相比于癌症本身,令患者感到更绝望的,便是听到“癌症骨转移”这5个字。一旦发生转移,多数病人感觉生命所剩不多、情绪抑郁,生活质量显著下降。
患者有这种想法其实不奇怪。临床上80%—90%的肿瘤患者并非死于肿瘤本身,而是死于并发症,骨转移就是恶性肿瘤最常见的并发症之一。
大多数骨转移癌来源于乳腺和前列腺,其次为肺、肾、甲状腺和胃肠道,多好发于脊柱、骨盆、肋骨、股骨近端、肱骨近端。

好好的癌症,为什么会发生骨转移?
这主要是因为肿瘤细胞从原发灶脱落,进入周围淋巴管和血管,播散到远隔部位,附着于血管内皮并进入组织,在该组织内形成病灶。
一旦癌症发生骨转移,患者首先要面临的便是撕心裂肺的疼痛。
疼痛:是骨转移的最常见症状,约占70%
晚期癌痛或许是所有患者家属最刻骨铭心的记忆,不少患者因为疼痛难忍而选择轻生,而癌痛的最主要黑手就是肿瘤骨转移。在早期,这种疼痛感比较轻,呈间隙性,到了后期逐渐演变为持续性。其次,癌细胞转移的骨骼部位不同,其症状表现形式也会不同。
例如:位于脊柱者可表现为腰部、胸背部、肋胸部、颈疼痛;在胸椎者常伴单侧或双侧的肋间神经痛;在腰椎者有时可以表现出腹痛;位于骨盆者,常伴有髋关节、股内侧疼痛;位于股骨上端及肱骨上端者常伴有关节功能障碍。
除了疼痛,被癌细胞侵袭的骨骼就像被虫蛀的“朽木”般脆弱,极易发生骨折等骨相关的事件,甚至弯腰或者转身过猛都有可能引发腰椎、颈椎骨折,导致截瘫。

疼痛虽是首要特征,但这并不是诊断骨转移癌的“金标准”!
临床上我遇到不少患者,身体一出现疼痛,便怀疑是骨转移,终日担心不已,甚至影响身体恢复情况。
其实,面对疼痛,患者正确的做法应是尽快到医院做X线检查、CT检查、MRI检查及全身骨扫描(ECT),以排除肿瘤骨转移的可能性。
而临床上,恶性肿瘤骨转移的诊断标准需要同时具备以下两个条件:
首先是经组织病理学或者细胞学检查诊断为恶性肿瘤,或骨病灶穿刺活检或细胞学诊断为恶性肿瘤骨转移。
其次是骨病灶经X线平片,或MR扫描,或CT,或PET-CT检查证实骨破坏,并诊断为恶性肿瘤骨转移。

癌症发生骨转移,就没救了吗?
许多患者都认为,一旦癌症发生骨转移,便意味着疾病到了末期,甚至觉得无药可医而选择放弃治疗。在30多年前,由于医疗技术不先进,癌症患者发生骨转移,大多医生会叫患者姑息治疗,回家好好过最后的日子。
然而,随着时间的发展,现在医学技术也在不停地提升。骨转移癌治疗的成功率也大大提高,不过重要的是一定要及时进行治疗,一味地等待和观望,只会让自己丧失最佳的手术时机。
骨转移癌的治疗方法有许多种,不过主要还是取决于原发肿瘤恶性程度,以及放化疗等辅助治疗的有效性。
一、外科手术
外科手术治疗骨转移癌的目的有3个:一是缓解疼痛,保护肢体功能,提高患者的生活质量;二是治疗骨折、骨痛,并预防骨折的发生;三是切除骨的单发/寡转移,改善预后。
根据不同患者的病情以及转移部位,医生都会采取不同的对应手段。
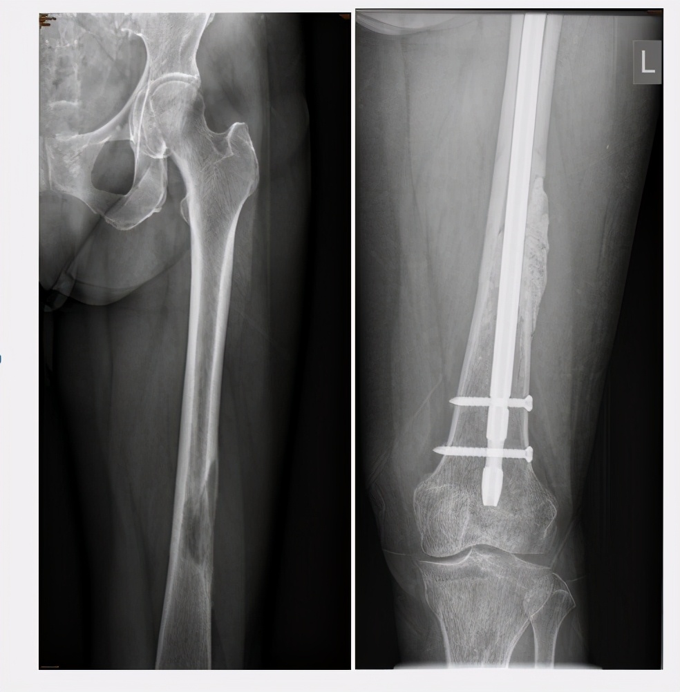
1.当癌细胞转移到四肢,病灶大于2.5厘米,病变破坏范围超过骨皮质50%,且患者出现完全性的骨质溶解时,可采取“肿瘤灭火+内固定、假体置换“的方法,对患者进行治疗。

2.当癌细胞转移到骨盆,且患者骨盆即将或已经发展髋臼性病理性骨折、出现顽固性疼痛时,便可采取肿瘤灭活,骨水泥填塞+内固定的方法进行治疗。

3.当体内癌细胞出现锥体转移,并出现神经功能受损、脊椎不稳定等情况,可采取微创肿瘤灭活,骨水泥填充的方法,迅速缓解患者疼痛。

二、放射治疗
放射治疗也是一种应对骨转移癌的治疗方法,可缓解患者骨疼痛,减少病理性骨折,减轻照射区域病灶进展。但需要注意的是,放疗缓解骨转移癌疼痛需要一定时间才能显效,一般约为3个月。

三、药物控制
有许多药物被认为有助于控制已发生的骨转移进一步恶化。双膦酸盐就是其中一种。双膦酸盐可用于各类骨疾患者以及钙代谢性疾病,它能特异地与骨质中的羟膦灰石结合,抑制破骨细胞活性,从而抑制骨质吸收。在NCCN(美国国立综合癌症网络)最新发布的权威指南里也提出,对于早期骨转移癌,建议用双膦酸盐进行早期干预。
总的来说,骨转移≠晚期,但只有积极的治疗才可以延长生命,提高生活质量!各位患者切勿轻易放弃!