很多女性体检报告提示宫颈炎,医生也没有给予处理措施,但很多女性容不得自己身上存在异常,就想要处理干净,所以就焦虑不安,那这次来谈谈宫颈炎到底要不要治疗。
宫颈炎分为急性宫颈炎和慢性宫颈炎,是否需要治疗主要看有无异常症状,急性宫颈炎常见症状为:阴道分泌物增多,呈黏液脓性、外阴瘙痒及灼热感、腰酸及下腹部坠痛、泌尿系统症状:尿频、尿急、尿痛。做妇科检查时能看到子宫颈充血、水肿、黏膜外翻、有黏液脓性分泌物附着甚至从子宫颈管流出、子宫颈触痛,质脆,触之易出血。

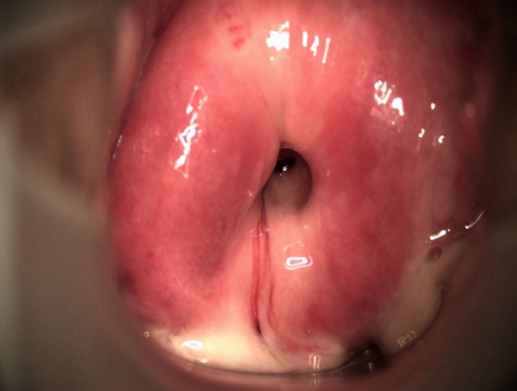
正常宫颈外观

宫颈口有黏液脓性分泌物流出
急性宫颈炎的常见病原体有淋病奈瑟菌、沙眼衣原体,没错,这两个都是性传播疾病的病原体,主要通过*生活性**传播,其他还有内源性病原体,比如细菌性阴道病病原体、生殖道支原体。另外还有部分患者病原体不清楚,有以上临床症状的话需要检查宫颈管分泌物,根据检查结果针对性治疗即可。
慢性宫颈炎可由急性子宫颈炎症迁延而来,也可以为病原体持续感染所致,病原体与急性子宫颈炎相似,可以没有症状,少数患者持续或反复发作的阴道分泌物增多,淡黄色或脓性,*交性**后出血或月经间期出血。妇科检查时在宫颈糜烂样改变的基础上,伴子宫颈充血、水肿、脓性分泌物、增多或接触性出血、黄色分泌物覆盖子宫颈口或从子宫颈口流出、子宫颈息肉或子宫颈肥大。对于慢性宫颈炎,有明确病原体感染的话针对病因给予治疗,对病原体不清者,可以行物理治疗,比如聚焦超声、微波、射频消融、干扰素、LEEP刀手术等。有宫颈息肉的话行息肉摘除术,术后将切除息肉送病理组织学检查。宫颈肥大一般不需要治疗。


另外,宫颈纳氏囊肿也是体检报告常见的问题,也叫宫颈腺囊肿,绝大多数情况下是宫颈的生理性变化,其次是慢性宫颈炎表现,通常不需要处理。

宫颈腺囊肿
总结一下,体检时只要HPV和宫颈TCT结果正常,一般宫颈炎都不需要治疗,定期体检即可。但是如果阴道分泌物有问题,发黄、带血、或者同房后有出血,需要检查宫颈管分泌物,根据检测出的病原体针对性治疗,如果反复迁延不愈,病原体不明,可以采用物理治疗,比如激光、微波等。