门墩儿收到公众号粉丝的私信“宫体前后壁”,超声下如何区分?
首先,我们来熟悉下子宫的解剖以及子宫的方位,不熟悉子宫方位的小伙伴可以看看之前的文章(初学超声,如何准确判断子宫的位置?)。

图源:系统解剖学(人卫第9版)
子宫壁分为三层外层为浆膜,是腹膜的脏层;中层为强厚的肌层,由平滑肌组成;内层为黏膜,即子宫内膜,随着月经周期而发生增生、脱落的周期变化。

医学中的前、后定义为:
前anterior(腹侧ventral)和后posterior(背侧dorsal)是指距身体前、后面距离相对远近的名词。
距身体腹侧面近者为前而距身体背侧面近者为后。
内侧medial和外侧lateral是描写人体各局部或器官结构与人体正中矢状面相对距离远近而言的术语。如眼位于鼻的外侧、耳的内侧。
所以,搞清楚了子宫的解剖和医学解剖的前后,我们就能很好理解前壁和后壁了。
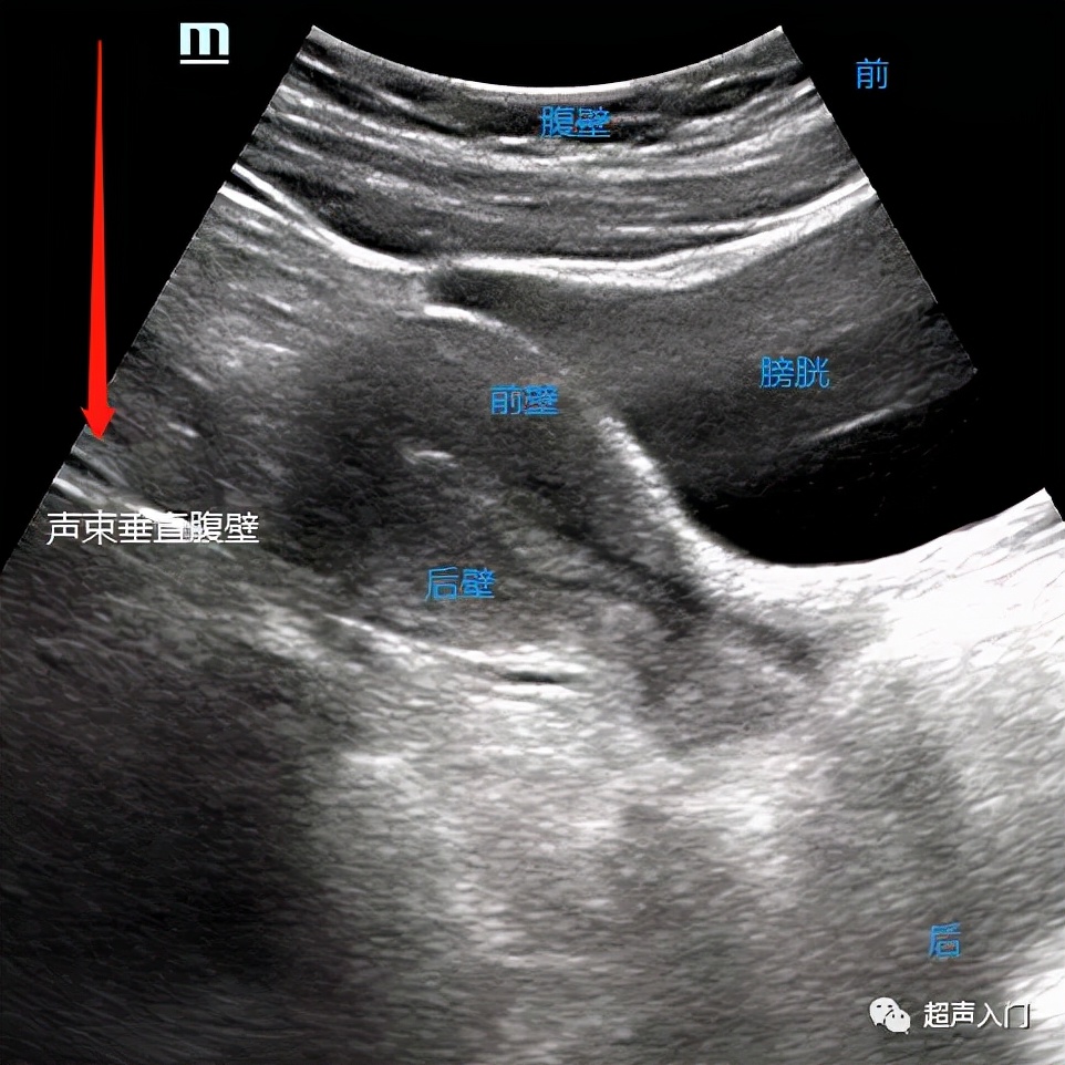
首先我们一起来了解经腹部超声看子宫如何区分前后。当宫体向前(腹壁侧)倾向的时候,我们就说此刻子宫为前位,同理,靠前方的子宫壁,也就称为前壁,子宫壁距离人体背侧近的时候为后壁。

