有的网友抱怨说自己去外面吃了几次火锅,回来后智齿就有点疼,而且还有点小肿,有的是过了两天都还没好,类似这样的问题是不是也在你身上发生过呢?那么遇到这样的问题该怎么办?

遇到类似这种情况,如果肿痛很厉害的话,建议早点去牙科医院让医生冲洗、上药,接着拍个片检查看看智齿是不是有问题,先排除隐患。
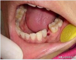
最好做一下检查,智齿如果有问题,就要及时拔了,避免再遇到相同的情况。
智齿经常疼痛的原因
智齿本身就有问题,如果受到外部的刺激就特别容易经常复发。智齿的生长位置太靠后,刷牙不好刷到,刷不干净的话就比较容易形成龋坏和肿痛。如果自己饮食不妥,生活不规律等等影响,比方常常熬夜,喜欢吃辛辣刺激的东西。

智齿怎么样消炎止痛
如果智齿肿痛没那么严重的,能自己在家拿盐水刷牙,漱口,吃东西的时候少吃一点刺激辛辣的。如果肿痛比较严重的,比如张开嘴巴受到限制,可以到牙科医院让医生做冲洗、上药和检查,确诊之后拔掉。
智齿消炎止痛只不过是第一步,接着要做的是让医生给智齿做个全面的检查看看有什么问题,以便更好的解决智齿问题。
提醒:如果智齿出现疼痛的时候,最好是趁早给智齿做个检查,一般出现问题大部分是因为智齿本身有问题。记得不能等智齿痛过了就不再管它了,假如智齿本来就有问题的,不早点检查拔掉,极有可能越拖就越严重。

两个要点让你了解智齿肿痛
1、智齿肿痛有很多种原因,例如患者个人生活不规律,智齿位置本就是歪斜的。
2、智齿只有一点点肿痛可以用盐水漱口,智齿疼痛严重一点的最好到牙科医院冲洗上药,让医生排查问题解决智齿麻烦。