
虽然说子宫肌瘤诊断比较容易,但是,看似简单的子宫肌瘤也常常容易和盆腔内的各种包块混淆在一起,特别是没有医学知识的普通人,更是容易傻傻的分不清。那今天我就和大家分享一下,子宫肌瘤需要与哪些疾病相鉴别。
首先我们看看正常的子宫肌瘤超声和磁共振图像


1、子宫肌瘤VS子宫腺肌瘤:单独看这两个名字其实就已经有点乱了,再加上有时候症状表现也基本相似,就更不容易区别了。子宫腺肌瘤属于子宫腺肌症的一种特殊类型;大多数的子宫腺肌症病灶都比较弥漫,没有清晰边界,并且有痛经表现;而子宫腺肌瘤是指子宫腺肌病灶比较局限,就像子宫肌瘤一样,可有或者没有痛经表现,大多数超声可以鉴别。但是也有极少数的子宫腺肌瘤和子宫肌瘤超声分辨不清,需要手术或者磁共振才能确诊。
2、子宫肌瘤VS卵巢肿瘤:随着超声的发展,现在基本都能区别开来,但是部分浆膜下带蒂的肌瘤与实行的卵巢肿瘤很接近,或者部分囊性变的浆膜下肌瘤与卵巢囊肿超声表现也很相像,临床中也会导致误诊,所以超声科大夫和临床医生一定要睁大眼睛看清楚。
3、子宫肌瘤VS子宫肉瘤:这两个疾病相似度高达90%,术前超声和病史基本上很难鉴别开,甚至磁共振也有看走眼的时候,一般需要手术确诊,但是子宫肉瘤大多数血供异常丰富,同时生长迅速,乳酸脱氢酶有升高,还是能通过这些表现能引起重视和鉴别。

4、子宫肌瘤VS子宫内膜癌:大多数根据症状能够区分,但是如果子宫内膜癌合并子宫肌瘤的时候,大家很容易发现肌瘤而忽略子宫内膜癌,并且子宫肌瘤也有月经的改变,就更容易忽略啦。所以,子宫肌瘤有月经不规则或者绝经后阴道流血,一定先做诊刮,排除内膜病变。
5、子宫肌瘤VS子宫颈癌:子宫颈癌外生型大多也能区别,就怕是内生型宫颈癌,很容易误诊为宫颈黏膜下肌瘤,一般需要做脱落细胞检查,宫颈活检才能区分出来。
6、子宫肌瘤VS盆腔炎性包块:这个一般需要结合病史,大多数盆腔炎性包块都有盆腔炎或者盆腔感染病史;
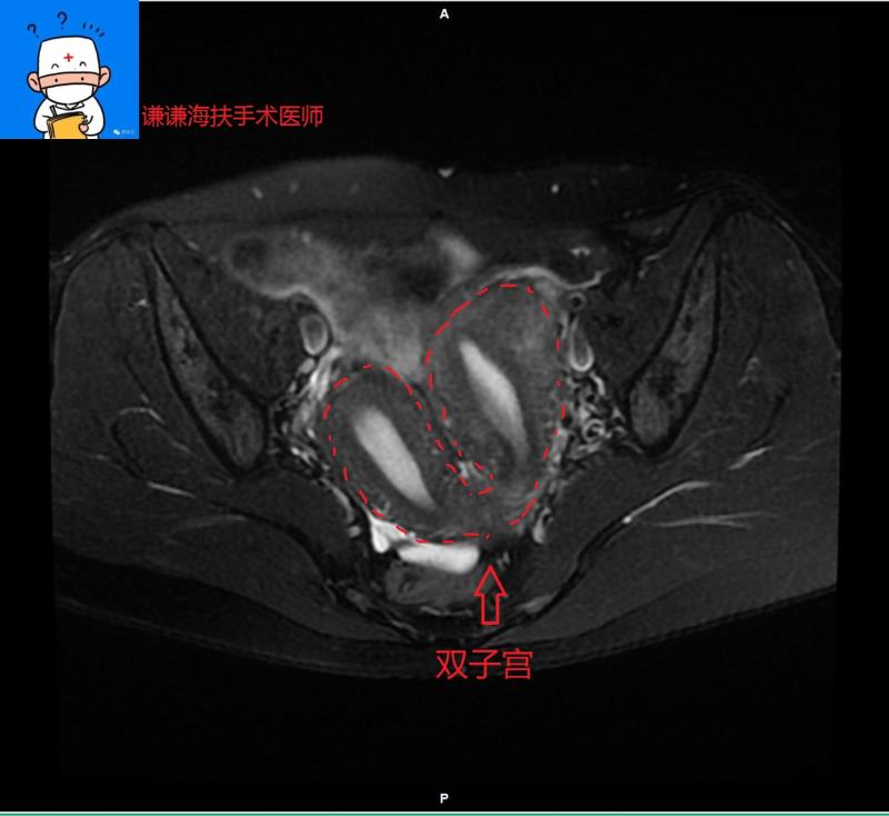
7、子宫肌瘤VS子宫畸形:特别是发育不完全的双子宫,很有可能把另一个子宫当肌瘤处理了。一般通过超声能够鉴别。

8、子宫肌瘤VS妊娠子宫:现在超声和早孕技术这么发达,一般不会,但是还是存在把肌瘤囊性变质地比较软的时候和妊娠子宫搞混淆。特别是既往有肌瘤病史,现在有停经,早孕反应,不要把子宫增大当做是肌瘤增大了哦。
所以,大家看看,小小的简单的子宫肌瘤居然还需要和这么多的疾病相鉴别,你说闹不闹心。
最后,一句话,有问题,找医生!