来源:影领学苑
MRI检查意义
- 术前分期,决定治疗方案
- 明确病变的范围
- 估计预后
- 术后及治疗后疗效评价
MRI检查方法
- 扫描前准备。
- 扫描范围 :左肾下极水平至会阴平面
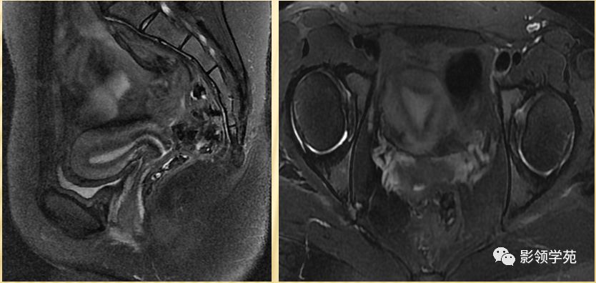
- 扫描序列:SAG T2WI,AXI T1WI+T2WI, COR T2WI 。其中SAG T2WI最重要
- 新技术:DWI
- 增强:动态增强
解剖
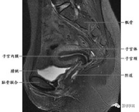
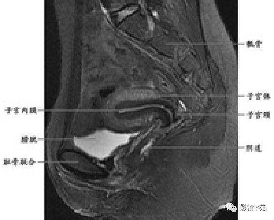
子宫
- 子宫位于骨盆的中央;长约7~8厘米,宽约4~5厘米,厚约2~3厘米,呈倒置的梨形
- 呈前倾前屈位
- 屈:宫体与宫颈间夹角为170度
- 倾:宫体与阴道间夹角为90度
- 前面借膀胱阴道隔与膀胱底相邻;后面借直肠子宫陷凹及直肠阴道隔与直肠相邻
- 分为子宫底、子宫体和子宫颈三部分

T1WI:呈均匀低信号,周围为高信号脂肪
T2WI : 宫体三层:
中心高信号---子宫内膜和分泌物;
中间低信号带---子宫肌内层,亦称结合带;
周围呈中等信号---子宫肌外层
子宫
T2WI图像可显示子宫体三层
结构
- 子宫内膜-高信号
- 结合带-低信号
- 子宫肌层-中等信号

子宫体正常MRI表现



T2WI :
宫颈四层:
高信号---宫颈管黏液
稍高信号---宫颈黏膜皱襞;
低信号---宫颈纤维基质(与宫体JZ连续)
等信号---宫颈肌层
宫颈
T1WI表现为较均匀一致的稍低信号
高分辨率T2WI可看到4层结构
最内层-高信号粘液
粘膜层(柱状上皮)-高信号,低于粘液信号
纤维间质(结合带)-低信号
肌层-中等信号



阴道壁
阴道粘膜 为复层鳞 状上皮
T1WI 呈中等稍低信号
T2WI内带:高信号(上皮、粘液)
外带 :低信号

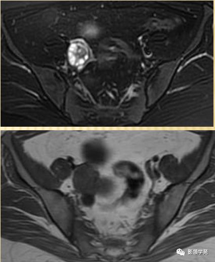
正常MR表现:卵巢和输卵管
卵巢:轴位和冠状面显示较佳,T1WI为中等或稍低信号,T2WI可因多个卵泡结构表现为高信号,但其间质部分仍呈稍低信号
输卵管:无法显示


MRI多方位成像应用

磁共振扩散加权成像,DWI
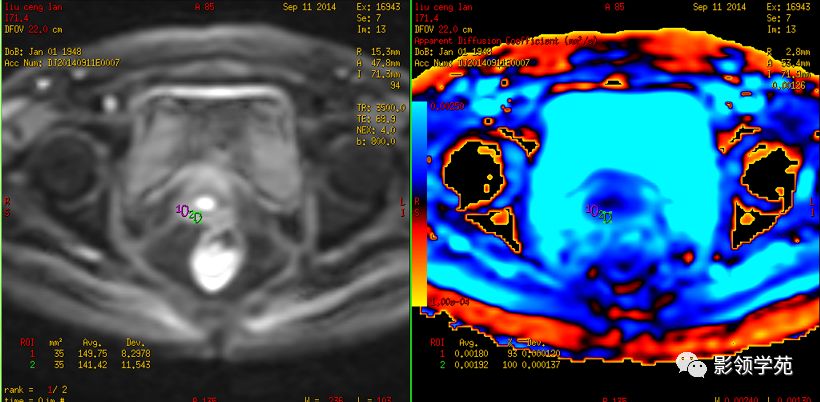
DWI是目前唯一能在活体观察组织水分子微观运动的无创性影像学方法,可以检测出与组织含水量变化相关的形态学和生理学早期改变,并以表观扩散系数(ADC)值来量化表示。


