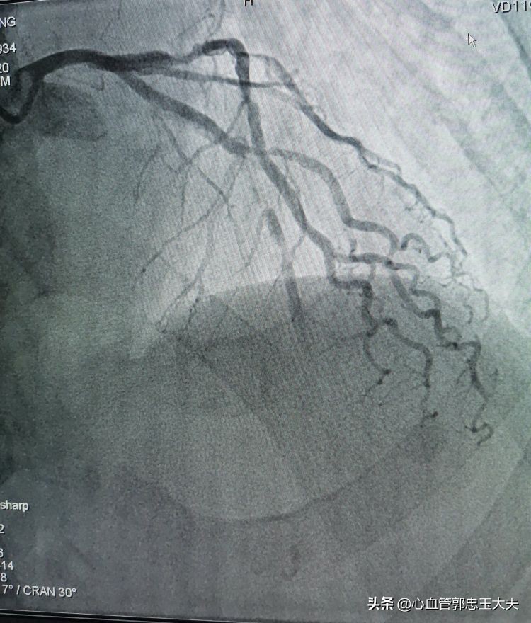
张大爷86岁了,有高血压病史,无烟酒嗜好。因为“反复胸闷头晕数月”入院。冠状动脉CTA示:三支病变,严重钙化合并高度狭窄。行冠脉造影示:前降支中远段钙化,完全闭塞,远端可见血管影。未见明显侧枝循环。(如下图)

回旋支近段远端85~90%狭窄(如下图)

右冠近中段50~75%狭窄(如下图)

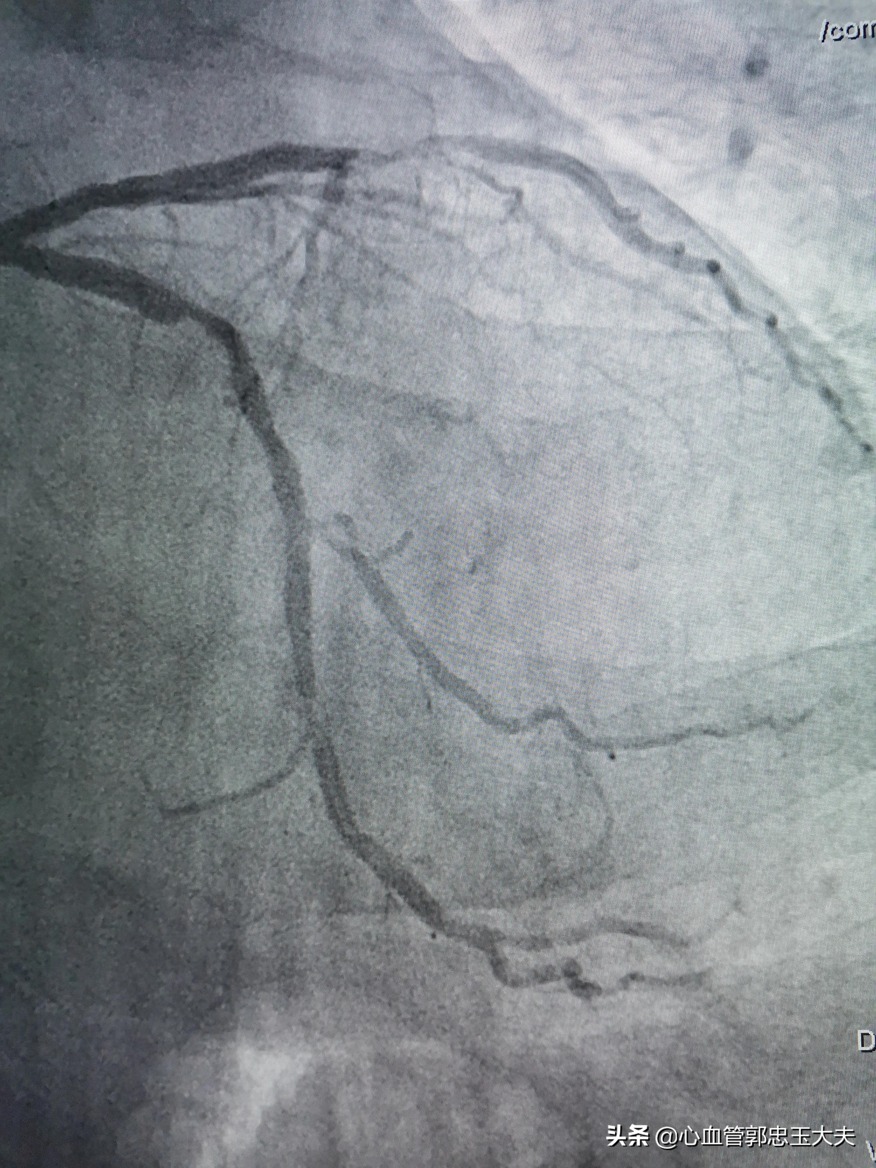
手术策略:计划先开通前降支中远段闭塞段,术*考前**虑到中远段完全闭塞合并钙化,因此开通难度特别大,也跟家属做了充分沟通。EBU大腔到位,回旋支BMW导丝到位加强支撑。FielderXT及Pilot50及150通过困难,反复尝试,FielderXT终于通过闭塞段。如下图


