56岁湖南大叔杨某,几年前发现肾结石,当时医生建议手术,而他由于经济原因,自行去小门诊做体外碎石。如今又发现左肾结石,他依然去做体外碎石,结果做了几次后并没有好转,于是到当地县医院就诊。这一检查,才发现患者右肾已经萎缩了,左肾结石伴肾积水,且肾功能不全,县医院做了简单药物治疗并建议患者尽早去省城大医院做手术,这一次,该如何保住他唯一的肾。

患者杨大叔术后康复中
患者回忆:
大约一个月前,因为腰腹部疼痛,就去附近门诊做检查,发现左肾有结石,于是像几年前一样做体外碎石。结果,治疗几次也不见好,于是又去县医院就诊。检查出左肾有结石伴肾积水,且右肾已经萎缩。医生说右肾萎缩了,我就感到很紧张。医生问病史,我就说起了数年前右肾结石的治疗经历。当年右肾检查出结石,医生建议去做手术,但是我考虑手术费用高,为了图便宜,就自行去找小门诊部做体外碎石。看来,右肾萎缩很可能就是体外碎石治疗不当造成的。了解病情和病史后,医生给予药物治疗,并建议他尽早去省级大医院做手术。
艰难选择:
有了前车之鉴,杨大叔自然不敢掉以轻心,不能再去小门诊治疗了。但是要去外地大医院,想想花费要更多,还要许多时日,耽误做工,心里不免有些犹豫。后来,在妻子和女儿的催促下,终于决定去大医院治疗。女儿恰好在佛山工作,因此女儿帮他在网上联系到正生医生集团广州临床中心,这里的医保也实现异地报销。就这样,大叔在妻子的陪同下从湘西远赴广州,来到了位于广州市白云区的正生医生集团广州临床中心,这个治疗肾结石颇有名气的对方。

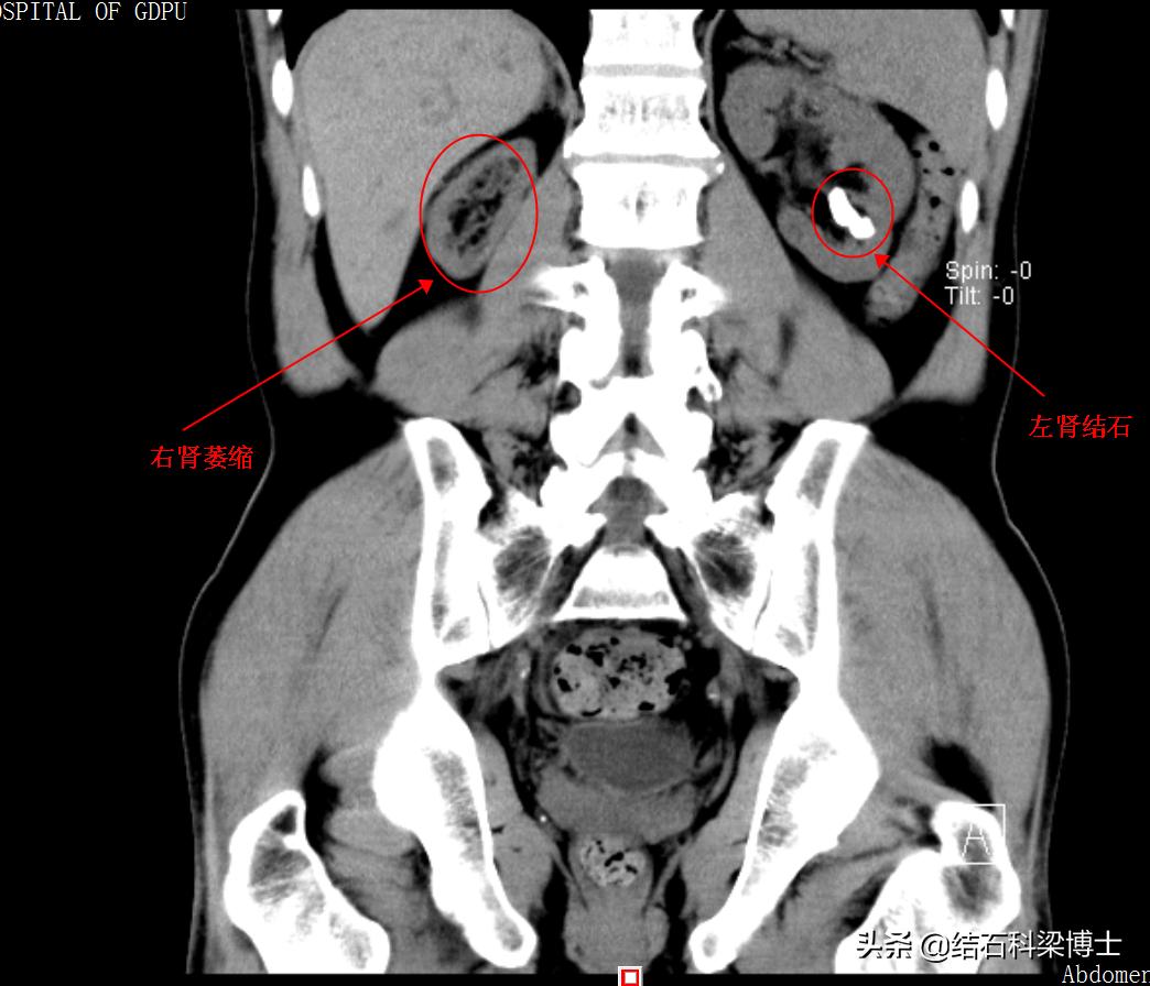
患者术前DR可见右肾萎缩、左肾长条形结石一枚
广州就医:
2020年5月13日,患者杨某及家属就诊。由于前期在网上进行了预约,因此没有排队等候,且鉴于其病情特殊,临床中心主任黄苏宁教授自己接诊。了解症状、看过去的检查报告、询问病史,并随后做进一步检查。各项检查结果显示,患者右肾萎缩,左肾有颗结石,伴有肾积水,由于左肾做了体外碎石导致肾功能受损,肌酐值达340umol/L(正常范围应该在130以内)。
黄苏宁主任分析病情后指出:患者右肾已萎缩,目前最要紧的是尽快针对左肾积水和结石进行手术,保护左肾。经医疗团队讨论后确定了治疗方案:即采取输尿管软镜钬激光碎石取石术,首先引流肾脏积水,随后通过软镜探查结石,并碎石、取石,一次手术完成。为了减轻肾功能的进一步损害,黄苏宁主任安排尽快手术,定于次日上午即刻进行。
手术取石:
5月14日早上,黄苏宁主任携手术团队为患者杨某进行手术。手术中先对肾积水进行引流处理,然后医生将软镜经尿道一直进入肾脏,探查到肾下盏一颗约2cm的黄褐色结石,随后用钬激光一点点击碎,用套石篮取出结石碎屑,再次探查肾盂肾盏,未见其他结石,退出软镜,留置双J管,手术顺利完成,历时仅一小时有余。
术后恢复1天,第二天下午经查没任何不适,遂安排患者出院。对此,患者及家属非常高兴,因为这个手术是不开刀、无创伤的手术,而且恢复很快,当天就可以下床、吃饭,次日便出院,一家人无不感叹先进技术的神奇。

