脑创伤开颅术后头皮瓣裂开感染并切口漏,开颅减压术后迟发型脑膨出、脑积水性脑膨出,脑脊液分流术后脑和头皮内陷综合征
患者男性,55岁,河北省邢台市临西县人。
一、在李小勇脑脊液中心入院前病史
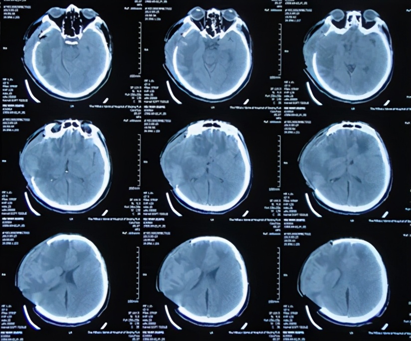
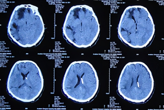
患者于2013年9月17日凌晨因车祸致头部外伤、昏迷,急诊于山东省聊城市某医院就诊,头CT检查发现双额及右颞叶多发脑挫裂伤并右侧脑室受压、中线左移(图-1),当天进行了右侧额颞叶脑挫裂伤血肿清除并去骨瓣减压术,术后头CT:去骨瓣减压术后状态(图-2)。

图-1:2013年9月17日术前头CT

图-2:2013年9月17日术后头CT
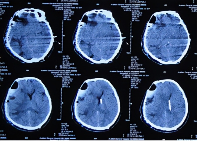
术后,患者减压窗张力持续偏高,并于2013年9月20日即开颅术后第3天,切口出现渗液红肿,给予抗感染及切口换药处理,并行切口分泌物细菌培养(注:2天后报告为阴沟肠杆菌生长)。于开颅术后第4天和第5天即2013年9月21日和9月22日两次行腰椎穿刺,均提示脑脊液压力升高明显。开颅术后第8天即2013年9月25日,行头CT检查:脑膜脑膨出较前加重(图-3),而且这期间头部切口感染仍进行性恶化,且体温升高至39℃以上、颈部僵硬,意识障碍逐渐加重等表现。

图-3:2013年9月25日头CT
在头CT检查当天即2013年9月25日,转至更高级的济南某*队军**医院继续就诊。入院后,继续给予降颅压、抗感染等治疗。在该院共住院4天,其间也发现脑脊液及切口分泌物为阴沟肠杆菌感染,且更为严重的是:手术切口从部分发展至全部裂开,且切口边缘脓苔形成,部分脑组织暴露在外。
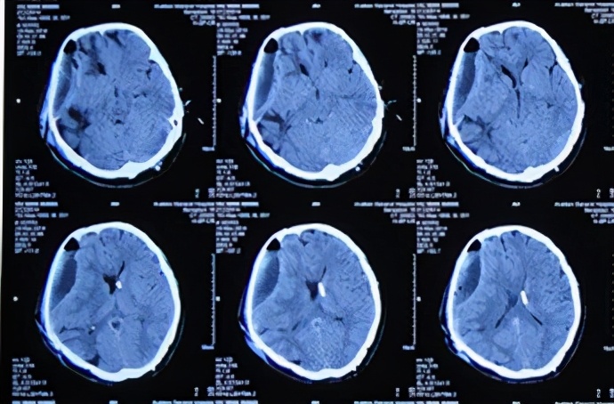
于2013年9月29日即开颅术后第12天(转院后第4天),转至北京某著名的某三甲医院,入院当日行头CT检查:脑膨出及脑肿胀均严重(图-4)。

图-4:2013年9月29日头CT
在该院共住院2天,其间仍给予抗感染及感染切口换药的处理,但感到切口感染和脑组织暴露在外的问题无法解决,便推荐到北京的李小勇脑脊液中心就诊。
二、第1次在李小勇脑脊液中心治疗过程和结果
头皮瓣切口裂开脑膨出并发症的治疗阶段:
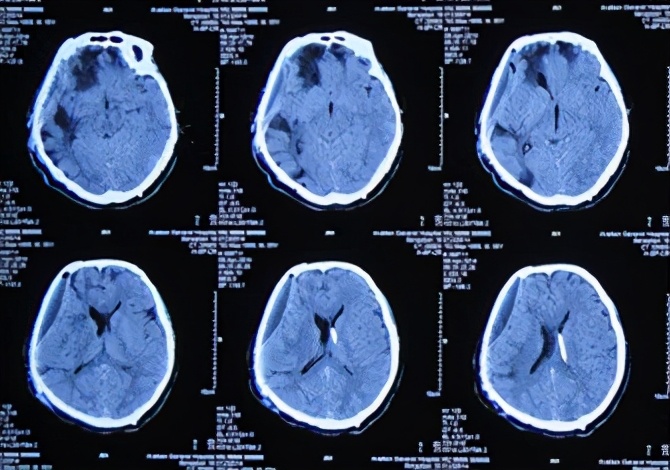
2013年10月1日即开颅术后第14天转来,入院时:意识模糊,躁动,右侧额颞顶减压窗张力高,手术切口感染、敞开,长约14cm,深达颅内,可见部分脑组织暴露,切口边缘可见脓苔,切口周围头皮苍白;左顶部见直径约2.5cm头皮缺损,深达颅骨,周围可见脓胎(图-5)。查头CT:右侧开颅区部分脑组织疝出(图-6)。

