
(一)原发性卵巢恶性肿瘤
相对与妊娠期肿瘤0.05%~0.1%的发生率,妊娠期卵巢恶性肿瘤的发生率更低,平均为2.8(范围0.00%~10%);美国加利福尼亚癌症登记处(California Cancer Registry, CCR)登记的的包括低度潜在恶性(low malignant potentialm LMP)肿瘤在内的妊娠期卵巢恶性肿瘤的发生率为0.0179‰,并且大多数是低度恶性或属于早期肿瘤,以来自生殖细胞的卵巢恶性肿瘤、交界性肿瘤和Ⅰ期的上皮性肿瘤多见。卵巢恶性肿瘤的存在可能增加了孕产妇的剖腹产、子宫切除术、输血和延长住院时间及癌症治疗等,但对新生儿没有不良的影响;随访中患者死亡率为4.7%,死亡时间为诊断后平均2.43年。
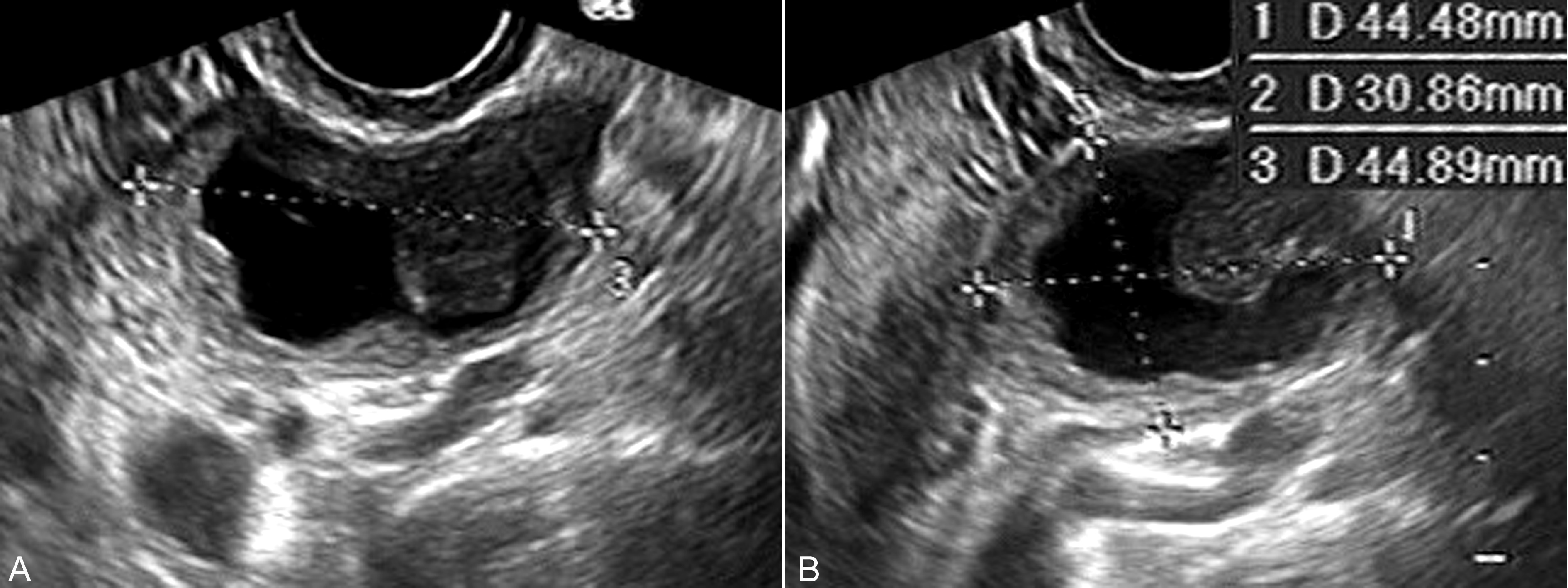
超声显像检查声像图特点与妊娠子宫大小有一定关系,子宫较大时瘤体常由于受压、推移而与非孕期检查显示不同。但恶性肿瘤的一般声像图特点仍可显示,如形态不规则,边缘不清楚;囊性的瘤体显示囊壁厚薄不一(图1A、B),并可显示不规则的乳头状突起而形成液体-实性混合型回声(图2C、D),囊内无回声区内常可显示不均匀的点状回声,囊壁或乳头状突起的回声内常可显示血流;实质性恶性肿瘤的声像图特点更为明显,形态不规则,边缘不清楚,内部回声强度及分布不均匀,并可以显示不规则、模糊的低回声区,CDFI检查内部多有不均匀分布的血流显示。有时腹腔内可合并少量积液。

图1卵巢恶性粘液瘤声像图:宫旁瘤体显示瘤体回声,形态不规则,边缘不清楚;囊壁厚薄不一
在总结了卵巢恶性肿瘤的声像图特点后,Schwartz等提出了卵巢恶性肿瘤的超声声像图多有以下特点:(1)直径>7cm;(2)实性或混合性肿物;(3)乳头状突起;(4)肿瘤内见分隔带(特别是瘤壁厚或内含血管者);(5)双侧对称:(6)边界不清;(7)血供丰富;(8)低阻血流和(9)腹水等。具备上述特征越多,提示肿瘤恶性的可能性越大。
(二)转移性卵巢癌
转移性卵巢肿瘤在卵巢所有恶性肿瘤中占3%~40%,可以来自结肠、乳腺、胃、子宫等,最常见的卵巢转移瘤是库肯勃氏瘤(Krukenberg tumors, KTs),原发灶通常位于胃肠道或乳腺,但发病率依然很低,所见资料均为个例报告,至2009年文献报告的来自胃部的库肯勃氏瘤仅有40例。除妊娠的临床表现外,其主要的临床表现与原发灶有关。
超声显像检查可在妊娠的各个时期发现,声像图表现为增大的子宫一侧或两侧、或于子宫后方局限性回声,肿瘤较小时显示形态规则,多数瘤体发现时已显示不规则,边缘不整齐、不清晰(图2),以原发病灶的性质不同内部回声的性质有所差异,多显示为较低的不均质回声,分布不均匀,CDFI检查内部可见点状或细小的血流显示,部分血流显示丰富(图3)。腹腔内多可显示不等的腹水。

图2库勃氏瘤声像图:妊娠子宫两侧均可显示实质性瘤体回声(Mass),Pl:胎盘;F:胎体;FH:胎头

图3库勃氏瘤血流显示:瘤体显示为不均匀型实质性回声,内部血流丰富,为低速、低阻力型
依靠超声显像检查还没有足够的特征性改变区别不同来源的肿瘤和交界性肿瘤;需要注意的是超声显像检查诊断卵巢转移瘤时要注意与卵巢黄素瘤、子宫内膜异位囊肿及附件炎进行鉴别。