正生医生集团广州临床中心主任黄苏宁
专家告诫:
1、结石虽小,切不可自作主张、盲目治疗。
正生医生集团广州临床中心黄苏宁主任介绍说,结石虽小,有时也不引起疼痛,但是它在肾脏长期存在,就可能损害肾功能,不可大意。对于治疗,应该听取医生的建议,医生会综合考虑结石的大小、位置、类型,有无并发症等因素,选择适合的治疗手段,患者自己不要盲目选择。
2、体外碎石虽经济、便捷,但有其局限性,要使用得当,否则就会损伤肾脏。
体外碎石是早期主要的结石治疗手段,以其不开刀、收费低而让很多人乐于接受。但是体外冲击波碎石有其局限性,只适合比较小的,单一的,没有并发症的结石。对于伴有感染、积水的情况,或者结石比较大、比较多的情况,都不适合。体外碎石治疗要严格控制好时间和次数,还要控制好能量,一般3-4次为宜,每次间隔两周,如果体外碎石一个周期后效果不佳,那么不宜继续治疗,应该采取手术取石。体外冲击波治疗次数增多、能量过大、定位不准等都可能造成对肾脏的损伤。
3、以输尿管软镜为代表的微创/无创取石术为结石治疗带来极大的便利。
随着微创技术的不断进步,以输尿管软镜为代表的微创手术成为治疗结石的主流手段,过去传统的大开刀手术已经很少使用,体外碎石也因其局限性在大医院也较少采用。输尿管软镜取石术,是一种不用开刀的手术,软镜是一条大约3mm的细管,可经人体自然腔道(即尿道)进入尿道、膀胱、输尿管,并可到达肾脏,从而探查到结石的位置,并通过软镜携带的钬激光导丝,对准结石后用钬激光击碎结石,然后用套石篮取出结石,所有操作都通过这条细管操作完成,因此做到了不开刀、无创伤。术后只需观察1-2天即可出院,非常便捷、高效。因此结石患者不用再惧怕手术取石了,有结石应该听取医生的建议,用科学的、适合的手段积极治疗。