所以经腹部看的超声不管是前平后位子宫,靠近腹侧的子宫壁就称为前壁。
描述清楚子宫壁是为了更好的定位肿瘤、肌瘤或子宫实质病变,给临床提供准确的信息。

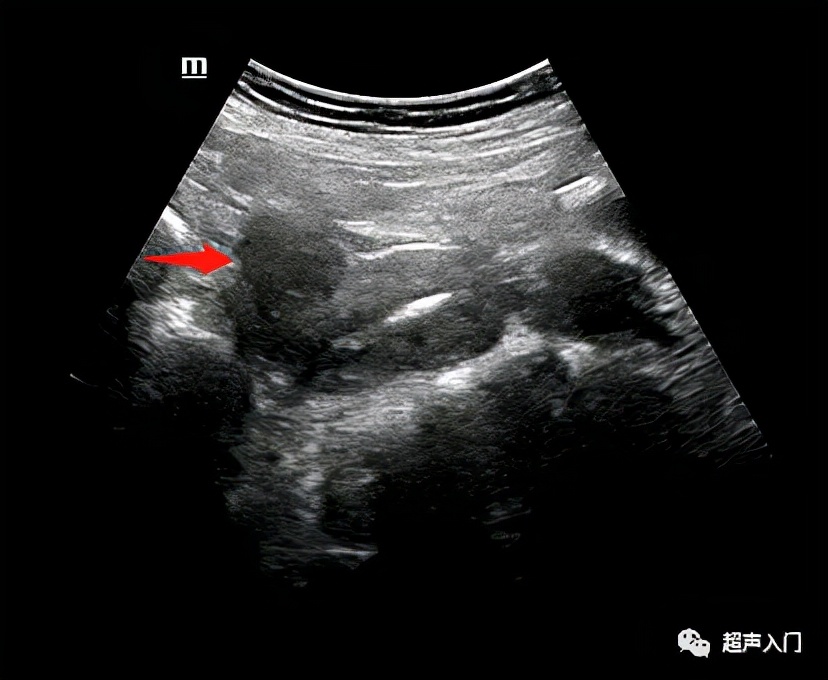
前壁的肌瘤

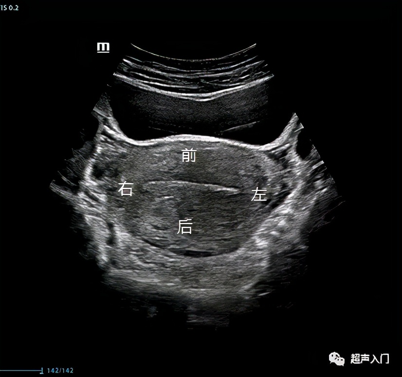
通常为了准确描述占位位于子宫的那个位置,除了前壁、后壁,子宫也有左侧壁,右侧壁。

但大多数时间大家更常直接描述为前壁、后壁。
经阴道超声又如何分前后壁呢?
其实是一样的分发,离腹壁近的是前壁,如离背侧近的是后壁,只不过在阴道超声很多小伙伴不知道如何分前后左右了!
首先,你得明白阴超成像方式。

旋转后的图像

图源:网络
当经阴道超声矢状切子宫时,对应的图像就是下图这样的。

实际设备上的成像
当然,有的老师喜欢用反转后的图像,这个根据个人操作习惯来决定。但不管如何反转,始终是靠近腹侧的是前壁,靠近背侧的是后壁。
所以,如何理解超声下的子宫前后壁,首先需要理解解剖上的前后,再明白超声图像上的前后。