升麻鳖甲汤为《金匮要略》治阴阳毒方,在治疗:白血病,真性红细胞增多症,血小板增多等血液病,原发性骨髓纤维化的治疗,有显著的的疗效。
现真实案例报告如下:
1 .治疗真性红细胞增多症

病例:于***,男,69岁,2011年12月初诊。患者自诉全身暗青斑7月余,1年前劳累后出现胸闷痛,呈胸前区憋闷感,持续约数分钟,休息可缓解,无肩背放射痛,无呼吸困难。查心电图示“T波改变”。诊断为“冠状动脉粥样硬化性心脏病”,今年4月份于深圳市人民医院,广州多家三甲医院诊疗,诊断为真性红细胞增多症,给予干扰素,羟基脲等治疗效果不显,遂找中医治疗 。
症见面色暗红,肌肤甲错,两目暗黑,唇色紫暗,全身痛,头痛,胸闷,气短,伴心悸,汗出,手足麻木,舌质暗红有瘀斑,苔白厚,脉滑。
中医诊断:阳毒症,证瘀阻脉络。治宜活血通络,予升麻鳖甲汤加味:升麻30克,蟹甲30克,当归15克,蜀椒10克,水蛭15克,雄黄1克,水飞研细末冲服,川芎10克,三七10克,甘草30克,每日1剂,水煎服,共服15剂。
二诊:青斑减轻,效不更方,原方续服15剂。胸闷痛减轻,休息可缓解,心悸改善,头晕头痛减轻,肢体麻木减轻,腰痛减轻,纳眠一般,二便调。
按语:升麻鳖甲汤为《金匮要略》治阴阳毒方,阳毒之为病,面赤斑斑如锦纹,唾脓血,升麻鳖甲汤主之。升麻鳖甲汤方中升麻,鳖甲,主心腹癓瘕坚积寒热 ,去痞,息肉,阳蚀,恶肉。当归,主咳逆上气,温 疟寒热洗洗在皮肤中,诸恶疮疡。雄黄,主寒热鼠瘘,恶疮 疽痔死肌,杀精物恶鬼邪气,百虫毒。蜀椒,主邪气逆咳,温中,逐骨节皮肤死肌,寒湿痹痛,下气。加水蛭,川芎,三七行气活血,散瘀止痛。真性红细胞增多症,面赤红暗如锦纹,肌肤甲错,全身疼痛,身痛如被杖,症如阳毒症,故用升麻鳖甲汤治疗。
2 . 治疗血小板增多症

