来源:XI区 赵喜同学
肺是人体的呼吸器官,位于胸腔,坐落于膈肌上方、纵隔的两侧。正常肺呈浅红色,质柔软呈海绵状,富有弹性。在日常工作中我们也经常会遇到需要定位并病灶的位置的需求,这就涉及到了肺的分叶和分段,最近我找了数据做了一些图片,今天我们聊一聊肺的分叶分段的相关知识。




前后位,双侧位,后前位显示气道肺与胸部骨骼的关系

气管支气管树与两肺融合显示
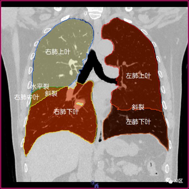
肺的分叶
左肺借斜裂成上、下两叶;右肺借斜裂和水平裂成上、中和下叶三叶。



横断位



冠状位


矢状位


肺表面重建显示叶间裂和肺的分叶

透视图显示肺的叶间裂和肺的分叶
气管树的解剖
人的支气管(第1级)至肺泡约有24级分支。支气管经肺门入肺,分为叶支气管(第2级),右肺3支,左肺2支。叶支气管分为段支气管(第3~4级),左肺8支、右肺10支。段支气管就是肺的分段的依据。段支气管反复分支为小支气管(第5~10级),继而再分支为细支气管(第11~13级),细支气管又分支为终末细支气管(第14~16级)。从叶支气管至终末细支气管为肺内的导气部。终末细支气管以下的分支为肺的呼吸部,包括呼吸细支气管(第17~19级)、肺泡管(第20~22级)、肺泡囊(第23级)和肺泡(第24级)。
气管支气管形如树状,因此也称气管支气管树。

气管树

气管树与左右肺的关系



气管树与胸部其他结构的关系

左肺的支气管树

右肺的支气管树

段支气管的命名(图片源自网络)