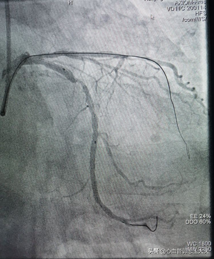
1.5*15mm微球囊通过病变血管困难,在回旋支预埋球囊,扩张加强支撑,微球囊仍然难以通过闭塞病变(如下图)

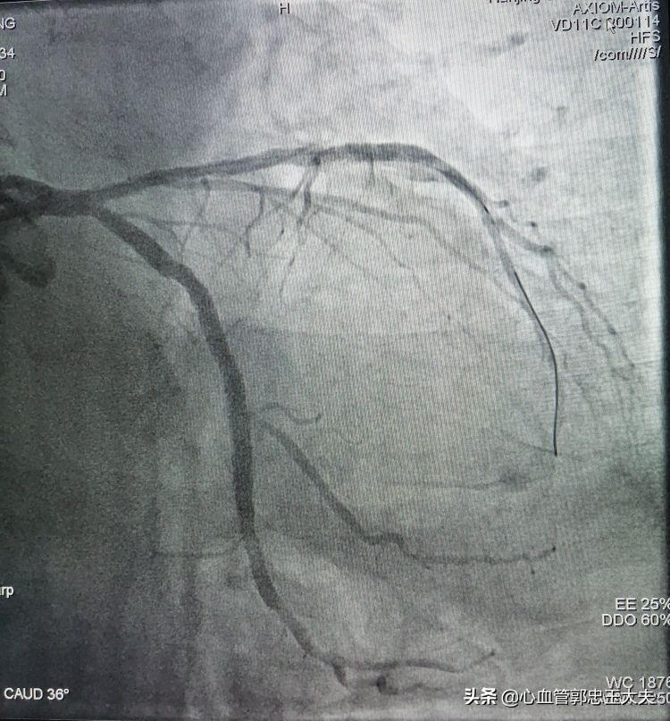
改变策略先在回旋支近段到远端植入支架2枚(如下图)



支架植入后,在回旋支再次预埋球囊,扩张后支撑力明显加强,微球囊通过闭塞病变,扩开闭塞血管。最后前降支植入支架,影像效果满意(如下图)


总结:该患者前降支中远段完全闭塞合并钙化,因此导丝通过病变非常困难,微球囊支撑后导丝过血管闭塞段,在回旋支预埋球囊扩张加强支撑,微球囊仍然难以通过闭塞病变。改变策略在回旋支植入支架后再次预埋球囊,支撑力明显加强,微球囊通过闭塞病变,扩张开病变血管,支架得以植入。
欢迎在*今条头日**里面关注我,相关文章有更详细解读。