
个人简介
广东省人民医院,广东省心血管病研究所,心内科,副主任医师。主要从事冠心病等各类心血管疾病的临床诊疗与研究工作。广东省介入性心脏病学会周围血管介入分会委员。
复杂冠脉介入病例分享
谢年谨
广东省人民医院心内科
临床病史
患者 72岁,男性
主诉:反复胸痛10余年,再发伴气促20天
10年前无明显诱因下出现胸痛,呈阵发性闷痛,呈持续性不缓解,伴晕厥,黑朦,外院医院就诊,诊断为:“急性下壁心肌梗死”,之后未规律治疗;
20天前轻微活动时出现胸闷痛,休息3-5分钟可缓解,伴气促,
冠脉CTA:三支血管病变 否认高血压、糖尿病、吸烟
ECG

符合冠心病超声改变,左室收缩舒张功能减退(LVEF 31%),中度二尖瓣返流,轻度主动脉瓣返流,轻度三尖瓣返流,轻度肺高压。


临床诊断
-
冠状动脉粥样硬化性心脏病
-
不稳定型心绞痛
-
陈旧性下壁心肌梗死
-
心功能III级(NYHA)
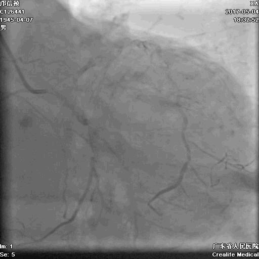
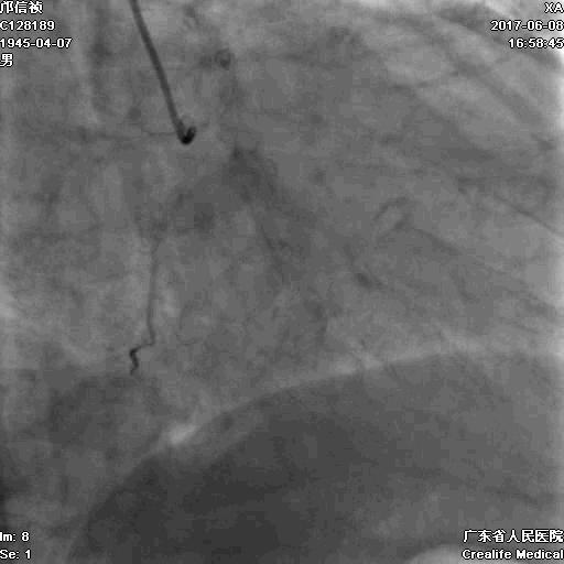
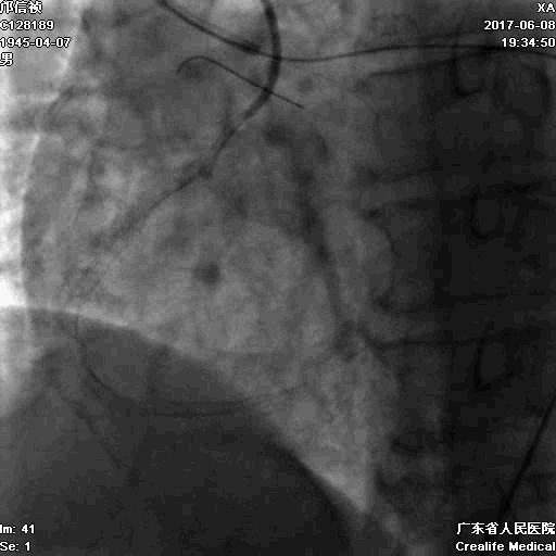
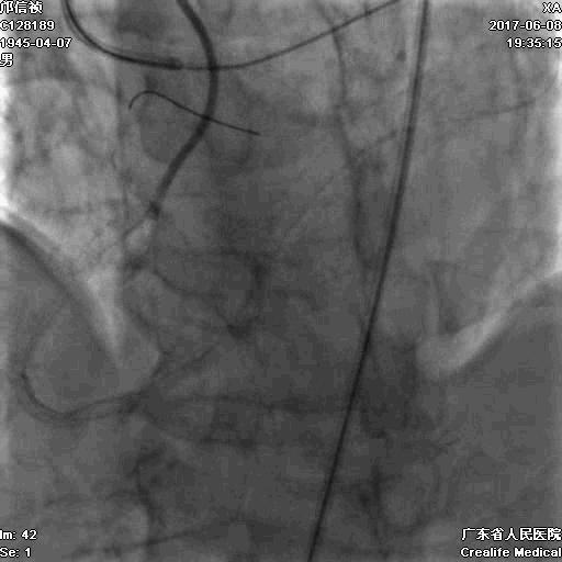
冠脉造影