图-5:2013年10月1日入院时

图-6:2013年10月1日头CT
当天立即急诊进行了左侧侧脑室引流减压及切口清创和转移皮瓣缝合术(注:缩小脑外露的范围)(图-7)。术后当日复查头CT:脑室引流术后改变(图-8)。

图-7:2013年10月1日术后

图-8:2013年10月1日术后头CT
2013年10月5日即入院术后第4天(开颅术后第18天),复查头CT:脑肿胀及脑膨出均减轻(图-9)。

图-9:2013年10月5日头CT
于2013年10月7日即入院术后第6天(开颅术后第20天),再次复查头CT显示脑肿胀及脑膜脑膨出继续减轻(图-10)。并当天给予行右颞部原伤口的二次缝合术(注:彻底封闭了脑外露)(图-11)。

图-10:2013年10月7日头CT

图-11:2013年10月7日完全封闭脑外露
2013年10月13日即入院术后第12天(开颅术后第26天),再次复查头CT:脑肿胀及脑膨出进一步减轻(图-12)。

图-12:2013年10月13日头CT
2013年10月14日即入院术后第13天(开颅术后第27天),患者意识从模糊好转为意识清醒,左上肢可自主活动,左下肢稍差,患者对医生道了声谢谢。
2013年10月27日即入院术后第26天(开颅术后第40天),但间断叙述头痛并夜间躁动不安,当晚复查头颅CT:脑膨出、脑肿胀进一步改善(图-13)。

图-13:2013年10月27日头CT
2013年10月29日即入院术后第28天(开颅术后第42天),行头CT增强扫描发现右侧大脑半球多发脑脓肿(图-14),遂给予抗感染治疗。

图-14:2013年10月29日头CT增强扫描
2013年11月19日即抗感染21天后即入院术后第49天(开颅术后第65天),再次复查头CT:右侧大脑半球多发脑脓肿及脑膨出均较前减轻(图-15),继续给予抗感染治疗。

图-15:2013年11月19日头CT
颅脑术后脑积水的治疗阶段:
2013年11月21日即抗感染23天后即入院术后第51天(开颅术后第67天),给予试夹闭引流管观察骨窗情况。但在夹毕引流管次日患者出现右侧骨窗膨隆伴嗜睡,复查头CT:脑室系统扩张明显(图-16),再次给予开放脑脊液引流管。

图-16:2013年11月22日头CT
2013年12月17日即继续脑脊液引流25天后即入院术后第77天(开颅术后第93天),进行了侧脑室腹腔分流术,分流术后第1天2013年12月18日术后情况稳定(图-17)。

图-17:2013年12月18日
术后患者恢复良好,但仍间断头痛发作,在2013年12月25日即分流术后第8天(开颅术后第101天),复查头CT:脑室无异常(图-18)。

图-18:2013年12月25日头CT
2014年1月2日即分流术后第16天(开颅术后第109天)出院,出院时:患者可独自站立,脑积水已治愈,但仍存在因颅骨缺损所引起的头痛、头晕不适及左侧肢体活动欠灵活的症状,需择期继续住院治疗(图-19)。

图-19:2014月1月2日
三、第2次在李小勇脑脊液中心治疗经过和结果
脑积水分流术后头皮瓣内沉并发症的治疗阶段:
出院休养2周后,患者出现反应及肢体活动均渐进性迟缓的表现,继续在家观察半个月之后,于2014年2月19日,患者为解决颅骨缺损而再次来院治疗,此时患者已经不能独自站立,且精神差、嗜睡(图-20),当天行头CT检查:有脑内陷表现(图-21)。

