牙齿是伴随我们一生的重要部分。
它不仅担任着平时咀嚼的工作,在一定程度上还是我们的颜值担当。拥有一口健康整齐的好牙在你微笑时会给别人留下很好的印象。
反观,如果我们的牙齿缺失或损坏,一定会让你在生活上遭遇不便,吃东西不利落、笑容不自然,自信心也大不如前。

可尽管如此,还是有很多人对口腔健康意识薄弱!而这其中的原因,主要包括以下几个部分:
一、没有意识到缺牙的危害性
牙齿缺失给人们带来的一系列危害,远比你知道的多:
1)面容苍老
缺牙会使咬合紊乱,下巴变短,唇颊部内陷,面部变形,影响美观,面相衰老达十年以上。
2)肠胃受累
牙齿缺失以后,咀嚼功能变差,增加消化系统的负担,还会影响到营养成分的吸收。长期如此,甚至可能引发消化系统疾病。
3)余牙遭殃
牙齿缺失后,咀嚼的任务就落到了其他牙齿身上,大大增加余牙的负担。缺牙时间越长、数目越多,对余留牙齿的影响将会越大。

4)发音不清
牙齿缺失,特别是前牙缺失,会造成发音不清,俗称“说话漏风”。发音不清会对患者的交际活动产生较大影响,甚至会影响到患者的心理健康。
5)诱发冠心病
缺牙使得口腔内感染大量细菌,破坏牙龈沟和口腔黏膜基底膜的完整性,致病细菌内毒素和炎症因子破坏心血管内皮细胞和平滑肌细胞,诱导血小板凝集、促进血栓形成,日积月累形成动脉粥样硬化,阻塞血管,造成缺血和供氧不足,引发冠心病。

二、对缺牙修复方式陌生
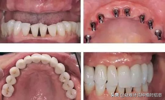
目前,最常见的缺牙修复方式有活动义齿修复、烤瓷牙修复以及种植牙修复三种。其中,种植牙被称为“牙齿缺失最理想的治疗方法。”

三、担心做种植牙会有副作用
虽然种植牙的确存在缺点,但其带来的方便也是其他方法所不能比较的。而且随着种植牙技术的不断成熟,如今的缺牙患者到正规医疗机构进行种植牙,其成功率高达97%以上。
“当种植体植入到牙槽骨之后,如果不能够使种植体完全与牙槽骨结合,则易出现骨结合失败,需要拔除种植体,择期进行二次种植修复。
另一种情况,如果种植体植入后牙周维护不好,患者吸烟或有其他不良习惯,也容易诱发种植体周围炎,导致种植失败。

医生提醒,任何种植体植入到牙槽骨后都不能保证100%的成功。患者除了不要将期望值定得太高,也一定要选择正规的医疗机构。
种植体植入后成功与否,与种植体材料的选择,医生的技术水平和后期的牙周维护等多种因素有关。
很多临床经验表明,修复体的成功绝不是单靠医生一个人就能实现,它还需要患者后期对其进行维护,并与医生一起观察远期疗效,出现问题能做到及时发现、及时解决。

种植牙与其他修复方式相比,有哪些优势?
①提高患者的咀嚼感。区别于假牙只是架在牙龈上,种植牙更为牢固,可以像真牙一样进行咀嚼。
②不损害邻齿。种植牙使用人工牙根来进行独立支撑,并不会像传统修复需要刮磨两侧邻齿,所以不会对其他牙齿造成损伤。
③稳固时间较长。种植牙的使用期限可以长达十年以上,相较于牙套使用时间较短且更换麻烦,种植牙更为便捷。
④稳定性和固位极强。种植牙可以"长"在患者口腔内,有人体"第三套牙齿"之称。种植牙的牙根进行种植后会与牙槽骨骼相融合,使其具有极强的稳定性。

牙齿的健康问题日益被社会群体所认识,缺的是牙齿,影响的却是方方面面。
长期缺牙危害很大,会慢慢的让缺牙周围的牙齿松动,原本健康的牙齿也会慢慢出现各种问题,所以如果出现缺牙一定要尽快修复,不然牙齿损害都是不可逆的。