五岁的小瑶瑶(化名)特别喜吃蛋糕,虽然在妈妈的监督下每天早晚都坚持刷牙,但小朋友刷牙比较马虎,往往是匆匆了事。瑶瑶的妈妈李女士是个90后的年轻妈妈,初为人母,对于照顾孩子也是各种手忙脚乱,关注重点全在吃喝拉撒睡,口腔清洁却相对怠慢,渐渐地,瑶瑶有几颗牙出现了龋洞。

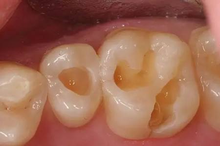
因为乳牙迟早要换,李女士也没有太在意。没想到瑶瑶在幼儿园和小朋友打闹时不小心摔坏了门牙,李女士带女儿来就诊时,医生告诉她:瑶瑶的牙齿有几颗被龋坏了,需要赶紧修补!李女士特别不能理解,乳牙蛀就蛀了,有啥大不了的,反正再过两年牙齿都要换的,何苦现在补牙受罪?该不会是医生变着花样来赚钱吧?

其实有李女士这样想法的家长并不是少数,很多父母都认为:乳牙迟早是要被恒牙替换的,因此对儿童的口腔卫生往往不够重视,即使乳牙患了龋齿,只要孩子不说牙疼,家长都不会带孩子上医院治疗,这样的观点是非常错误的。

要知道乳牙自带咀嚼、美观、发音、诱导下方牙齿正常萌出、促进面部正常发育等功能。同时,恒牙替换乳牙是根据年龄一个一个陆续依次脱换的。从7岁左右开始,从门牙到磨牙,一般到12岁左右才换齐。乳牙虽然最后都要被替换掉,但也会陪伴孩子一段很长的时间,是儿童咀嚼食物不可缺失的重要组成部分。乳牙一般会在口腔内存留6-10年,而这一阶段,是孩子们生长发育非常重要的阶段,所以乳牙对小朋友的健康发育成长非常重要。

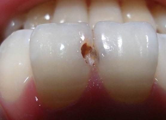
孩子的乳牙如果被龋坏又无法及时得到修复,越往下拖,越会对身体造成严重的消极影响。乳牙龋坏首先会影响恒牙的生长,造成牙齿不整齐。因为乳牙是恒牙萌出的导向,如果乳牙因患有龋齿而过早脱落,那么两侧的牙也会向缺失的空隙处倾斜靠拢,使恒牙无法得到应有的空隙,不能在原来的位置上正常萌出或萌出不完全,最后恒牙咬合混乱,排列异常,牙齿长得七歪八斜,惨不忍睹。

同时,乳牙龋坏也会影响孩子正常的肠胃吸收功能。这是因为龋坏很容易造成牙齿缺损,继发牙髓病,根尖周病,最终导致乳牙缺失,残冠或残根,咀嚼功能丧失或降低,从而导致消化不良。如果牙齿烂了,孩子可能就只喜欢吃松软的食物,牙齿此时更难得到锻炼,不仅容易长成双排牙,还可能养成挑食的习惯。

乳牙被龋坏,孩子吃东西时当然会感到疼痛,出于天然的趋利避害的心理,必然不敢用患侧牙咀嚼,这也造成双侧面部发育不对称,脸部会一边大一边小。龋齿的存在,一方面会向周围蔓延成牙髓炎,另一方面还可作为感染源引起其他疾病,比如风湿病,心肌炎等,危害儿童身体健康。

所以,如果孩子的乳牙出现了龋洞,应积极到医院治疗,而且越早越好,能修则修,能补则补,尽全力保持牙齿完整。如果家长对此不重视,龋洞便会由小变大,由浅变深,让孩子吃不下饭,睡不好觉,直接影响其学习和身体健康。对于龋齿来说,预防远大于治疗,在孩子还不能很好刷牙的时候,父母一定要尽职帮其刷牙,当孩子将来有一口漂亮的贝齿时,首先感激的就是父母!
文中图片均来源于网络,如有侵权,请联系朗朗口腔予以删除。
现在关注【朗朗口腔】可以免费获取更多的口腔知识!