病例:许***,男,70岁,2011年12月初诊。近2月反复牙龈出血,鼻衄,皮肤淤紫,头痛,眩晕,手足麻木,胸闷,胸痛,气短,在深圳多家三甲医院诊疗,诊断为原发性血小板增多症,给与干扰素,羟基脲等治疗效果不显,遂找中医治疗 。
中医诊断:阳毒症,证瘀阻脉络。治宜活血通络,予升麻鳖甲汤加减:升麻30克,蟹甲30克,蜀椒10克,雄黄1克,水飞研细末冲服,当归30克,川芎10克,三七10克,水蛭15克,甘草30克,每日1剂,水煎服。
按语:升麻鳖甲汤,《金匮要略》治阳毒,治疗血小板增多症在原方基础上加上甘草,川芎,三七,水蛭,意在加强治血化瘀之功,方中升麻,甘草清热解毒,当归,鳖甲治血解毒,雄黄以毒攻毒,蜀椒温阳解毒,阴阳毒为邪毒入侵机体,毒邪入营血所致,故用升麻鳖甲汤加味解毒清营治血化瘀而安。
3 . 治疗白血病
病例:傅***,男,68岁,近3月反复低热,关节疼痛,牙龈出血,鼻衄,皮肤淤紫,在深圳多家三甲医院诊疗,诊断为急性白血病,给与干扰素,羟基脲等治疗效果不显,遂找中医治疗 。
中医诊断 :阳毒症,证瘀阻脉络。治宜活血通络,予升麻鳖甲汤加减:升麻30克,蟹甲15克,蜀椒10克,雄黄1克,水飞研细末冲服,当归30克,川芎30克,甘草30克,每日1剂,水煎服。明显缓解,予服上方加减,随诊3个月见所有症状基本上续步消除。
按语 :本例升麻鳖甲汤加当归,川芎,三七行气活血,散瘀止痛。方中鳖甲主癓瘕坚积,雄黄去恶疮,恶鬼邪气,百虫毒,加当归,川芎,三七以强化瘀治血之功,使毒邪去,血脉通而病愈。
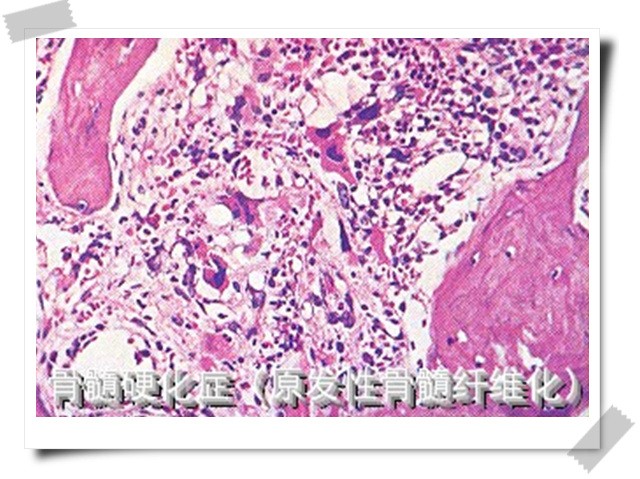
4 . 原发性骨髓纤维化

病例:孙***,女,59岁,身痛,关节疼痛反复发作2年,近3日加重。胸痛,胸闷,气短乏力,腰痛,眩晕,脘痞腹胀,便溏,面色萎黄,舌质淡红,苔薄,脉弱。在深圳多家三甲医院诊疗,因有贫血白细胞计数增加,骨髓活检见有大量网状纤维组织,诊断为原发性骨髓纤维化症,治疗效果不显,遂找中医治疗 。
中医诊断 :阴毒症。予升麻鳖甲汤加减:升麻30克,蟹甲30克,白术10克,仙茅15克,仙灵脾15克,鹿角胶10克(另烊化),黄 芪30克,当归30克, 川芎10克,炙甘草30克,每日1剂,水煎服。
按语 :《金匮要略》阴毒之为病,面目青,身痛如被杖,升麻去蜀椒,雄黄主之。本例升麻鳖甲汤,去蜀椒雄黄加白术,仙茅,仙灵脾,鹿角胶(另烊化),黄芪,川芎。鳖甲,滋阴益肾,软坚去痞,去恶血,阳蚀,恶肉。升麻解时气毒扈,开壅 闭。当归,和气治血。加黄芪,白术益气健脾,仙茅,仙灵脾,鹿角胶益肾补血,川芎活血,共奏健脾益肾,养精补血之功,使骨髓纤维化得以改善。
本文由快问平台名医罗陆一真实案例发表,案例来源自罗陆一主编《罗陆一临证经验集》一书,详细讲解中医在治疗“白血病,血小板增多症,真性红细胞增多症,原发性骨髓纤维化”方面的经验和药方。
(温馨提示:请在医生指导下用药,切勿私自用药。)转载请注明来源和出处,图片素材来自网络,版权归原作者所有。
“快问中医”微博每日更新红楼梦健康养生方,喜欢红学的朋友们可以一起交流,探讨关于红楼梦十二金钗的养生秘密。
微信搜索“kuaiwenyangsheng”,查看更多健康干货,提前报名下期直播活动。在健康的平淡日子里找寻不平凡生活的意义!