DWI在宫颈癌中的应用

- 45-55岁女性
- 早期症状为接触性出血,晚期不规则阴道出血和白带增多
- 侵犯盆神经时剧烈疼痛,侵犯膀胱和直肠则发生血尿和便血
- 妇检:宫颈糜烂及菜花样或结节状肿物
分期
- Ⅰ期 肿瘤局限于宫颈
- Ⅱ期 肿瘤延伸超过宫颈,但未达盆壁和阴道下1/3( Ⅱ A 无宫旁浸润; Ⅱ B有宫旁浸润)
- Ⅲ期 肿瘤延伸至盆壁和阴道下1/3 ( Ⅲ A 未达骨盆壁; Ⅲ B已达骨盆壁,引起肾积水)
- Ⅳ期 肿瘤延伸超过真盆腔或侵犯膀胱、直肠
宫颈癌MRI表现
宫颈癌可表现为类圆形或不规则形肿块,在T2WI上表现为均匀或欠均匀的高信号,与正常宫颈基质及宫旁脂肪形成良好的自然对比。
MRI
- Ⅰ期肿瘤:侵犯宫颈基质,T2WI等信号肿块,宫颈管扩大及宫颈纤维基质中断
- Ⅱ期肿瘤:宫颈增大,宫旁肿块或宫旁脂肪组织内出现异常信号的粗线状影
- Ⅲ期肿瘤:侵犯至阴道下部,外延至盆壁,或出现肾积水。
- Ⅳ期肿瘤:膀胱壁或直肠壁低信号中断,膀胱壁或直肠壁增厚或腔内肿块。
DWI:局限性高信号,癌组织ADC值<癌旁组织<小于正常宫颈组织
Ⅰ期





IIA期






IIB期


IIA期










宫颈癌术后复发患者,DWI上病灶较T2 fs及T1+C更加明显
DWI显示淋巴结肿大

磁共振动态增强在宫颈癌中的应用
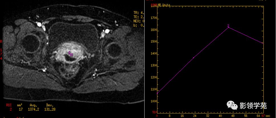
DCE-MRI是一种无创性功能成像方法,利用静脉注射对比剂的同时行连续多层扫描,以获得组织或肿瘤增强的时间-信号曲线(TDC),直接从毛细血管水平反映肿瘤内血流动力学变化,获得肿瘤灌注和毛细血管通透性等参数。
动态增强时间信号曲线
- 恶性肿瘤的动态增强模式多数为早期快速强化后缓慢减低或早期强化后持续强化出现“平台期”;
- 良性肿瘤或正常组织多表现为缓慢持续强化或无强化。
- 对宫颈癌的动态增强研究显示为“速升缓降型,或速升速降型”,动脉早期即明显强化,强化程度高于子宫肌层及宫颈基质,其达峰时间为注射造影剂后30~60 S。静脉期及延迟期逐渐廓清,至延迟期信号强度低于周围基质。


- 对宫颈癌放疗患者的研究显示治疗前肿瘤强化明显或时间信号曲线斜率较大者,治疗后局部复发率较低。他们还发现联合应用宫颈癌的体积和动态增强参数能够区分宫颈癌中高复发风险(>80%)和复发率低者。
- 对接受放化疗的宫颈癌患者动态增强参数行定量和半定量分析,结果显示肿瘤的消退百分率和治疗前的达峰时间、斜率、最大增强斜率、和增强率有显著相关性。治疗后DCE-MRI不仅有助于检测肿瘤残留,而且能早期预测复发和确定适合保守治疗的患者。
MRI 、扩散加权成像(DWI)及磁共振动态增强成像( DCE-MRI)等形态和功能成像技术在宫颈癌中的应用具有重要临床价值,尤其是功能成像能提供形态学以外的有关肿瘤组织的血供状态、肿瘤功能参数信息等。对于宫颈癌预后评估和动态观察放化疗效果,反映肿瘤的分子水平改变等方面显示出极大的优势。
目前MRI功能成像技术在宫颈癌中的应用尚处于起步阶段,缺乏标准化的成像方法,不同软件,不同机型、不同研究者结论存在较大的分歧;因而标准化的成像方法及大样本是确保研究可重复性和可靠性的关键。
【版权声明】本平台属公益学习平台,转载系出于传递更多学习信息之目的,且已标明作者和出处,如不希望被传播的老师可与我们联系删除