段支气管的命名
气管树的动态观察视频
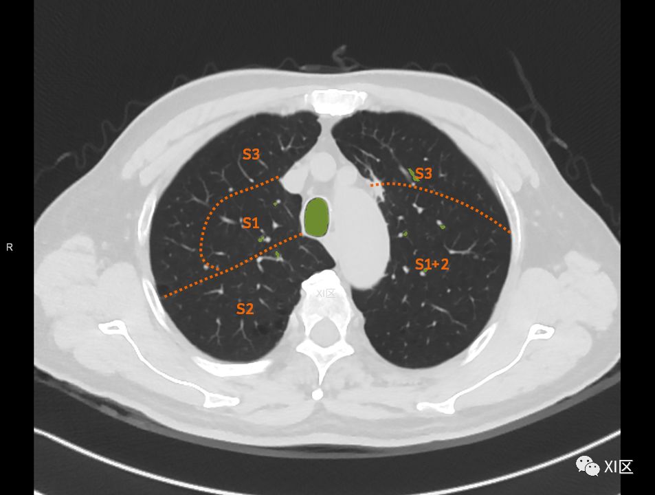
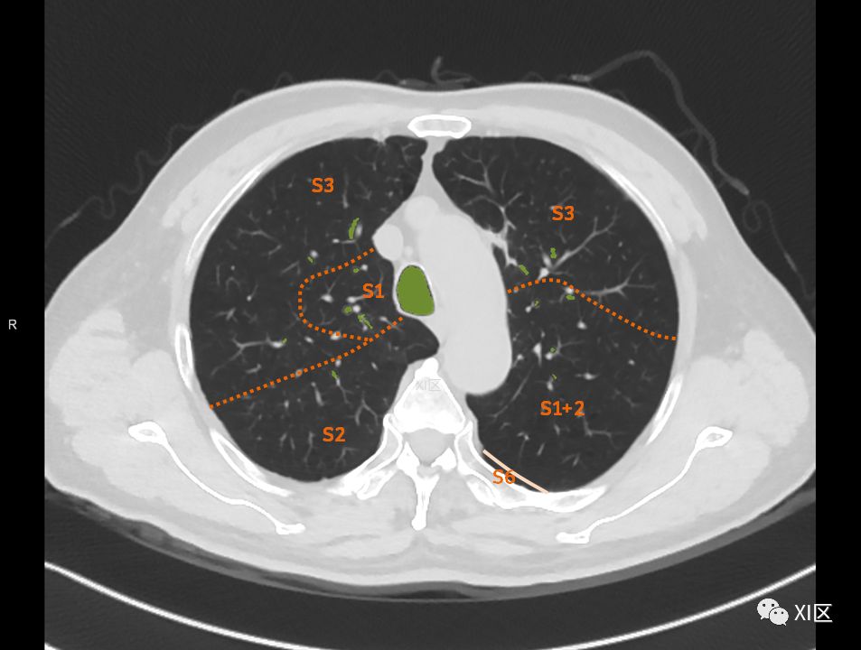
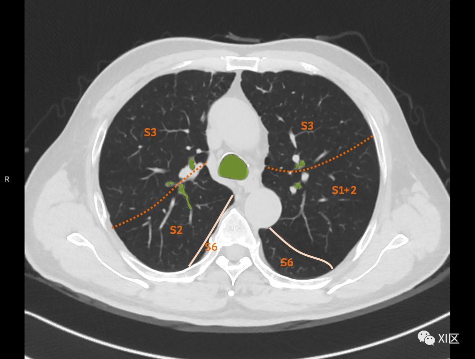
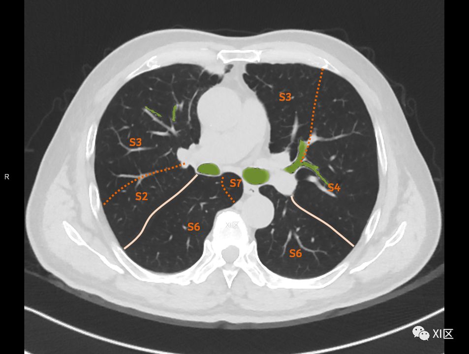
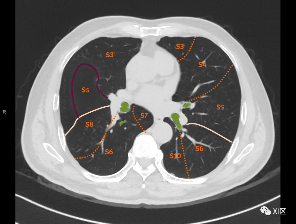
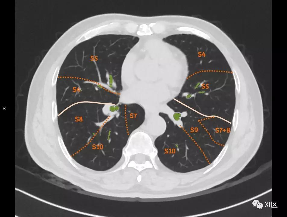
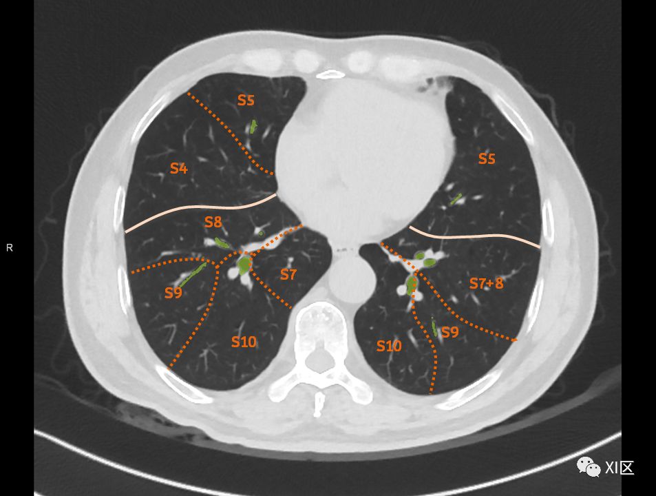
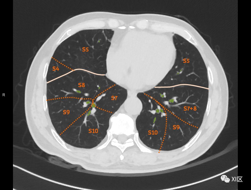
