“我在网上看到您是全国著名先心病专家,今天是特地奔您来的” ,张端珍主任看着眼前这个开朗的20岁小姑娘,不由得一乐。“我有动脉导管未闭,4岁时做过开胸手术,术后医生告诉我还有明显的杂音”。原来,16年前患者因动脉导管未闭在当地医院行开胸手术,术后医生只是告诉她家人还有明显的杂音,具体手术情况并未明确提及,此后多次前往该医院复诊,一直诊断为动脉导管未闭,但医院也不同意再次手术,这给小姑娘和家人都带来很大的疑惑。
动脉导管未闭结扎不严导致术后再通非常常见,张主任并未多想,听诊发现存在响亮的连续性机器样杂音,这是动脉导管未闭的典型杂音,诊断很明确,于是张主任决定对患者实施介入封堵术。
手术如期进行,但术中意想不到的一幕发生了,降主动脉多体位造影显示没有动脉导管未闭!是不是冠状动脉瘘?如果不观察冠状动脉形态,心脏超声非常容易将冠状动脉肺动脉瘘误诊为动脉导管未闭,但冠状动脉造影显示冠状动脉完全正常!
此时,张主任想到了另外一个非常少见的疾病——主肺动脉间隔缺损。升主动脉造影显示肺动脉确实显影,但由于开胸手术导致心血管位置发生变化,入口在什么地方,缺损多大,出口位于何处,一律显示不清楚。术中张主任请心脏超声科武俊主任紧急会诊,反复细致地观察超声图像,发现患者确实存在缺损,但缺损大小、入口和出口仍难以判断。
凭着自己的经验,张主任将导管塑形后用超滑导丝沿着升主动脉寻找,终于在升主动脉靠近主动脉弓处将导丝送至肺动脉,然后将输送鞘逆行自肺动脉送至主动脉,以输送鞘为指引,进一步行超声心动图检查,至此终于明确了缺损的位置和大小,并顺利置入16mm封堵器一枚,术后患者心脏杂音完全消失,几天后顺利出院。

张端珍和武俊主任在术中探讨病变的特殊性、主肺动脉间隔缺损的大小和位置,确定封堵方案。

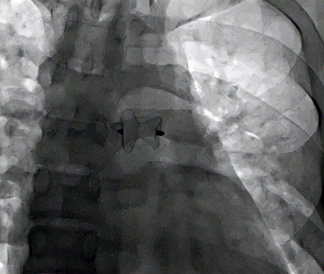
封堵器释放后形态。缺损位置高,位于升主动脉接近主动脉弓处,释放后封堵器形态良好。
主肺动脉间隔缺损又称主肺动脉窗,是一种罕见先天性心脏病,发病率仅占先天性心脏病的0.1%~0.2%。该病分为三型:I型为主-肺动脉间隔近端缺损,Ⅱ型为间隔远端缺损,Ⅲ型为间隔完全缺损。该患者为Ⅱ型,临床体征和超声表现均与动脉导管未闭非常相似,故而极易误诊。张主任凭借自己多年从事先天性心脏病的丰富经验和介入操作经验,结合造影和超声检查结果,明确了诊断,解开了患者的疑惑,也成功治愈了疾病,避免了患者病情的恶化和再次开胸手术的可能。
先天性心脏病是致残率非常高的疾病,许多患者尤其是成人患者,因为症状不明显或没有症状而拒绝手术治疗,有的患者即使出现了症状仍要求药物对症治疗,这是一种非常错误也是极其有害的观念。先天性心脏病治疗效果与手术时机息息相关,早期在未出现症状时手术,患者寿命与正常人无异。随着年龄的增长,患者可出现心衰、肺动脉高压、心律失常和脑栓塞等严重并发症,目前尚无药物可以治愈先天性心脏病,也无药物可以阻止这些并发症出现,而且一旦出现并发症,部分患者可能永远失去手术机会,或者即使勉强手术,并发症也不会消失,从而严重影响患者寿命。
主肺动脉间隔缺损作为先天性心脏病的一种,往往缺损巨大,许多患者生后不久即因严重心衰或肺动脉高压而死亡。该患者虽然缺损大导致左心室显著增大,并已有心衰表现,但幸运的是尚未出现严重肺动脉高压,术后肺动脉压恢复正常,左心明显缩小,预估预后与正常人无异。
超声心动图作为先天性心脏病最为常用的筛查和诊断工具,在先天性心脏病诊断和指导治疗中具有至关重要的作用,但对于疑难或者复杂先天性心脏病,右心导管和心血管造影仍是诊断金标准。由于右心导管和心血管造影是有创检查,许多人对此具有排斥和恐惧心理,却不知单纯依靠超声心动图也容易出现漏诊或误诊,尤其是复杂病变。需要指出的是,心血管造影和超声心动图在诊断和指导治疗中二者相辅相成,不可或缺。该患者虽然通过心血管造影纠正了之前的诊断,但缺损大小和解剖形态均显示不清楚,而过多使用造影剂势必对患者造影不良后果,而此时超声心动图则可多切面观察缺损形态与位置,测量缺损大小,从而准确选择相关器材。本例患者根据超声心动图测量的缺损大小,封堵器选择精准,做到了一次性成功,既避免了反复操作导致的手术时间延长,也防止了各种并发症的发生。