最近在医次元的科普群里,夜喵子发现好多焦虑的小姐姐在问CIN1级怎么办?
这个问题看似简单,回答起来却一言难尽。
在群里逐个码字回复太Low了,于是本喵决定写篇科普文,以后再有妹子问相同问题,直接甩过去多拉轰啊!
由于明天夜喵子有事要早起,不能熬夜了,所以决定把CIN1级这个主题分成上下两篇阐述。这次先讲CIN是什么。
1、 宫颈癌筛查三阶梯

首先,咱们和宫颈癌筛查的三个火枪手say Hi,它们是:细胞学检查(TCT),病毒学检查(HPV检查),阴道镜+宫颈活检(详细内容可参考夜喵子过往文章:别只盯着HPV疫苗!年过25岁,却还不了解宫颈癌筛查?)。
认识了这三个火枪手,咱们再简单温习下美国妇产医师学会(ACOG)推荐的宫颈癌常规筛查流程:
21岁:这是宫颈癌筛查的起始年龄,无论是否有*生活性**史。除非是确诊感染了艾滋病,否则小于21岁的女性没必要筛查。
21—29岁:推荐每3年做一次TCT检查,30岁以下不推荐进行TCT和 HPV 联合检测,也不推荐每年筛查哦。
30—65岁:优先推荐5年做1次TCT+HPV联合检测;当然,也可根据自身意愿选择每3年单独做1次TCT。不推荐每年进行筛查。
65岁以后:如果连续筛查都没有发现病变,那么65岁以后就应该停止任何方式的筛查了。
二、CIN是什么鬼?

CIN不是宫颈癌,而是宫颈上皮内瘤样病变(Cervical intraepithelial neoplasia),因发生在宫颈癌之前,也称“宫颈癌前病变”。目前已知引起CIN病因是HPV病毒感染引起。
CIN主要发生在有*生活性**的女性当中,此外,还与*生活性**紊乱、首次*生活性**年龄过早、吸烟、酗酒等不良生活习惯密切相关。
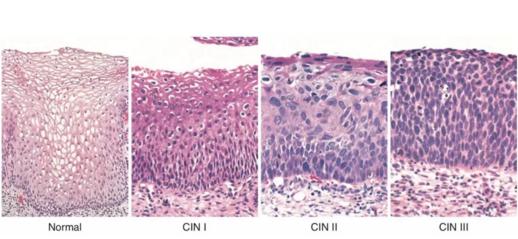
根据CIN占上皮的比例不同,分为1、2、3级。
2014年,WHO(世界卫生组织)给了宫颈癌前病变新的二级分类,CIN1相当于LSIL(低级别病变),CIN2和CIN3相当于HSIL(高级别病变)。
通常,低级别病变CIN1主要由低危型HPV感染引起,而包括CIN2和CIN3在内的高级别病变主要由高危型HPV持续感染所致。
无论哪个级别,CIN都有3种可能:病变消退、持续存在、进一步发展。当然,级别越低,恢复的机会越大,级别越高,病变进展的风险越高。
CIN从1级向2、3级,甚至癌变发展需要经历漫长的过程。一般从感染HPV病毒到引起CIN,直至宫颈癌需要5-8年甚至10年以上的时间。
2、 CIN1、2、3级如何鉴定?

CIN1(轻度非典型增生):
活检观察可见细胞异型性轻,排列不整齐,但仍保持极性。该阶段异常增殖的细胞仅限于上皮层下1/3。
CIN1级一般不会发展为宫颈癌,而且大部分CIN1级都可以自然消退,无需治疗。
CIN2(中度非典型增生):
活检可见细胞异型性明显,排列较为紊乱。异常增殖细胞占上皮层下2/3。
CIN2一部分会消退,另一部分可能会发展为CIN3。
CIN3(重度非典型增生及原位癌):
CIN3的上皮细胞异型性很显著,细胞失去极性,异常增殖的细胞扩展至上皮的2/3或几乎整个上皮层,这个时候跟原位癌难以区别,发展为宫颈癌的可能性较大。
CIN1/2/3级反映了宫颈癌前病变的发展过程。只要注意定期进行宫颈筛查(21岁以上的妹子不懂的话记得看夜喵子之前的文章哦),绝大多数宫颈癌都可以在宫颈CIN阶段得到发现和治疗(为什么美国人的宫颈癌发病率和死亡率越来越低,就是这点做的好啊!)
好啦,今天就先写到这里。下回咱们再讲CIN1级怎么处理哈!