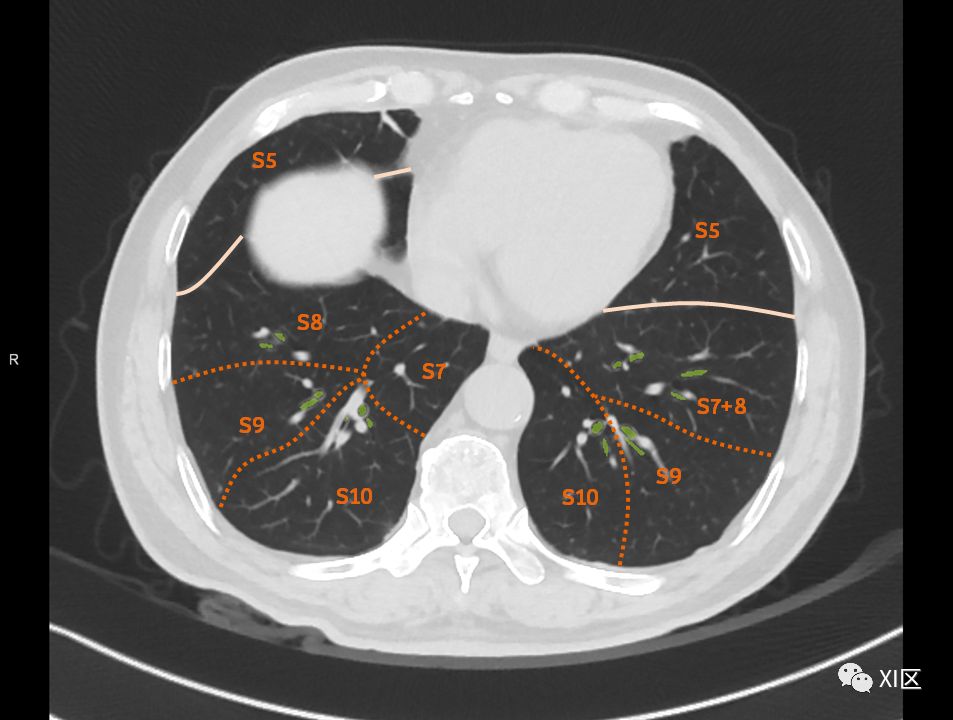
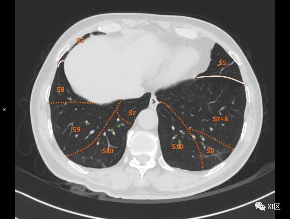
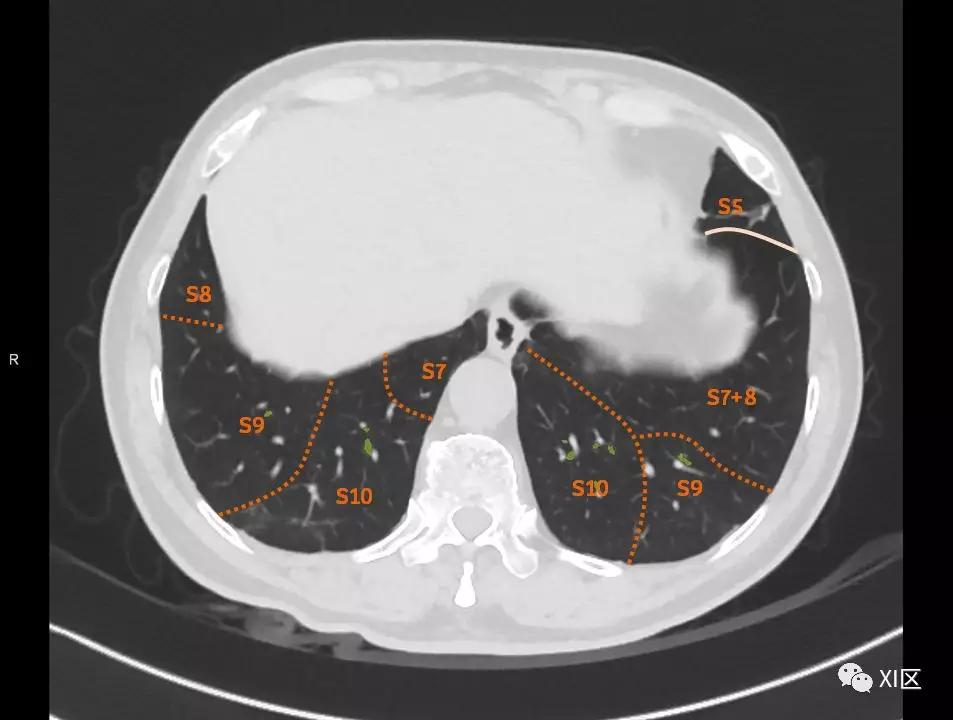
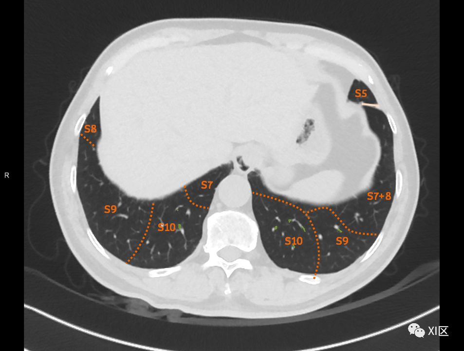
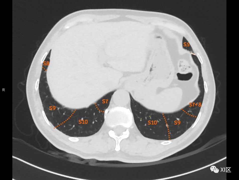
肺的分段

肺的分段示意图(图片源自网络)

肺的分段

























肺的断层分段示意图
在进行肺的分段时,可以上下观察浏览,沿着相应气管的走形可以更容易准确地进行分段。
【版权声明】本平台属公益学习平台,转载系出于传递更多学习信息之目的,且已标明作者和出处,如不希望被传播的老师可与我们联系删除