导读
在不孕症女性患者中,大约有25-35%是由于输卵管不通畅造成的,是不孕症的主要原因之一。
而输卵管不通,根据梗阻的部位不同,分为近端梗阻和远端梗阻,其中远端梗阻有一种情况是出现了输卵管的积液。
今天谈一谈输卵管积液的助孕策略。
输卵管积液的形成
输卵管积液的发生是由于输卵管的伞端出现粘连堵塞,但是输卵管有一定的分泌功能,输卵管所分泌的液体不能通过伞端,长此形成了输卵管的积液。
就好比长条形的气球,充水充气后膨隆。

(图片来源于网络)
输卵管积液的超声表现
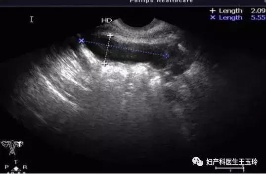
输卵管在没有积液的情况下,超声难以观察,所以超声报告从不会描述输卵管。一旦输卵管有积液,超声下就可以看到输卵管。可见,能被看到并非好事。
输卵管积液,在超声下常常描述为:卵巢旁长条状的、腊肠状的无回声。
从超声上可以看到输卵管结业和卵巢囊肿区别:
卵巢囊肿在卵巢内,输卵管积液在卵巢旁;长条状正好和输卵管的性状吻合。腊肠状说明输卵管外常常也有粘连,所以导致输卵管的积液不规则;无回声,说明输卵管内部是水样的液体,而卵巢肿瘤也可以弱回声、混合回声。

(图片来源于网络)
输卵管积液对生育的危害
1.输卵管积液的存在,说明输卵管不通。
如果双侧输卵管都有积液,那么不孕症的原因就是输卵管不通造成。
2.输卵管积液不能通过伞端流入腹腔,但积液可以通过输卵管峡部流入到宫腔内。
输卵管积液内部有炎症因子、免疫因子,对胚胎、精子、受精卵有毒性,有杀精、杀胚胎、影响胚胎着床的作用。因此即便是单侧输卵管积液,另一侧通畅,也常常无法自然受孕。更简单的理解,输卵管的积液流入宫腔,对小小的胚胎更像滔滔洪水、泥石流。
无论是单侧输卵管积液还是双侧输卵管积液,都会导致不孕。
因此,无论患者选择自然受孕还是做试管婴儿辅助生殖,输卵管的积液都需要处理。
输卵管积液的治疗方法
输卵管积液属于输卵管远端梗阻,根据最新的《输卵管性不孕诊治的中国专家共识》推荐可以选择手术治疗或者辅助生殖-IVF。
如果选择手术治疗,那么应推荐在腹腔镜下进行输卵管的整形,使输卵管通畅。
手术的优点是术后每个月都可以自然受孕,但缺点是手术后一年内如果未孕,输卵管可能再次梗阻,另外手术后怀孕,输卵管妊娠的发生率增高。所以更推荐患者可能选择进行试管婴儿。
即便选择通过IVF辅助怀孕,输卵管积液依然需要进行处理。
那么怎么处理呢?
输卵管积液的处理方法
输卵管封堵术
这是一种在放射线下通过介入进行的输卵管峡部栓塞技术,在放射线的观察下将弹簧栓子放置在输卵管峡部,讲输卵管近端封闭,输卵管的积液将无法逆流进入宫腔。
优点:无创;
缺点:需要在放射线下操作,栓子也有脱落的风险,有时候需要多个栓子才能完全封堵输卵管。栓子越多,价格越高。
输卵管封堵术并不是首选的方法。
输卵管截断术
这是需要在腹腔镜下进行输卵管峡部的切断结扎。
优点:手术的效果更确切;
缺点:需要进行手术,即便是微创手术也是有创伤的。
输卵管切除术
这也需要在腹腔镜下进行。
优点:手术非常彻底,不会复发,另外切除输卵管也可以减少卵巢的发生几率;
缺点:需要手术,有时候盆腔粘连严重,解剖结构不清楚,切除输卵管的难度不低于一次肿瘤手术,手术风险增加。
所以常常医生方且输卵管切除,改为输卵管戒断术。
输卵管积液,无论是想手术后自然怀孕还是想通过试管婴儿怀孕,手术是不可避免的。
有些人,对手术心生恐惧,而去选择了输卵管介入封堵术。但封堵术的缺点也非常多,放置过多的栓子价格并不比手术低,而常常栓子脱落而影响试管婴儿的成功率。
腹腔镜手术真的那么可怕吗?
腹腔镜技术最近几年已经有了飞快的发展。
传统腹腔镜手术都在在腹壁上开3-5个手术操作孔进行操作。而最近5-6年国内渐渐兴起单孔腹腔镜手术。
所谓单孔腹腔镜就是在脐部做一个手术切口。切口比较隐蔽,术后切口藏在肚脐内,腹壁看不出手术疤痕。肚脐部的腹壁薄弱,愈合快,术后疼痛轻。比传统的多孔腹腔镜更微创。
单孔腹腔镜创伤减少了,但医生的操作更难了。医生自虐,只是为了患者创伤更小,单孔腹腔镜是腹腔镜技术的最高峰了吗?是自虐的极致吗?
不是。医生自虐乐在其中,最近1-2年又兴起了无孔腹腔镜。
当然手术不可能是真正的无孔,而是经过自然腔道做手术,而在腹壁上没有手术切口。
在妇产科医生常常利用阴道这个自然腔道,这种手术叫做V-Notes手术。
输卵管结扎、输卵管切除手术非常适合做V-Notes手术。完美解决问题,腹部不留疤痕。
这种手术在哪里可以完成?
幸运的是上海市第一妇婴保健院孙静院长团队已经开展多例V-Notes手术。
孙静院长率领团队医生,从2016年开始开展单孔腹腔镜,已经完成400余例,2017年开始开展V-notes手术,已经完成80余例手术。V-notes下不仅可以完成输卵管的截断、切除、整形,也能完成卵巢囊肿剥除手术以及子宫肌瘤剥除术,不仅完成切相对简单的动作,更能完成缝等更复杂的动作。
患者术后恢复良好,腹部不留疤痕,这种手术方式受到了患者的欢迎。
子宫肌瘤、卵巢囊肿、输卵管积液等患者,如果想接受V-notes手术,先去孙静院长门诊接受评估。