图-20:2014年2月19日

图-21:2014年2月19日头CT
在2014年2月25日即第2次住院第6天时(开颅术后第163天),患者接受了颅骨缺损的修补术,术后当天查头CT:颅骨修补术后改变(图-22)。

图-22:2014年2月25日头CT
在颅骨修补术后第2天,患者即有所改善,僵硬的左侧肢体活动较术前灵活。于2014年3月3日即颅骨修补术后第6天(开颅术后第169天),复查头CT:硬膜外积液有所吸收,脑皮质受压较前减轻(图-23),并在此次复查头CT后拔除术区硬膜外引流管。

图-23:2014年3月3日头CT
但在拔除术区硬膜外引流管后的2天,患者开始出现嗜睡加重表现。于2014年3月6日即拔除术区硬膜外引流管第3天即颅骨修补术后第9天(开颅术后第172天),再次复查头CT:硬膜外积液(血)增多,中线结构受压移位加重(图-24)。此时患者尚可唤醒,生命征平稳,遂给予继续观察。

图-24:2014年3月6日头CT
2014年3月9日即继续观察3天后即拔除术区硬膜外引流管第6天即颅骨修补术后第12天(开颅术后第175天),患者出现嗜睡状态较前加重(呼喊无应答)并伴双侧瞳孔不等大,夜间复查头颅CT:右侧硬膜外积液较前增大伴中线左侧偏移(图-25),给予甘露醇250ml静脉点滴后意识稍改善,可唤醒。

图-25:2014年3月9日头CT
但次日晨起即2014年3月10日即拔除术区硬膜外引流管第7天即颅骨修补术后第13天(开颅术后第176天),患者再次嗜睡加重,呼喊无应答,强刺痛可反应。遂给予患者床旁抽吸硬膜外积液,量约40ml,抽吸后患者可自动睁眼(图-26)。留取部分穿刺液行细菌培养,并给予穿刺部位留置负压吸引持续引流硬膜外积液。

图-26:2014年3月10日抽吸硬膜外积液前、后及次日情况
2014年3月16日即留置硬膜外积液持续引流第6天即颅骨修补术后第19天(开颅术后第182天),复查头颅CT:硬膜外积气、液及血均较前缩小,中线受压移位减轻(图-27)。

图-27:2014年3月16日头CT
同时与此前的2014年3月10日留取的穿刺液细菌培养结果报告仍为阴沟肠杆菌。(注:同第1次住院感染情况一致,说明了感染治疗的复杂性和长疗程性)。
在继续硬膜外积液持续引流及静脉抗感染的治疗过程中,患者嗜睡情况逐渐减轻,呼喊可睁眼,可简单言语交流,且左侧肢体活动也逐渐灵活。
2014年3月24日即留置硬膜外积液持续引流第14天即颅骨修补术后第27天(开颅术后第190天),复查头CT:硬膜外积液及中线移位均再次减轻(图-28)。并在此次复查CT后拔除硬膜外引流管,继续给予静脉抗感染治疗。

图-28:2014年3月24日头CT
此后又分别于2014年3月31日(图-29)、2014年4月8日(图-30)、2014年5月5日(图-31)复查头CT显示硬膜外积液逐渐吸收并基本消失。且此期间患者状态也明显改善,已可以下床活动(图-32)。

图-29:2014年3月31日头CT

图-30:2014年4月8日头CT

图-31:2014年5月5日头CT

图-32:2014年4月9日患者可下床活动
2014年5月14日即颅骨修补术后第78天(开颅术后第241天),患者复查头CT:右侧硬膜外积液完全吸收(图-33),并在2天后即2014年5月16日出院,出院时:行走需搀扶,仍存在反应迟钝和肢体活动功能的不足(图-34)。

图-33:2014年5月14日头CT

图-34:2014年5月16日出院
四、出院后随访
出院后1年零4个月即2015年9月29日来院复查,复查时:四肢灵活度进一步改善,出院时留有的反应迟钝进一步改善反应变快,行走需搀扶进一步改善为自己拄拐杖走动,但言语交流差,头CT:未见异常(图-35)。

图-35:2015年9月29日
出院后3年余即2017年7月28日,家属发来视频,生活可以自理,可以独自骑三轮车外出,言语交流基本正常(图-36)。

图-36:2017年7月28日
出院后4年余即2018年8月15日来院复查,复查时:生活自理没问题,虽面部表情较为呆板,但回答问题均正常,走路由需拄拐进一步改善为可以独立行走,但仍走路缓慢(图-37)。

图-37:2018年8月15日
(完)