出血,真的就是大问题?
众所周知,血液在血管内正常循环,是生命持续的保障。当然,局部切割、擦损造成的少量出血,不至于构成大问题;但未能及时止住的大出血,不但是大问题,还可能成为“致命元凶”。
除了前述的塌楼、塌方、车祸等外伤之外,生孩子或手术之后、恶性肿瘤、支气管扩张、胃十二指溃疡等等,均可能成为大出血的原因。
外伤引起的大出血常表现为“血流满面”或“血肉模糊”,而内脏的大出血则可表现为便血、尿血、呕血、咯血、阴道流血等多样形式。有时候出血凶猛,不但患者本人慌张、家属束手,就连一些医务人员都可能陷入茫然无措、进退失据的境地。你说,这时的出血问题,究竟大,还是不大?

为免不适,用近似物替代创面流血图
便血的原因有哪些,好不好解决?
便血可能是便出鲜血,甚至是“喷射”出大量鲜血,但带血“便便”的颜色却并不完全是鲜红色的,有可能是暗红、咖啡样色,也有可能是茶色或柏油样黑色。血便的颜色不同,与出血部位高低、出血量大小、在肠道存留的时间长短以及胃肠道内原有内容物不同等都相关。

便便颜色多样,需要鉴别,红的不见得是血,反之亦然
便出鲜血,多由痔疮或直肠息肉等原因造成,肛肠科医生用肉眼或肠镜检查很容易诊断,并及时进行妥当的治疗。然而,整个消化道甚至是胆道的出血都可能只表现为不同颜色的便血。比如前述的食道、胃底静脉曲张破裂出血,如果不是汹涌而出呕出来,出血也会下行经过肠道全程而成为便血。所以,便血的情况可能会很复杂,有时候会很不容易下诊断。

消化性溃疡示意图
临床上经常遇到这样的情况:患者出现便血,内科医生用了不少止血药,又不停地输血,但眼见患者的贫血程度还是越来越严重,从而有束手无策之感;外科医生也觉得为难,因为不知道出血部位到底在哪里,切开探查吧,难道把胃和好几米长的肠管都切开来翻看?
介入诊疗对便血问题有什么价值?
如果仔细看过我前面的文章,你就会有印象,介入诊疗对便血问题一定会有办法,及时请介入科医生出手吧!
的确,介入医生采用血管造影的方式,可以很容易地筛查到出血的“责任血管”,有时还可以明确一些出血的原因如动脉瘤、动静脉畸形或胃肠道肿瘤等。明确诊断后,后续的介入治疗就简单了——栓塞“责任血管”,就可让出血立即停止!而有些病例(如肿瘤)经过介入止血后,由于最好是切除病灶,还可再交给外科医生接着处理——诊断明确了,出血部位弄清了,外科医生就可将病变轻松地“手到擒来”。

消化道出血栓塞前后对比
如果便血是由痔疮引起的,介入也有办法?
那是!虽然痔疮问题基本上是交由肛肠科医生解决,但新近的研究和实践表明,介入科医生也能有所作为。
痔疮,是非常常见的“私隐之疾”,这种“难言之隐”,绝难“一洗了之”。虽然已有多种内科、外科疗法可供选择,但整体来说,内科疗法效果欠佳,而外科疗法痛苦较大,并发症也较多。

难言之隐还很难受
研究表明,来自于直肠肛管周围的动脉血流增加是痔疮形成的重要原因,通过栓塞供血动脉(主要直肠上动脉),将多余的血流“截流”,就能够解决这个恼人的问题。根据现有资料,痔疮介入治疗的技术成功率可达100%,随访一个月的临床成功率为72%,疗效不满意的患者还可再次补充栓塞,同样可获得满意的效果。与外科手术相比,介入治疗痔疮的最大优势在于创伤小、恢复快、安全无痛苦。这正是:轻松去隐疾,介入好神奇!

痔疮出血介入栓塞
尿血的处理有哪些需要注意的?
尿中的血液来自泌尿系统的各个器官(肾、输尿管、膀胱和尿道),也可来自前列腺、精囊腺等生殖器官,而大量血尿多来源于肾,其次是膀胱。对于尿血的原因,根据病史、临床表现和医学影像学检查,一般都会得到比较确定的信息(比如说患者不久前接受过内镜下肾脏取石,基本上肯定就是肾的创伤出血),不像便血的诊断那么难。另一方面,尿血基本上都是动脉性出血,不太需要考虑静脉性因素。

泌尿生殖系统病变均可引起尿血
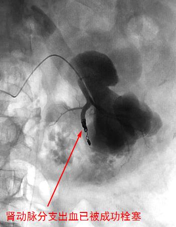
因此,对于大量尿血的处理也相对简单。内科治疗无效而又不必外科手术的,就可以进行介入诊疗。一般经股动脉穿刺入路,进行肾动脉造影找出是哪一支或哪几支动脉血管出血,然后即可对这些分支血管进行栓塞,疗效是有保证的。介入诊疗的好处是能最大限度地保护肾脏,从而免除迫不得已切除创伤肾所带来的巨大损失。

血尿的介入治疗
值得注意的是,肾动脉的发育变异并不少见,一侧肾有可能有2~3支肾动脉。所以在肾动脉造影前,先进行主动脉造影就显得有必要,从而不致于漏栓那些出血的责任血管。如果介入诊疗*考前**虑出血来源于膀胱(如由膀胱癌引起),双侧髂内动脉造影必不可少;之后再根据造影结果对膀胱上动脉等可能的责任血管进行栓塞。
随便提一下:对于阴道流血的介入诊疗处理,与处理膀胱出血类似,通过对髂内动脉、子宫动脉等造影,能够发现出血的责任血管,立即予以栓塞的效果也是肯定的。
#介入# #肾病治疗# #又便血了?#