牙齿矫正是通过正畸或外科手术等方法治疗错颌畸形,错颌畸形是指儿童生长发育过程中,由先天因素或后天因素导致的牙齿、颌骨、颅面的畸形,错颌畸形与龋齿、牙周病一起被列为口腔三大常见病,其患病率高达人口的50%以上。

1、咨询医生
制定矫正方案。询价(普通牙套和冰晶托槽、舌侧隐形矫正器等因材质和美观度不同,价格差别较大)等相关事项。最好是多咨询几家,对比一下,一般来说正规的医院比较有质量保证,如果经济条件许可又爱美可选择透明的(透明指的是粘在牙齿上的托槽,但是上面的钢丝近看还是可以看见的)。如果咨询医生时带上自己牙齿的X光片去是比较有用的。
2、拍片
拍X光牙齿及头部骨头照片。目的是为了看你的牙齿及骨骼发展方向等。以利于以后制定准确的矫正方法。
3、制模
用一种快速定型的胶剂放到你牙齿,咬1—2分钟就可以取出,成为你的牙齿的模型。备用,也是为了以后矫正对比方便。
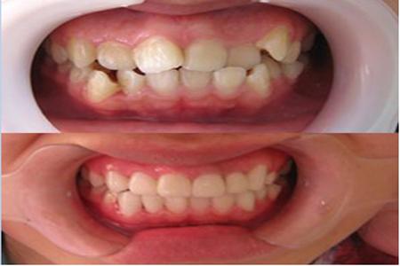
4、拍照片
医生在矫正之间给你拍各角度的牙齿照片,备用,也是为了日后对比。(唯一难堪的是还有个护士把你嘴巴给撑开,把那么丑的牙齿毫无保留的暴露出来,在众目睽睽之下,还叫你开心的笑。不过等你做完牙套以后,跟医生拿回来,到时候就是天壤之别,应该是自信心飙升之时了)
5、拔牙
按照医生制定的方案,分批次的拔完牙,(如果是个性化定做的矫治器,建议最好在上牙套后拔牙。)一般的人大概需要拔4个左右牙齿,部分特殊的,比如智齿多的,牙齿过于密集的也有拔8个左右。(有的人则不需要拔,仅磨牙就可以了)这个之间如果有蛀牙什么的就会先补好,有牙结石的也会先洗牙。(拔牙的目的是为了空出空间,来给那些因牙齿拥挤导致不整齐的牙齿规位,至于拔牙的缝隙到时候会合拢,这个交给医生,所以不要盲目的问医生,是不是要把拔掉的空隙镶上假牙,要假牙的话直接去烤瓷不更快,还受这个罪啊)
6、分牙
有的分牙是在拔牙时候同时进行的,有的则是在拔牙后进行,用分牙圈套在上下左右的大牙之间,一般需要分1个礼拜左右。目的是为了使牙齿移出一点空隙,好在戴牙套的时候能够放进固定牙套的钢圈。分牙一般来说会有点酸软无力,上下牙齿碰到会有点痛哦!
7、上牙套
分牙完一般就可以直接上3M牙套了。牙科主助理或正畸医师会将你的牙齿弄干,并对它们进行"蚀刻"。蚀刻可对你牙齿的表面进行处理,以便添加粘结材料来固定牙套。然后将牙套结扎在你的牙齿上。高强度的等离子光线随后快速地射到牙套表面,用来完成粘结。弓丝被结扎在牙套上。好了!全都完成了!每排牙齿需要花1小时,因此如果你要戴全套牙套,就需要花2小时。(当然自锁牙套或是粘结剂预置牙套会加速这个过程)(刚上牙套有点磨嘴,第一个星期可能会有点酸软,以后就好了。如果有口腔溃疡,可以晚上睡觉前喷桂林西瓜霜,补充点维生素B、锌等。磨嘴的地方可用咬过的口香糖粘一下。牙医们一般不建议吃口香糖,怕粘,所以办法自己想,呵呵!)