基本资料

Syntax score 37.5
临床策略
CABG or PCI ?
介入策略
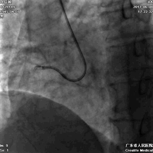
1.LAD、LCX先?
2.RCA先?
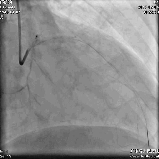
首先:IVUS指导下干预LAD


4.0mm*13mm药物支架
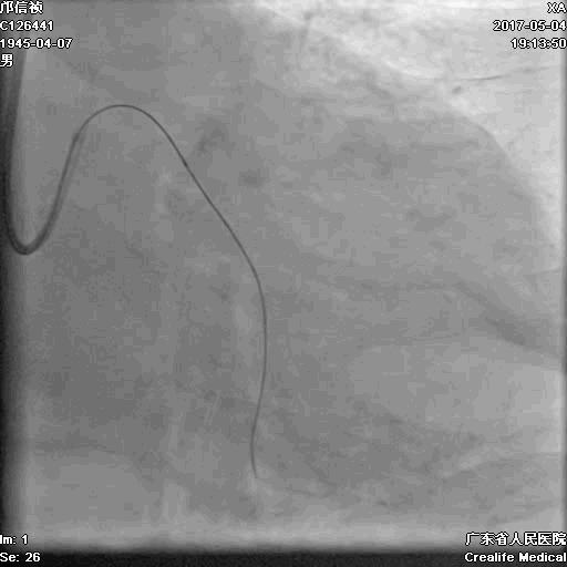
第二步:处理LCX


Fielder XT-A,Gaia First ---在微导管支撑下通过闭塞病变
LCX植入支架

2.0*10mm球囊

2.75*22mm药物支架
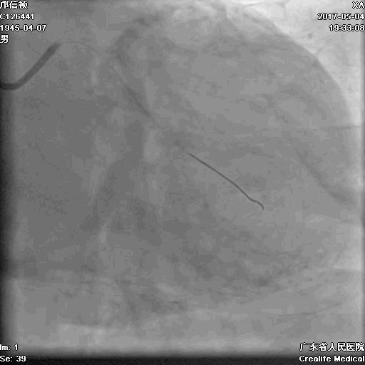
第三步:1月后




介入策略
-
尝试正向?
-
直接逆向?
-
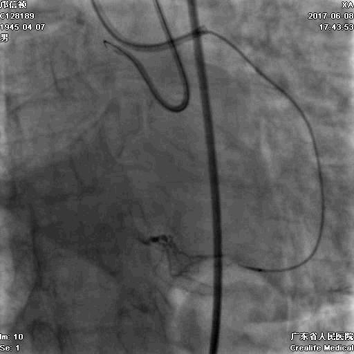
逆向通道:1. LCX---PL?
2.LAD---PDA?
正向浅尝,改为逆向,LCX-PL


RRA:6F AL0.75 GC –RCA;
RFA:7F XB 3.5 GC—LCA 150cmcorsair
正向130cmFinecross微导管支持下尝试送PILOT150、Gaia 2导丝无法通过RCA闭塞段
SION导丝通过侧枝


逆向导丝:更换Gaia2
正向导丝:Gaia2,PILT150
正向导丝knuckle

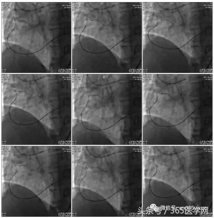
2.5*15mm球囊扩张,逆向导丝尝试,但未能进入正向GC

1.正向2.5*15mm球囊扩张,Reverse CART
2.Guidezilla延长导管辅助下,逆向导丝进入正向GC

1.更换RG3导丝
2.GC送入普通导丝,保护LM
RCA闭塞段球囊扩张后IVUS

支架术后造影结果


支架术后IVUS

小结
-
CTO介入前要认真读图,详细制定介入策略及步骤,
-
明确IVUS在CTO介入的重要性,
-
Guidezilla辅助下的ReverseCART更加高效,
-
Knuckle导丝技术在CTO介入中的使用。