
2.头部CT扫描
急性硬膜下血肿在脑表面呈新月形或半月形高密度区。而慢性硬膜下血肿在颅骨内板下可见一新月形、半月形混杂密度或等密度阴影,中线移位、脑室受压。
3.头部MRI扫描
亚急性或慢性硬膜下血肿MRI的T1和T2均表现为高信号。
诊断
急性硬膜下血肿根据外伤史、颅高压增高情况、伴有局灶体征,结合头颅CT扫描即可明确诊断。慢性硬膜下血肿多发于老年人及小儿。一般在伤后3周至数月出现慢性颅内压增高症状,多数经头颅CT扫描即可明确。
治疗
1.急性硬膜下血肿
出血量较少,无进行性意识恶化,血肿厚度<10mm,中线移位<5mm的急性硬膜下血肿,可暂行非手术治疗。手术治疗采用骨瓣开颅血肿清除和/或去骨瓣减压术。
2.慢性硬膜下血肿
首选颅骨钻孔冲洗闭式引流术。对于血肿囊壁肥厚伴钙化须行骨瓣开颅清除血肿术。


小结
硬膜外血肿首先是要有外伤史,有骨折,伤及头部,颞部、顶部,左右顶前面较多。血肿是比较局限,有梭形,半圆形。对大脑压迫较轻。不是那么太严重,所以有清醒的时候,即有特征的“昏迷-清醒-再昏迷”。
硬膜下血肿,不一定要有外伤史,老人可有慢性的,面积大,广泛,占位较重。
形状是新月形,镰刀形,就是一小片的感觉,多出来的一小片。
小编是靠点赞和分享吃饭哒~

欢迎投稿:2519330936@qq.com
版权申明【本微信所有转载文章系出于传递更多信息之目的,且明确注明来源和作者,不希望被转载的媒体或个人可与我们联系,我们将立即进行删除处理】
(扫描二维或添加微信号:fsslong小编带你入群听讲座)
点击“阅读原文”*载下**【放射沙龙APP】有更好的资料等着你~~